Skip to Content
MilliporeSigma

AV48151

Sigma-Aldrich

Anti-P4HB (AB2) antibody produced in rabbit

affinity isolated antibody

Synonym(s):

Anti-DSI, Anti-ERBA2L, Anti-GIT, Anti-PDI, Anti-PDIA1, Anti-PHDB, Anti-PO4DB, Anti-Procollagen-Proline, 2-oxoglutarate 4-dioxygenase, β polypeptide

Sign Into View Organizational & Contract Pricing

Select a Size


About This Item

UNSPSC Code:
12352203
NACRES:
NA.41
Technical Service
Need help? Our team of experienced scientists is here for you.
Let Us Assist
Technical Service
Need help? Our team of experienced scientists is here for you.
Let Us Assist

biological source

rabbit

Quality Level

conjugate

unconjugated

antibody form

affinity isolated antibody

antibody product type

primary antibodies

clone

polyclonal

form

buffered aqueous solution

mol wt

55 kDa

species reactivity

horse, pig, human, dog, rabbit, rat, bovine, mouse

concentration

0.5 mg - 1 mg/mL

technique(s)

immunohistochemistry: suitable
western blot: suitable

NCBI accession no.

UniProt accession no.

shipped in

wet ice

storage temp.

−20°C

target post-translational modification

unmodified

Gene Information

human ... P4HB(5034)

Related Categories

General description

Prolyl 4-hydroxylase, β polypeptide (P4HB) is a disulphide isomerase that catalyzes the creation, cleavage and arrangement of disulfide linkages. It is known to function as a chaperone during protein folding activities. Studies have reported that P3HB-b-P4HB block copolymers have a better yield and tensile strength.
Rabbit Anti-P4HB antibody recognizes bovine, chicken, rabbit, human, mouse, and rat P4HB.

Immunogen

Synthetic peptide directed towards the C terminal region of human P4HB

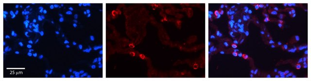
Application

Rabbit Anti-P4HB antibody has been used for western blot applications at a dilution of 1:1500.

Biochem/physiol Actions

P4HB is the beta subunit of prolyl 4-hydroxylase, a highly abundant multifunctional enzyme that belongs to the protein disulfide isomerase family. When present as a tetramer consisting of two alpha and two beta subunits, this enzyme is involved in hydroxylation of prolyl residues in preprocollagen. This enzyme is also a disulfide isomerase containing two thioredoxin domains that catalyze the formation, breakage and rearrangement of disulfide bonds. Other known functions include its ability to act as a chaperone that inhibits aggregation of misfolded proteins in a concentration-dependent manner, its ability to bind thyroid hormone, its role in both the influx and efflux of S-nitrosothiol-bound nitric oxide, and its function as a subunit of the microsomal triglyceride transfer protein complex.This gene encodes the beta subunit of prolyl 4-hydroxylase, a highly abundant multifunctional enzyme that belongs to the protein disulfide isomerase family. When present as a tetramer consisting of two alpha and two beta subunits, this enzyme is involved in hydroxylation of prolyl residues in preprocollagen. This enzyme is also a disulfide isomerase containing two thioredoxin domains that catalyze the formation, breakage and rearrangement of disulfide bonds. Other known functions include its ability to act as a chaperone that inhibits aggregation of misfolded proteins in a concentration-dependent manner, its ability to bind thyroid hormone, its role in both the influx and efflux of S-nitrosothiol-bound nitric oxide, and its function as a subunit of the microsomal triglyceride transfer protein complex. Publication Note: This RefSeq record includes a subset of the publications that are available for this gene. Please see the Entrez Gene record to access additional publications.

Physical form

Purified antibody supplied in 1x PBS buffer with 0.09% (w/v) sodium azide and 2% sucrose.

Other Notes

Synthetic peptide located within the following region: DRTVIDYNGERTLDGFKKFLESGGQDGAGDDDDLEDLEEAEEPDMEEDDD

Disclaimer

Unless otherwise stated in our catalog or other company documentation accompanying the product(s), our products are intended for research use only and are not to be used for any other purpose, which includes but is not limited to, unauthorized commercial uses, in vitro diagnostic uses, ex vivo or in vivo therapeutic uses or any type of consumption or application to humans or animals.

Not finding the right product?  

Try our Product Selector Tool.

Storage Class

10 - Combustible liquids

wgk_germany

WGK 3

flash_point_f

Not applicable

flash_point_c

Not applicable


Choose from one of the most recent versions:

Certificates of Analysis (COA)

Lot/Batch Number

Don't see the Right Version?

If you require a particular version, you can look up a specific certificate by the Lot or Batch number.

Already Own This Product?

Find documentation for the products that you have recently purchased in the Document Library.

Visit the Document Library

Yugui Cui et al.
Journal of proteome research, 7(9), 3984-3993 (2008-08-16)
Treatment with injectable testosterone undecanoate (TU) alone or in combination with oral levonorgestrel (LNG) resulted in marked decreases in sperm concentrations. In this study, we used proteomic analyses to examine the cellular/molecular events occurring in the human testis after TU
Joachim M Weitzel et al.
The Journal of endocrinology, 234(2), 129-141 (2017-05-14)
During the transition between late gestation and early lactation, dairy cows experience severe metabolic stress due to the high energy and nutrient requirements of the fetus and the mammary gland. Additional thermal stress that occurs with rising temperatures during the
Die Hu et al.
Biomacromolecules, 12(9), 3166-3173 (2011-08-26)
Polyhydroxyalkanoates (PHA) synthesis genes phbC and orfZ cloned from Ralstonia eutropha H16 were transformed into beta-oxidation weakened Pseudomonas putida KTOY08ΔGC, a mutant of P. putida KT2442. The recombinant P. putida strain termed KTHH06 was able to produce a short-chain-length PHA
Pey-Jium Chang et al.
Journal of virology, 88(17), 10092-10109 (2014-06-27)
The orf47-orf46-orf45 gene cluster of Kaposi's sarcoma-associated herpesvirus (KSHV) is known to serially encode glycoprotein L (gL), uracil DNA glycosylase, and a viral tegument protein. Here, we identify two novel mRNA variants, orf47/45-A and orf47/45-B, alternatively spliced from a tricistronic
Géraldine Arrode-Brusés et al.
PloS one, 9(10), e110883-e110883 (2014-10-23)
Prevention of HIV acquisition and replication requires long lasting and effective immunity. Given the state of HIV vaccine development, innovative vectors and immunization strategies are urgently needed to generate safe and efficacious HIV vaccines. Here, we developed a novel lentivirus-based

Our team of scientists has experience in all areas of research including Life Science, Material Science, Chemical Synthesis, Chromatography, Analytical and many others.

Contact Technical Service