Skip to Content
MilliporeSigma

AV43573

Sigma-Aldrich

Anti-ADH4 antibody produced in rabbit

IgG fraction of antiserum

Synonym(s):

Anti-ADH-2, Anti-Alcohol dehydrogenase 4 (class II), pi polypeptide

Sign Into View Organizational & Contract Pricing

Select a Size


About This Item

UNSPSC Code:
12352203
NACRES:
NA.41
Technical Service
Need help? Our team of experienced scientists is here for you.
Let Us Assist
Technical Service
Need help? Our team of experienced scientists is here for you.
Let Us Assist

biological source

rabbit

Quality Level

conjugate

unconjugated

antibody form

IgG fraction of antiserum

antibody product type

primary antibodies

clone

polyclonal

form

buffered aqueous solution

mol wt

42 kDa

species reactivity

human

concentration

0.5 mg - 1 mg/mL

technique(s)

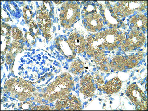
immunohistochemistry: suitable
western blot: suitable

NCBI accession no.

UniProt accession no.

shipped in

wet ice

storage temp.

−20°C

target post-translational modification

unmodified

Gene Information

human ... ADH4(127)

General description

Alcohol dehydrogenase 4 is an enzyme that metabolized a variety of substrates including ethanol, retinol, aliphatic alcohols, hydroxysteroids, and lipid peroxidation products. Alcohol dehydrogenase 4 is found in the liver.

Immunogen

Synthetic peptide directed towards the middle region of human ADH4

Application

Anti-alcohol dehydrogenase 4 is a rabbit IgG polyclonal antibody used to tag alcohol dehydrogenase-4 protein(s) for detection and quantitation by Western blotting and in cells and tissues by immunohistochemical (IHC) techniques.

Biochem/physiol Actions

ADH4, class II alcohol dehydrogenase 4 pi subunit, which is a member of the alcohol dehydrogenase family. Members of this enzyme family metabolize a wide variety of substrates, including ethanol, retinol, other aliphatic alcohols, hydroxysteroids, and lipid peroxidation products. Class II alcohol dehydrogenase is a homodimer composed of 2 pi subunits. It exhibits a high activity for oxidation of long-chain aliphatic alcohols and aromatic alcohols and is less sensitive to pyrazole.This gene encodes class II alcohol dehydrogenase 4 pi subunit, which is a member of the alcohol dehydrogenase family. Members of this enzyme family metabolize a wide variety of substrates, including ethanol, retinol, other aliphatic alcohols, hydroxysteroids, and lipid peroxidation products. Class II alcohol dehydrogenase is a homodimer composed of 2 pi subunits. It exhibits a high activity for oxidation of long-chain aliphatic alcohols and aromatic alcohols and is less sensitive to pyrazole. This gene is localized to chromosome 4 in the cluster of alcohol dehydrogenase genes.
Anti-alcohol dehydrogenase 4 recognizes the pi-subunit of human ADH-4.

Physical form

Purified antibody supplied in 1x PBS buffer with 0.09% (w/v) sodium azide and 2% sucrose.

Other Notes

Synthetic peptide located within the following region: NSEKFVKAKALGATDCLNPRDLHKPIQEVIIELTKGGVDFALDCAGGSET

Disclaimer

Unless otherwise stated in our catalog or other company documentation accompanying the product(s), our products are intended for research use only and are not to be used for any other purpose, which includes but is not limited to, unauthorized commercial uses, in vitro diagnostic uses, ex vivo or in vivo therapeutic uses or any type of consumption or application to humans or animals.

Not finding the right product?  

Try our Product Selector Tool.

Storage Class

10 - Combustible liquids

wgk_germany

WGK 3

flash_point_f

Not applicable

flash_point_c

Not applicable


Choose from one of the most recent versions:

Certificates of Analysis (COA)

Lot/Batch Number

Don't see the Right Version?

If you require a particular version, you can look up a specific certificate by the Lot or Batch number.

Already Own This Product?

Find documentation for the products that you have recently purchased in the Document Library.

Visit the Document Library

Our team of scientists has experience in all areas of research including Life Science, Material Science, Chemical Synthesis, Chromatography, Analytical and many others.

Contact Technical Service