Skip to Content
MilliporeSigma

AV38941

Sigma-Aldrich

Anti-TARDBP (AB1) antibody produced in rabbit

IgG fraction of antiserum

Synonym(s):

Anti-TAR DNA binding protein

Sign Into View Organizational & Contract Pricing

Select a Size


About This Item

UNSPSC Code:
12352203
NACRES:
NA.41
Technical Service
Need help? Our team of experienced scientists is here for you.
Let Us Assist
Technical Service
Need help? Our team of experienced scientists is here for you.
Let Us Assist

biological source

rabbit

Quality Level

conjugate

unconjugated

antibody form

IgG fraction of antiserum

antibody product type

primary antibodies

clone

polyclonal

form

buffered aqueous solution

mol wt

45 kDa

species reactivity

bovine, rat, guinea pig, human, dog, horse, mouse

concentration

0.5 mg - 1 mg/mL

technique(s)

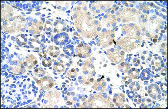
immunohistochemistry: suitable
western blot: suitable

NCBI accession no.

UniProt accession no.

shipped in

wet ice

storage temp.

−20°C

target post-translational modification

unmodified

Gene Information

human ... TARDBP(23435)

General description

TAR DNA binding protein (TARDBP) is a DNA and RNA binding transcription repressor and regulator of pre-mRNA splicing and translation. TARDBP binds to the regulatory element TAR found in the transcription initiation site of the HIV-1 gene Tat; consequently TARDBP is an active repressor of chromosomally integrated HIV-1 tat. TARDBP also regulates alternative splicing of CFTR and apo-II genes. A defective form of TARDBP is associated with amyotrophic lateral sclerosis (ALS).

Immunogen

Synthetic peptide directed towards the N terminal region of human TARDBP

Application

Anti-TARDBP (AB1) polyclonal antibody is used to tag TAR DNA binding protein for detection and quantitation by Western blotting and in plasma by immunohistochemical (IHC) techniques. It is used as a probe to determine the roles of TAR DNA binding protein in the repression of gene expression and regulation of pre-mRNA splicing and translation.

Biochem/physiol Actions

Anti-TARDBP (AB1) polyclonal antibody reacts with bovine, human, mouse, rat, chicken, and canine TAR DNA binding protein(s).
HIV-1, the causative agent of acquired immunodeficiency syndrome (AIDS), contains an RNA genome that produces a chromosomally integrated DNA during the replicative cycle. Activation of HIV-1 gene expression by the transactivator Tat is dependent on an RNA regulatory element (TAR) located downstream of the transcription initiation site. TARDBP is a transcriptional repressor that binds to chromosomally integrated TAR DNA and represses HIV-1 transcription.HIV-1, the causative agent of acquired immunodeficiency syndrome (AIDS), contains an RNA genome that produces a chromosomally integrated DNA during the replicative cycle. Activation of HIV-1 gene expression by the transactivator Tat is dependent on an RNA regulatory element (TAR) located downstream of the transcription initiation site. The protein encoded by this gene is a transcriptional repressor that binds to chromosomally integrated TAR DNA and represses HIV-1 transcription. In addition, this protein regulates alternate splicing of the CFTR gene. A similar pseudogene is present on chromosome 20.

Physical form

Purified antibody supplied in 1x PBS buffer with 0.09% (w/v) sodium azide and 2% sucrose.

Other Notes

Synthetic peptide located within the following region: MSEYIRVTEDENDEPIEIPSEDDGTVLLSTVTAQFPGACGLRYRNPVSQC

Disclaimer

Unless otherwise stated in our catalog or other company documentation accompanying the product(s), our products are intended for research use only and are not to be used for any other purpose, which includes but is not limited to, unauthorized commercial uses, in vitro diagnostic uses, ex vivo or in vivo therapeutic uses or any type of consumption or application to humans or animals.

Not finding the right product?  

Try our Product Selector Tool.

Storage Class

10 - Combustible liquids

wgk_germany

WGK 1

flash_point_f

Not applicable

flash_point_c

Not applicable


Choose from one of the most recent versions:

Certificates of Analysis (COA)

Lot/Batch Number

Don't see the Right Version?

If you require a particular version, you can look up a specific certificate by the Lot or Batch number.

Already Own This Product?

Find documentation for the products that you have recently purchased in the Document Library.

Visit the Document Library

Jack L Pinkus et al.
Neuromuscular disorders : NMD, 24(7), 611-616 (2014-05-27)
Previous histopathologic studies of sporadic inclusion body myositis (sIBM) identified sarcoplasmic aggregation and myonuclear depletion of the predominantly nuclear heterogeneous nuclear ribonucleoprotein (hnRNP) TDP-43 in sIBM myofibers. Here, we examined sIBM muscle for abnormalities in two other hnRNPs hnRNPA1 and
Chi-Chen Huang et al.
Journal of cell science, 127(Pt 14), 3024-3038 (2014-05-27)
TDP-43 (also known as TARDBP) is a pathological signature protein of neurodegenerative diseases, with TDP-43 proteinopathies including frontotemporal lobar degeneration (FTLD)-TDP and amyotrophic lateral sclerosis (ALS)-TDP. These TDP-43 proteinopathies are characterized by cytoplasmic insoluble TDP-43-positive aggregates in the diseased cells
Hideaki Tagashira et al.
Biochimica et biophysica acta, 1840(12), 3320-3334 (2014-09-02)
Amyotrophic lateral sclerosis (ALS) is a disease caused by motor neuron degeneration. Recently, a novel SIGMAR1 gene variant (p.E102Q) was discovered in some familial ALS patients. We address mechanisms underlying neurodegeneration caused by the mutation using Neuro2A cells overexpressing σ1R(E102Q)

Our team of scientists has experience in all areas of research including Life Science, Material Science, Chemical Synthesis, Chromatography, Analytical and many others.

Contact Technical Service