Skip to Content
MilliporeSigma

AV35105

Sigma-Aldrich

Anti-P2RX1 antibody produced in rabbit

IgG fraction of antiserum

Synonym(s):

Anti-P2X1, Anti-Purinergic receptor P2X, ligand-gated ion channel, 1

Sign Into View Organizational & Contract Pricing

Select a Size


About This Item

UNSPSC Code:
12352203
NACRES:
NA.41
Technical Service
Need help? Our team of experienced scientists is here for you.
Let Us Assist
Technical Service
Need help? Our team of experienced scientists is here for you.
Let Us Assist

biological source

rabbit

Quality Level

conjugate

unconjugated

antibody form

IgG fraction of antiserum

antibody product type

primary antibodies

clone

polyclonal

form

buffered aqueous solution

mol wt

45 kDa

species reactivity

dog, horse, human

concentration

0.5 mg - 1 mg/mL

technique(s)

immunohistochemistry: suitable
western blot: suitable

NCBI accession no.

UniProt accession no.

shipped in

wet ice

storage temp.

−20°C

target post-translational modification

unmodified

Gene Information

human ... P2RX1(5023)

General description

P2RX1 (P2X1) is a G-protein coupled receptor that is present in smooth muscles. It is known to associate with ATP and may modulate transmission. It may also regulate sympathetic vasoconstrictions in mouse vas deferens, arteries and urinary bladder. P2X1 defects in aged mice have been linked to benign prostatic hyperplasia.
Rabbit Anti-P2RX1 antibody recognizes human, bovine, rat, pig, mouse, and canine P2RX1.

Immunogen

Synthetic peptide directed towards the middle region of human P2RX1

Application

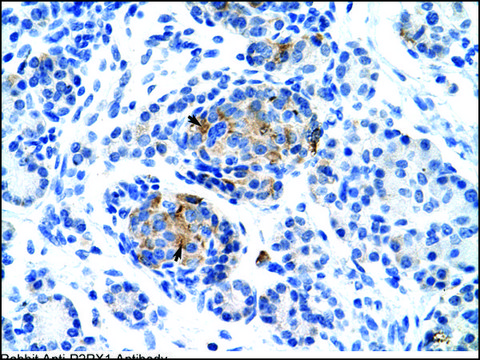
Rabbit Anti-P2RX1 antibody is suitable for western blot (2.5 μg/ml) and IHC (4-8 μg/ml) applications.

Biochem/physiol Actions

P2RX1 belongs to the family of purinoceptors for ATP. This receptor functions as a ligand-gated ion channel with relatively high calcium permeability. Binding to ATP mediates synaptic transmission between neurons and from neurons to smooth muscle, being responsible, for example, for sympathetic vasoconstriction in small arteries, arterioles and vas deferens. Mouse studies suggest that this receptor is essential for normal male reproductive function. It is possible that the development of selective antagonists for this receptor may provide an effective non-hormonal male contraceptive pill.The product of this gene belongs to the family of purinoceptors for ATP. This receptor functions as a ligand-gated ion channel with relatively high calcium permeability. Binding to ATP mediates synaptic transmission between neurons and from neurons to smooth muscle, being responsible, for example, for sympathetic vasoconstriction in small arteries, arterioles and vas deferens. Mouse studies suggest that this receptor is essential for normal male reproductive function. It is possible that the development of selective antagonists for this receptor may provide an effective non-hormonal male contraceptive pill.

Physical form

Purified antibody supplied in 1x PBS buffer with 0.09% (w/v) sodium azide and 2% sucrose.

Other Notes

Synthetic peptide located within the following region: VVGITIDWHCDLDWHVRHCRPIYEFHGLYEEKNLSPGFNFRFARHFVENG

Disclaimer

Unless otherwise stated in our catalog or other company documentation accompanying the product(s), our products are intended for research use only and are not to be used for any other purpose, which includes but is not limited to, unauthorized commercial uses, in vitro diagnostic uses, ex vivo or in vivo therapeutic uses or any type of consumption or application to humans or animals.

Not finding the right product?  

Try our Product Selector Tool.

Storage Class

10 - Combustible liquids

wgk_germany

WGK 3

flash_point_f

Not applicable

flash_point_c

Not applicable


Choose from one of the most recent versions:

Certificates of Analysis (COA)

Lot/Batch Number

Don't see the Right Version?

If you require a particular version, you can look up a specific certificate by the Lot or Batch number.

Already Own This Product?

Find documentation for the products that you have recently purchased in the Document Library.

Visit the Document Library

Carl W White et al.
Neurourology and urodynamics, 34(3), 292-298 (2013-11-20)
An age-related increase in prostatic smooth muscle tone is partly responsible for the lower urinary tract symptoms associated with benign prostatic hyperplasia (BPH). Changes in the effectors of prostatic smooth muscle contraction with age may play a role in the
S X Liang et al.
Cytogenetics and cell genetics, 92(3-4), 333-336 (2001-07-04)
P2X(1) receptors are ATP-gated cation channels that mediate the fast, purinergic component of sympathetic nerve-smooth muscle neurotransmission in the mouse vas deferens and may serve comparable functions in the urinary bladder and the arteries. The gene for mouse P2X(1) (P2rx1)

Our team of scientists has experience in all areas of research including Life Science, Material Science, Chemical Synthesis, Chromatography, Analytical and many others.

Contact Technical Service