Skip to Content
MilliporeSigma

AV32470

Sigma-Aldrich

Anti-SUV39H1 Histone Methyltransferase antibody

rabbit polyclonal

Synonym(s):

Anti-KMT1A, Anti-MG44, Anti-SUV39H, Anti-Suppressor of variegation 3-9 homolog 1 (Drosophila)

Sign Into View Organizational & Contract Pricing

Select a Size


About This Item

UNSPSC Code:
12352203
NACRES:
NA.41
Technical Service
Need help? Our team of experienced scientists is here for you.
Let Us Assist
Technical Service
Need help? Our team of experienced scientists is here for you.
Let Us Assist

Product Name

Anti-SUV39H1 antibody produced in rabbit, IgG fraction of antiserum

biological source

rabbit

Quality Level

conjugate

unconjugated

antibody form

IgG fraction of antiserum

antibody product type

primary antibodies

clone

polyclonal

form

buffered aqueous solution

mol wt

48 kDa

species reactivity

rat, bovine, guinea pig, dog, rabbit, mouse, human

concentration

0.5 mg - 1 mg/mL

technique(s)

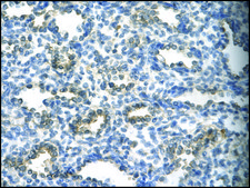
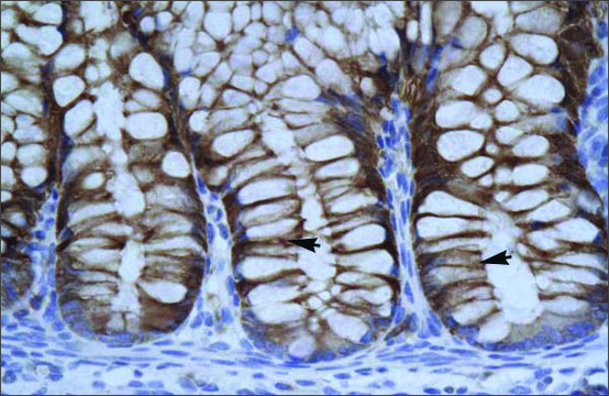
immunohistochemistry: suitable
western blot: suitable

NCBI accession no.

UniProt accession no.

shipped in

wet ice

storage temp.

−20°C

target post-translational modification

unmodified

Gene Information

human ... SUV39H1(6839)

General description

Rabbit polyclonal anti-SUV39H1 antibody reacts with human, mouse, rat, zebrafish, bovine, and canine suppressor of variegation 3-9 homolog 1 enzymes.
Suppressor of variegation 3-9 homolog 1 (SUV39H1, KMT1A, MG44) is a histone-lysine N-methyltransferase that methylates lys-9 of histone H3. SUV39H1 is involved in heterochromatin organization, chromosome segregation, and mitotic progression. SUV39H1 generates a gradient of methylation marks at the kinetochore to spatiotemporally direct accurate chromosome segregation in mitosis. Suv39H1 interacts with Snail to mediated E-cadherin, a hallmark of epithelial-mesenchymal transition (EMT), repression in breast cancer.

Immunogen

Synthetic peptide directed towards the C terminal region of human SUV39H1

Application

Rabbit Anti-SUV39H1 antibody can be used for western blot applications at a concentration of 1.25μg/ml.
Rabbit polyclonal anti-SUV39H1 antibody is used to tag suppressor of variegation 3-9 homolog 1 for detection and quantitation by immunocytochemical and immunohistochemical (IHC) techniques. It is used as a probe to determine the presence and roles of suppressor of variegation 3-9 homolog 1 in the regulation of chromatin organization and chromosome segregation and as a regulator or cancer progression via E-cadherin-dependent epithelial-mesenchymal transition (EMT).

Biochem/physiol Actions

SUV39H1, a human homolog of the Drosophila position effect variegation modifier Su(var)3-9 and of the S. pombe silencing factor clr4, encodes a heterochromatic protein that transiently accumulates at centromeric positions during mitosis.This gene is a member of the suppressor of variegation 3-9 homolog family and encodes a protein with a chromodomain and a C-terminal SET domain. This nuclear protein moves to the centromeres during mitosis and functions as a histone methyltransferase, methylating Lys-9 of histone H3. Overall, it plays a vital role in heterochromatin organization, chromosome segregation, and mitotic progression. Publication Note: This RefSeq record includes a subset of the publications that are available for this gene. Please see the Entrez Gene record to access additional publications.

Physical form

Purified antibody supplied in 1x PBS buffer with 0.09% (w/v) sodium azide and 2% sucrose.

Other Notes

Synthetic peptide located within the following region: FDYNMQVDPVDMESTRMDSNFGLAGLPGSPKKRVRIECKCGTESCRKYLF

Disclaimer

Unless otherwise stated in our catalog or other company documentation accompanying the product(s), our products are intended for research use only and are not to be used for any other purpose, which includes but is not limited to, unauthorized commercial uses, in vitro diagnostic uses, ex vivo or in vivo therapeutic uses or any type of consumption or application to humans or animals.

Not finding the right product?  

Try our Product Selector Tool.

Storage Class

10 - Combustible liquids

wgk_germany

WGK 3

flash_point_f

Not applicable

flash_point_c

Not applicable


Choose from one of the most recent versions:

Certificates of Analysis (COA)

Lot/Batch Number

Don't see the Right Version?

If you require a particular version, you can look up a specific certificate by the Lot or Batch number.

Already Own This Product?

Find documentation for the products that you have recently purchased in the Document Library.

Visit the Document Library

Our team of scientists has experience in all areas of research including Life Science, Material Science, Chemical Synthesis, Chromatography, Analytical and many others.

Contact Technical Service