Skip to Content
MilliporeSigma

AV32212

Sigma-Aldrich

Anti-DLX2 (AB2) antibody produced in rabbit

IgG fraction of antiserum

Synonym(s):

Anti-Distal-less homeobox 2, Anti-TES-1, Anti-TES1

Sign Into View Organizational & Contract Pricing

Select a Size


About This Item

UNSPSC Code:
12352203
NACRES:
NA.41
Technical Service
Need help? Our team of experienced scientists is here for you.
Let Us Assist
Technical Service
Need help? Our team of experienced scientists is here for you.
Let Us Assist

biological source

rabbit

conjugate

unconjugated

antibody form

IgG fraction of antiserum

antibody product type

primary antibodies

clone

polyclonal

form

buffered aqueous solution

mol wt

27 kDa

species reactivity

bovine, rat, dog, mouse, guinea pig, human

concentration

0.5 mg - 1 mg/mL

technique(s)

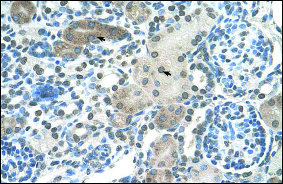
immunohistochemistry: suitable
western blot: suitable

NCBI accession no.

UniProt accession no.

shipped in

wet ice

storage temp.

−20°C

target post-translational modification

unmodified

Gene Information

human ... DLX2(1746)

General description

Dlx2 is a homeobox gene that is involved in the patterning of branchial arches and dentition in mice.
Rabbit Anti-DLX2 (AB1) antibody recognizes canine, human, rat, bovine and mouse DLX2.

Immunogen

Synthetic peptide directed towards the C terminal region of human DLX2

Application

Rabbit Anti-DLX2 (AB2) antibody can be used for western blot assays at 2.5μg/ml. It can also be used for IHC at 4-8μg/ml using paraffin-embedded tissues.

Biochem/physiol Actions

Many vertebrate homeo box-containing genes have been identified on the basis of their sequence similarity with Drosophila developmental genes. Members of the Dlx gene family contain a homeobox that is related to that of Distal-less (Dll), a gene expressed in the head and limbs of the developing fruit fly. The Distal-less (Dlx) family of genes comprises at least 6 different members, DLX1-DLX6. The DLX proteins are postulated to play a role in forebrain and craniofacial development.

Physical form

Purified antibody supplied in 1x PBS buffer with 0.09% (w/v) sodium azide and 2% sucrose.

Other Notes

Synthetic peptide located within the following region: PASWDFGVPQRMAGGGGPGSGGSGAGSSGSSPSSAASAFLGNYPWYHQTS

Disclaimer

Unless otherwise stated in our catalog or other company documentation accompanying the product(s), our products are intended for research use only and are not to be used for any other purpose, which includes but is not limited to, unauthorized commercial uses, in vitro diagnostic uses, ex vivo or in vivo therapeutic uses or any type of consumption or application to humans or animals.

Not finding the right product?  

Try our Product Selector Tool.

Storage Class

10 - Combustible liquids

wgk_germany

WGK 3

flash_point_f

Not applicable

flash_point_c

Not applicable


Choose from one of the most recent versions:

Certificates of Analysis (COA)

Lot/Batch Number

Don't see the Right Version?

If you require a particular version, you can look up a specific certificate by the Lot or Batch number.

Already Own This Product?

Find documentation for the products that you have recently purchased in the Document Library.

Visit the Document Library

B L Thomas et al.
Development (Cambridge, England), 124(23), 4811-4818 (1998-01-15)
The molecular events of odontogenic induction are beginning to be elucidated, but until now nothing was known about the molecular basis of the patterning of the dentition. A role for Dlx-1 and Dlx-2 genes in patterning of the dentition has
M Qiu et al.
Developmental biology, 185(2), 165-184 (1997-05-15)
The Dlx homeobox gene family is expressed in a complex pattern within the embryonic craniofacial ectoderm and ectomesenchyme. A previous study established that Dlx-2 is essential for development of proximal regions of the murine first and second branchial arches. Here

Our team of scientists has experience in all areas of research including Life Science, Material Science, Chemical Synthesis, Chromatography, Analytical and many others.

Contact Technical Service