AMAB91582
Monoclonal Anti-ATG5 antibody produced in mouse

Prestige Antibodies® Powered by Atlas Antibodies, clone CL9508, purified immunoglobulin, buffered aqueous glycerol solution
Synonym(s):
APG5, APG5L, ASP, hAPG5
Select a Size
About This Item
biological source
mouse
conjugate
unconjugated
antibody form
purified immunoglobulin
antibody product type
primary antibodies
clone
CL9508, monoclonal
product line
Prestige Antibodies® Powered by Atlas Antibodies
form
buffered aqueous glycerol solution
species reactivity
human
enhanced validation
orthogonal RNAseq
Learn more about Antibody Enhanced Validation
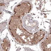
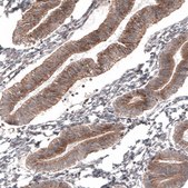
technique(s)
immunohistochemistry: 1:500-1:1000
western blot: 1 μg/mL
isotype
IgG1
Ensembl | human accession no.
shipped in
wet ice
storage temp.
−20°C
target post-translational modification
unmodified
Gene Information
human ... ATG5(9474)
Related Categories
Immunogen
Sequence
MSCMKEADALKHKSQVINEMQKKDHKQLWMGLQNDRFDQFWAINRKLMEYPAEENGFRYIPFRIYQTTTERPFIQKLFRPVAADGQLHTLGDLLKEVCPSAIDPEDGEKKNQVMIHGIEPMLETPLQWLSEHLSYPDNFL
Epitope
Binds to an epitope located within the peptide sequence MLETPLQWLS as determined by overlapping synthetic peptides.
Application
Features and Benefits
Every Prestige Antibody is tested in the following ways:
- IHC tissue array of 44 normal human tissues and 20 of the most common cancer type tissues.
- Protein array of 364 human recombinant protein fragments.
Physical form
Preparation Note
Legal Information
Not finding the right product?
Try our Product Selector Tool.
Storage Class
10 - Combustible liquids
wgk_germany
WGK 1
flash_point_f
Not applicable
flash_point_c
Not applicable
Choose from one of the most recent versions:
Already Own This Product?
Find documentation for the products that you have recently purchased in the Document Library.
Our team of scientists has experience in all areas of research including Life Science, Material Science, Chemical Synthesis, Chromatography, Analytical and many others.
Contact Technical Service