AMAB90639
Monoclonal Anti-CA12 antibody produced in mouse
Prestige Antibodies® Powered by Atlas Antibodies, clone CL0280, purified immunoglobulin, buffered aqueous glycerol solution
Synonym(s):
HsT18816
Sign Into View Organizational & Contract Pricing
Select a Size
About This Item
UNSPSC Code:
12352203
NACRES:
NA.43
biological source
mouse
Quality Level
conjugate
unconjugated
antibody form
purified immunoglobulin
antibody product type
primary antibodies
clone
CL0280, monoclonal
product line
Prestige Antibodies® Powered by Atlas Antibodies
form
buffered aqueous glycerol solution
species reactivity
human
technique(s)
immunoblotting: 1 μg/mL
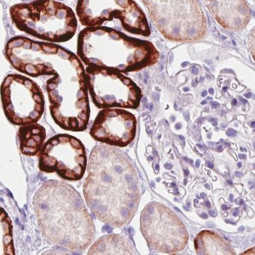
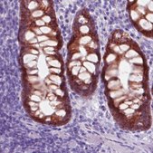
immunohistochemistry: 1:200- 1:500
isotype
IgG1
Ensembl | human accession no.
UniProt accession no.
shipped in
wet ice
storage temp.
−20°C
target post-translational modification
unmodified
Gene Information
human ... CA12(771)
Immunogen
Recombinant protein corresponding to Carbonic anhydrase XII.
Sequence
TASNKSEGLAVLAVLIEMGSFNPSYDKIFSHLQHVKYKGQEAFVPGFNIEELLPERTAEYYRYRGSLTTPPCNPTVLWTVFRNPVQISQEQLLALETALYCTHMDDPSPREMINNFRQVQ
Epitope
Binds to an epitope located within the peptide sequence HLQHVKYKGQEAFVP as determined by overlapping synthetic peptides.
Sequence
TASNKSEGLAVLAVLIEMGSFNPSYDKIFSHLQHVKYKGQEAFVPGFNIEELLPERTAEYYRYRGSLTTPPCNPTVLWTVFRNPVQISQEQLLALETALYCTHMDDPSPREMINNFRQVQ
Epitope
Binds to an epitope located within the peptide sequence HLQHVKYKGQEAFVP as determined by overlapping synthetic peptides.
Application
All Prestige Antibodies Powered by Atlas Antibodies are developed and validated by the Human Protein Atlas (HPA) project and as a result, are supported by the most extensive characterization in the industry.
The Human Protein Atlas project can be subdivided into three efforts: Human Tissue Atlas, Cancer Atlas, and Human Cell Atlas. The antibodies that have been generated in support of the Tissue and Cancer Atlas projects have been tested by immunohistochemistry against hundreds of normal and disease tissues and through the recent efforts of the Human Cell Atlas project, many have been characterized by immunofluorescence to map the human proteome not only at the tissue level but now at the subcellular level. These images and the collection of this vast data set can be viewed on the Human Protein Atlas (HPA) site by clicking on the Image Gallery link. We also provide Prestige Antibodies® protocols and other useful information.
The Human Protein Atlas project can be subdivided into three efforts: Human Tissue Atlas, Cancer Atlas, and Human Cell Atlas. The antibodies that have been generated in support of the Tissue and Cancer Atlas projects have been tested by immunohistochemistry against hundreds of normal and disease tissues and through the recent efforts of the Human Cell Atlas project, many have been characterized by immunofluorescence to map the human proteome not only at the tissue level but now at the subcellular level. These images and the collection of this vast data set can be viewed on the Human Protein Atlas (HPA) site by clicking on the Image Gallery link. We also provide Prestige Antibodies® protocols and other useful information.
Features and Benefits
Prestige Antibodies® are highly characterized and extensively validated antibodies with the added benefit of all available characterization data for each target being accessible via the Human Protein Atlas portal linked just below the product name at the top of this page. The uniqueness and low cross-reactivity of the Prestige Antibodies® to other proteins are due to a thorough selection of antigen regions, affinity purification, and stringent selection. Prestige antigen controls are available for every corresponding Prestige Antibody and can be found in the linkage section.
Every Prestige Antibody is tested in the following ways:
Every Prestige Antibody is tested in the following ways:
- IHC tissue array of 44 normal human tissues and 20 of the most common cancer type tissues.
- Protein array of 364 human recombinant protein fragments.
Physical form
Phospate buffered saline, pH 7.2, containing 40% glycerol and 0.02% sodium azide
Other Notes
Corresponding Antigen APREST71649
Legal Information
Prestige Antibodies is a registered trademark of Merck KGaA, Darmstadt, Germany
Disclaimer
Unless otherwise stated in our catalog or other company documentation accompanying the product(s), our products are intended for research use only and are not to be used for any other purpose, which includes but is not limited to, unauthorized commercial uses, in vitro diagnostic uses, ex vivo or in vivo therapeutic uses or any type of consumption or application to humans or animals.
Not finding the right product?
Try our Product Selector Tool.
Storage Class
10 - Combustible liquids
wgk_germany
WGK 1
flash_point_f
Not applicable
flash_point_c
Not applicable
Choose from one of the most recent versions:
Already Own This Product?
Find documentation for the products that you have recently purchased in the Document Library.
Our team of scientists has experience in all areas of research including Life Science, Material Science, Chemical Synthesis, Chromatography, Analytical and many others.
Contact Technical Service