902H-0
Cytokeratin 5 & 6 (D5/16B4) + TTF-1 (8G7G3/1) Mouse Monoclonal Antibody
Sign Into View Organizational & Contract Pricing
Select a Size
About This Item
UNSPSC Code:
12352203
NACRES:
NA.41
biological source
mouse
conjugate
unconjugated
antibody form
culture supernatant
antibody product type
primary antibodies
clone
D5&16B4 + 8G7G3/1, monoclonal
description
For In Vitro Diagnostic Use in Select Regions (See Chart)
form
buffered aqueous solution
species reactivity
human
packaging
bottle of 1.0 mL predilute (902H-07)
bottle of 7.0 mL predilute (902H-08)
isotype
IgG1
shipped in
wet ice
storage temp.
2-8°C
Gene Information
human ... KRT5(3852)
General description
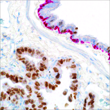
Anti-Cytokeratin 5 & 6 labels greater than 90% of Eptihelioid Mesotheliomas. Anti-Cytokeratin 5 & 6 stains the cytoplasm of such cells. Anti-TTF-1 stains the nuclei in the case of lung adenocarcinomas and is negative in nearly all mesotheliomas. When the differential diagnosis seeks to distinguish between mesothelioma and adenocarcinoma of the lung, the nuclear vs. Cytoplasmic staining pattern of this cocktail can be of significant value in making the diagnosis.
Physical form
Solution in Tris Buffer, pH 7.3-7.7, with 1% BSA and <0.1% Sodium Azide
Preparation Note
Download the IFU specific to your product lot and formatNote: This requires a keycode which can be found on your packaging or product label.
Analysis Note
![]() IVD | ![]() IVD | ![]() IVD | ![]() RUO |
Other Notes
For Technical Service please contact: 800-665-7284 or email: service@cellmarque.com
Not finding the right product?
Try our Product Selector Tool.
Choose from one of the most recent versions:
Already Own This Product?
Find documentation for the products that you have recently purchased in the Document Library.
Pablo A Bejarano et al.
Archives of pathology & laboratory medicine, 127(2), 193-195 (2003-02-04)
The immunohistochemical identification of thyroid transcription factor-1 (TTF-1) is regarded as the presence of a nuclear pattern of staining and is used to identify tumors of thyroid or pulmonary origin. Although there have been reports of cytoplasmic expression of TTF-1
Dongfeng Tan et al.
Human pathology, 34(6), 597-604 (2003-06-27)
Thyroid transcription factor 1 (TTF-1), a homeodomain-containing transcription factor, plays a pivotal role in lung development, cell growth, and differentiation processes. The current literature reports considerable variation in frequency of TTF-1 protein expression in human non-small cell lung cancer (NSCLC).
P M Cury et al.
Modern pathology : an official journal of the United States and Canadian Academy of Pathology, Inc, 13(2), 107-112 (2000-03-04)
Until recently, the standard approach of most laboratories in distinguishing epithelioid pleural mesothelioma from metastatic adenocarcinoma has been a negative result from a panel of adenocarcinoma-associated antibodies. However, several "mesothelium-associated" antibodies have been proposed as useful in this situation, and
N G Ordóñez
The American journal of surgical pathology, 22(10), 1215-1221 (1998-10-20)
The immunohistochemical diagnosis of mesothelioma is commonly made by using a battery of antibodies that reacts with lung adenocarcinomas but not with epithelial mesotheliomas. Only recently have markers that are often expressed in mesotheliomas but not in adenocarcinomas been recognized.
K Y Jang et al.
Analytical and quantitative cytology and histology, 23(6), 400-404 (2002-01-05)
To estimate the utility of thyroid transcription factor-1 (TTF-1) and the combined cytokeratin 7 (CK7) and 20 (CK20) immunoprofile as a marker for identifying the primary site of metastatic adenocarcinoma in effusions of the serous cavity. Formalin-fixed, paraffin-embedded cell block
Our team of scientists has experience in all areas of research including Life Science, Material Science, Chemical Synthesis, Chromatography, Analytical and many others.
Contact Technical Service


