Skip to Content
MilliporeSigma

345R-1

Sigma-Aldrich

Uroplakin III (SP73) Rabbit Monoclonal Antibody

Sign Into View Organizational & Contract Pricing

Select a Size


About This Item

UNSPSC Code:
12352203
NACRES:
NA.41
Technical Service
Need help? Our team of experienced scientists is here for you.
Let Us Assist
Technical Service
Need help? Our team of experienced scientists is here for you.
Let Us Assist

biological source

rabbit

Quality Level

conjugate

unconjugated

antibody form

culture supernatant

antibody product type

primary antibodies

clone

SP73, monoclonal

description

For In Vitro Diagnostic Use in Select Regions (See Chart)

form

buffered aqueous solution

species reactivity

human

packaging

vial of 0.1 mL concentrate (345R-14)
vial of 0.5 mL concentrate (345R-15)
bottle of 1.0 mL predilute (345R-17)
vial of 1.0 mL concentrate (345R-16)
bottle of 7.0 mL predilute (345R-18)

manufacturer/tradename

Cell Marque®

technique(s)

immunohistochemistry (formalin-fixed, paraffin-embedded sections): 1:500-1:1000

isotype

IgG

control

bladder

shipped in

wet ice

storage temp.

2-8°C

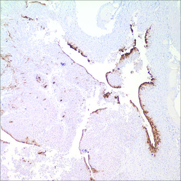
visualization

membranous

Gene Information

human ... UPK3A(7380)

General description

Uroplakins (UPs) are a family of transmembrane proteins (UPs Ia, Ib, II, and III) that are specific differentiation products of urothelial cells. In non-neoplastic mammalian urothelium, UPs are expressed in the luminal surface plasmalemma of superficial (umbrella) cells, forming complexes of 16nm crystalline particles. UPIII is specific for tumors of urothelial origin and, when used in combination with other markers, can aid in the diagnosis of primary and metastatic tumors.

Physical form

Solution in Tris Buffer, pH 7.3-7.7, with 1% BSA and <0.1% Sodium Azide

Preparation Note

Download the IFU specific to your product lot and formatNote: This requires a keycode which can be found on your packaging or product label.

Other Notes

For Technical Service please contact: 800-665-7284 or email: service@cellmarque.com
Uroplakin III Positive Control Slides, Product No. 345S, are available for immunohistochemistry (formalin-fixed, paraffin-embedded sections).

Legal Information

Cell Marque is a registered trademark of Merck KGaA, Darmstadt, Germany

Not finding the right product?  

Try our Product Selector Tool.

Storage Class

12 - Non Combustible Liquids

wgk_germany

WGK 2

flash_point_f

Not applicable

flash_point_c

Not applicable


Choose from one of the most recent versions:

Certificates of Analysis (COA)

Lot/Batch Number

Don't see the Right Version?

If you require a particular version, you can look up a specific certificate by the Lot or Batch number.

Already Own This Product?

Find documentation for the products that you have recently purchased in the Document Library.

Visit the Document Library

Yukihiro Ohtsuka et al.
BJU international, 97(6), 1322-1326 (2006-05-12)
To investigate the association between the expression of uroplakin III (UPIII) and the prognosis of patients with urothelial carcinoma of the upper urinary tract, as uroplakins are urothelium-specific markers of terminal urothelial differentiation. Clinicopathological and follow-up data from 71 patients
Jonathon Olsburgh et al.
The Journal of pathology, 199(1), 41-49 (2002-12-11)
The uroplakins are widely regarded as urothelium-specific markers of terminal urothelial cytodifferentiation. This study investigated the expression of the four uroplakin genes, UPIa, UPIb, UPII and UPIII, in a wide range of normal human tissues to determine tissue specificity and
R Moll et al.
The American journal of pathology, 147(5), 1383-1397 (1995-11-01)
Uroplakins (UPs) Ia, Ib, II, and III, transmembrane proteins constituting the asymmetrical unit membrane of urothelial umbrella cells, are the first specific urothelial differentiation markers described. We investigated the presence and localization patterns of UPs in various human carcinomas by

Our team of scientists has experience in all areas of research including Life Science, Material Science, Chemical Synthesis, Chromatography, Analytical and many others.

Contact Technical Service