Skip to Content
MilliporeSigma

340M-1

Sigma-Aldrich

Thyroglobulin (2H11+6E1) Mouse Monoclonal Antibody

Sign Into View Organizational & Contract Pricing

Select a Size


About This Item

UNSPSC Code:
12352203
NACRES:
NA.41
Technical Service
Need help? Our team of experienced scientists is here for you.
Let Us Assist
Technical Service
Need help? Our team of experienced scientists is here for you.
Let Us Assist

biological source

mouse

Quality Level

conjugate

unconjugated

antibody form

diluted ascites fluid

antibody product type

primary antibodies

clone

2H11+6E1, monoclonal

description

For In Vitro Diagnostic Use in Select Regions (See Chart)

form

buffered aqueous solution

species reactivity

human

packaging

vial of 0.1 mL concentrate (340M-14)
vial of 0.5 mL concentrate (340M-15)
bottle of 1.0 mL predilute (340M-17)
vial of 1.0 mL concentrate (340M-16)
bottle of 7.0 mL predilute (340M-18)

manufacturer/tradename

Cell Marque®

technique(s)

immunohistochemistry (formalin-fixed, paraffin-embedded sections): 1:100-1:500

isotype

IgG1

control

thyroid

shipped in

wet ice

storage temp.

2-8°C

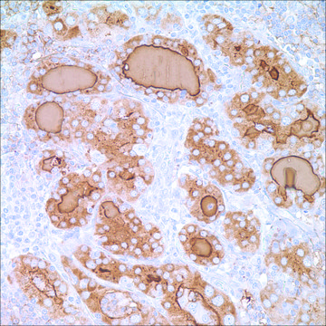
visualization

cytoplasmic

General description

Thyroglobulin (Tg) is the precursor of the iodinated thyroid hormones thyroxine (T4) and triiodothyronine (T3). Tg is a high molecular weight glycoprotein found in normal thyroid follicular cells. Thyroglobulin is useful for identifying thyroid origin of carcinoma of papillary and follicular types in the setting of carcinoma of unknown primary.

Physical form

Solution in Tris Buffer, pH 7.3-7.7, with 1% BSA and <0.1% Sodium Azide

Preparation Note

Download the IFU specific to your product lot and formatNote: This requires a keycode which can be found on your packaging or product label.

Other Notes

For Technical Service please contact: 800-665-7284 or email: service@cellmarque.com
Thyroglobulin Positive Control Slides, Product No. 340S, are available for immunohistochemistry (formalin-fixed, paraffin-embedded sections).

Legal Information

Cell Marque is a registered trademark of Merck KGaA, Darmstadt, Germany

Not finding the right product?  

Try our Product Selector Tool.


Choose from one of the most recent versions:

Certificates of Analysis (COA)

Lot/Batch Number

Don't see the Right Version?

If you require a particular version, you can look up a specific certificate by the Lot or Batch number.

Already Own This Product?

Find documentation for the products that you have recently purchased in the Document Library.

Visit the Document Library

S P Hammar
Human pathology, 29(12), 1393-1402 (1998-12-29)
Adenocarcinomas account for up to 60% of all metastatic neoplasms of unknown primary origin. In general, adenocarcinomas are the most difficult metastatic tumor to accurately identify the primary site. Some metastatic adenocarcinomas have distinctive histological features that allow for their
A R Judkins et al.
Human pathology, 30(11), 1373-1376 (1999-11-26)
We have previously shown that necrotic tumors retain their immunoreactivity for a range of cytokeratin antibodies. Some thyroid tumors undergo extensive necrosis after fine-needle aspiration (FNA) procedures. We evaluated the sensitivity of antibodies on necrotic thyroid tumors by examining a
D Bellet et al.
The Journal of clinical endocrinology and metabolism, 56(3), 530-533 (1983-03-01)
Human thyroglobulin (Tg) was used as an antigen in the development of antibodies by the hybridoma technique. From four antibodies that bound more than 40% labeled Tg, two were characterized (182/E4 and 211/A5). They were both of the immunoglobulin G
P A Bejarano et al.
Applied immunohistochemistry & molecular morphology : AIMM, 8(3), 189-194 (2000-09-12)
Thyroid transcription factor-1 (TTF-1), a member of the NKx2 family of homeodomain transcription factors, is a mediator of thyroid-specific transcription of the thyroglobulin (TG) gene. The combined immunohistochemical profile of TTF-1, TG, cytokeratin 7 (CK7), and cytokeratin 20 (CK20) in
Clara S Heffess et al.
Cancer, 95(9), 1869-1878 (2002-10-31)
Clear cell tumors of the thyroid gland in general are uncommon. Metastatic renal cell carcinoma (RCC) to the thyroid gland is a rare occurrence but must be considered in the differential diagnosis of a thyroid gland clear cell neoplasm to

Our team of scientists has experience in all areas of research including Life Science, Material Science, Chemical Synthesis, Chromatography, Analytical and many others.

Contact Technical Service