327R-1
PSMA (EP192) Rabbit Monoclonal Primary Antibody
Synonym(s):
Prostate-specific membrane antigen
biological source
rabbit
conjugate
unconjugated
antibody form
culture supernatant
antibody product type
primary antibodies
clone
EP192, monoclonal
description
For In Vitro Diagnostic Use in Select Regions
form
buffered aqueous solution
species reactivity
human
packaging
vial of 0.1 mL concentrate (327R-14)
vial of 0.1 mL concentrate Research Use Only (327R-14-RUO)
vial of 0.5 mL concentrate (327R-15)
vial of 1.0 mL concentrate (327R-16)
vial of 1.0 mL concentrate Research Use Only (327R-16-RUO)
vial of 1.0 mL pre-dilute Research Use Only (327R-17-RUO)
vial of 1.0 mL pre-dilute ready-to-use (327R-17)
vial of 7.0 mL pre-dilute ready-to-use (327R-18)
vial of 7.0 mL pre-dilute ready-to-use Research Use Only (327R-18-RUO)
manufacturer/tradename
Cell Marque®
technique(s)
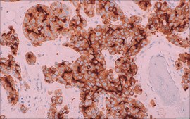
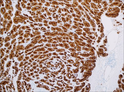
immunohistochemistry (formalin-fixed, paraffin-embedded sections): 1:10-1:40 (concentrated)
isotype
IgG
control
prostate
shipped in
wet ice
storage temp.
2-8°C
visualization
cytoplasmic, membranous
Gene Information
human ... FOLH1(2346)
Related Categories
General description
Physical form
Preparation Note
Note: This requires a keycode which can be found on your packaging or product label.
Download the latest released IFU
Note: This IFU may not apply to your specific product lot.
Analysis Note
![]() IVD | ![]() IVD | ![]() IVD | ![]() RUO |
Other Notes
Legal Information
Not finding the right product?
Try our Product Selector Tool.
Storage Class
12 - Non Combustible Liquids
wgk_germany
WGK 2
Choose from one of the most recent versions:
Already Own This Product?
Find documentation for the products that you have recently purchased in the Document Library.
Our team of scientists has experience in all areas of research including Life Science, Material Science, Chemical Synthesis, Chromatography, Analytical and many others.
Contact Technical Service


