Skip to Content
MilliporeSigma

258R-1

Sigma-Aldrich

Glial Fibrillary Acidic Protein (EP672Y) Rabbit Monoclonal Primary Antibody

Sign Into View Organizational & Contract Pricing

Select a Size


About This Item

UNSPSC Code:
12352106
NACRES:
NA.41
Technical Service
Need help? Our team of experienced scientists is here for you.
Let Us Assist
Technical Service
Need help? Our team of experienced scientists is here for you.
Let Us Assist

biological source

rabbit

Quality Level

conjugate

unconjugated

antibody form

culture supernatant

antibody product type

primary antibodies

clone

EP672Y, monoclonal

description

For In Vitro Diagnostic Use in Select Regions (See Chart)

form

buffered aqueous solution

species reactivity

human

packaging

vial of 0.1 mL concentrate (258R-14)
vial of 0.5 mL concentrate (258R-15)
bottle of 1.0 mL predilute (258R-17)
vial of 1.0 mL concentrate (258R-16)
bottle of 7.0 mL predilute (258R-18)

manufacturer/tradename

Cell Marque®

technique(s)

immunohistochemistry (formalin-fixed, paraffin-embedded sections): 1:25-1:100

isotype

IgG

control

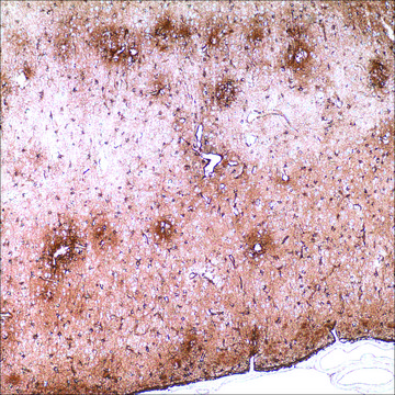
brain

shipped in

wet ice

storage temp.

2-8°C

visualization

cytoplasmic

Gene Information

human ... GFAP(2670)

General description

Anti-GFAP antibody detects astrocytes, Schwann cells, satellite cells, enteric glial cells, andsome groups of ependymal cells. This marker is mainly used to distinguish neoplasms ofastrocytic origin from other neoplasms in the central nervous system.

Physical form

Solution in Tris Buffer, pH 7.3-7.7, with 1% BSA and <0.1% Sodium Azide

Preparation Note

Download the IFU specific to your product lot and formatNote: This requires a keycode which can be found on your packaging or product label.

Other Notes

For Technical Service please contact: 800-665-7284 or email: service@cellmarque.com
GFAP Positive Control Slides, Product No. 258S, are available for immunohistochemistry (formalin-fixed, paraffin-embedded sections).

Legal Information

Cell Marque is a registered trademark of Merck KGaA, Darmstadt, Germany

Not finding the right product?  

Try our Product Selector Tool.

Storage Class

12 - Non Combustible Liquids

wgk_germany

WGK 2

flash_point_f

Not applicable

flash_point_c

Not applicable


Choose from one of the most recent versions:

Certificates of Analysis (COA)

Lot/Batch Number

Don't see the Right Version?

If you require a particular version, you can look up a specific certificate by the Lot or Batch number.

Already Own This Product?

Find documentation for the products that you have recently purchased in the Document Library.

Visit the Document Library

N Funata
The Bulletin of Tokyo Medical and Dental University, 32(1), 9-18 (1985-03-01)
The GFAP-positive cells in the five human anterior pituitaries obtained at autopsy were investigated immunohistochemically and ultramicroscopically. The GFAP-positive cells varied in number from case to case and were identical with the so-called stellate cell. The stellate cells were also
A Regner et al.
Journal of neurotrauma, 18(8), 783-792 (2001-08-31)
Trauma is the leading cause of death in individuals between the ages of 1 and 44 years. And, in the case of severe head injury mortality can reach as high as 35-70%. Despite this fact, there has been little progress
G Viale et al.
Virchows Archiv. A, Pathological anatomy and histopathology, 418(4), 339-348 (1991-01-01)
Immunostaining for glial fibrillary acidic protein (GFAP) identifies a minor subpopulation of immunoreactive myoepithelial cells in the normal resting human breast. The GFAP-immunoreactive cells also express a panel of myoepithelial cell markers, including cytokeratin 14 (CK 14), vimentin, smooth-muscle-specific actin
Goro Nagashima et al.
Clinical neurology and neurosurgery, 104(2), 125-131 (2002-04-05)
To investigate the mechanisms of proteolysis within the glioma, and tissue reactions against glioblastoma, immunohistochemical detection both outside and inside of the tumor was performed using seven brains with glioblastoma that were obtained from autopsies. Immunohistochemistry was performed to detect
E Kawahara et al.
The American journal of surgical pathology, 12(2), 115-120 (1988-02-01)
Immunoreactivity of glial fibrillary acidic protein (GFAP) in 38 schwannomas and 18 neurofibromas was evaluated and compared with the reactivity of vimentin, S-100 protein, and neurofilament protein. All cases were positive for vimentin and S-100 protein. GFAP was positively stained

Our team of scientists has experience in all areas of research including Life Science, Material Science, Chemical Synthesis, Chromatography, Analytical and many others.

Contact Technical Service