Skip to Content
MilliporeSigma

113R-2

Sigma-Aldrich

CD13 (EP117) Rabbit Monoclonal Primary Antibody

Synonym(s):

Aminopeptidase-N

Sign Into View Organizational & Contract Pricing

Select a Size


About This Item

UNSPSC Code:
12352203
Technical Service
Need help? Our team of experienced scientists is here for you.
Let Us Assist
Technical Service
Need help? Our team of experienced scientists is here for you.
Let Us Assist

biological source

rabbit

Quality Level

conjugate

unconjugated

antibody form

culture supernatant

antibody product type

primary antibodies

clone

EP117, monoclonal

description

For In Vitro Diagnostic Use in Select Regions (See Chart)

form

buffered aqueous solution

species reactivity

human

packaging

vial of 0.1 mL concentrate (113R-24)
vial of 0.1 mL concentrate Research Use Only (113R-24-RUO)
vial of 0.5 mL concentrate (113R-25)
vial of 1.0 mL concentrate (113R-26)
vial of 1.0 mL concentrate Research Use Only (113R-26-RUO)
vial of 1.0 mL pre-dilute Research Use Only (113R-27-RUO)
vial of 1.0 mL pre-dilute ready-to-use (113R-27)
vial of 7.0 mL pre-dilute ready-to-use (113R-28)
vial of 7.0 mL pre-dilute ready-to-use Research Use Only (113R-28-RUO)

manufacturer/tradename

Cell Marque®

concentration

0.1-5 μg/mL (predilute)
2.5-125 μg/mL (concentrate)

technique(s)

immunohistochemistry (formalin-fixed, paraffin-embedded sections): 1:25-1:100 (concentrated)

isotype

IgG

control

liver

shipped in

wet ice

storage temp.

2-8°C

visualization

cytoplasmic, membranous

Gene Information

human ... ANPEP(290)

General description

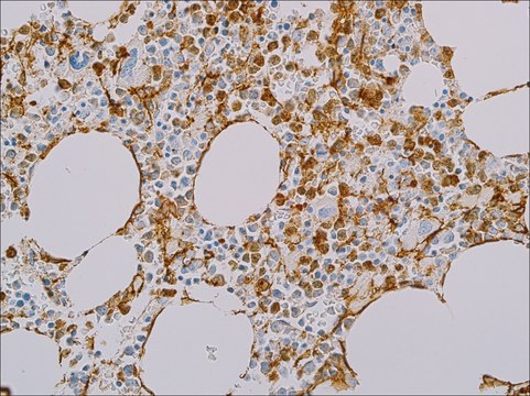
CD13 (aminopeptidase-N) is a transmembrane protease present in many tissues and cell types (e.g., endothelial and epithelial cells, fibroblasts, and leukocytes). CD13 is expressed in various solid and hematological malignancies in humans and is useful in identifying acute myeloid leukemia when used in a panel including antibodies against CD13(+), CD34(+), CD117(+), CD16(-), and CD33(+). This protein is also expressed in myeloid sarcoma and anti-CD13 is useful in its identification using a panel.

In addition, it has been reported that CD13 is expressed in both normal and neoplastic liver tissue, where it exhibits a canalicular distribution pattern similar to that seen for polyclonal CEA and CD10. Thus, anti-CD13 can be useful as an additional marker in differentiating between HCC and non-hepatocellular neoplasms.

Physical form

Solution in Tris Buffer, pH 7.3-7.7, with 1% BSA and <0.1% Sodium Azide

Preparation Note

Download the IFU specific to your product lot and format
Note: This requires a keycode which can be found on your packaging or product label.

Download the latest released IFU
Note: This IFU may not apply to your specific product lot.

Analysis Note

United States - IVD
Canada - IVD
European Union - IVD
Japan - RUO

Other Notes

CD13 Positive Control Slides, Product No. 113S, are available for immunohistochemistry (formalin-fixed, paraffin-embedded sections).
For Technical Service please contact: 800-665-7284 or email: service@cellmarque.com

Legal Information

Cell Marque is a registered trademark of Merck KGaA, Darmstadt, Germany

Not finding the right product?  

Try our Product Selector Tool.

Storage Class

12 - Non Combustible Liquids

wgk_germany

WGK 2

flash_point_f

Not applicable

flash_point_c

Not applicable


Choose from one of the most recent versions:

Certificates of Analysis (COA)

Lot/Batch Number

Don't see the Right Version?

If you require a particular version, you can look up a specific certificate by the Lot or Batch number.

Already Own This Product?

Find documentation for the products that you have recently purchased in the Document Library.

Visit the Document Library

Aminopeptidase-N/CD13 is a potential proapoptotic target in human myeloid tumor cells.
Piedfer M, et al.
Faseb Journal, 25, 2831-2842 (2011)
Canalicular immunostaining of aminopeptidase N (CD13) as a diagnostic marker for hepatocellular carcinoma.
Rocken C, et al.
Journal of Clinical Pathology, 58, 1069-1075 (2005)
Aminopeptidase-N/CD13 (EC 3.4.11.2) inhibitors: chemistry, biological evaluations, and therapeutic prospects.
Bauvois B, et al.
Medicinal Research Reviews, 26, 88-130 (2006)
Myeloid sarcoma: clinico-pathologic, phenotypic and cytogenetic analysis of 92 adult patients.
Pileri SA, et al.
Leukemia, 21, 340-350 (2007)
Acute promyelocytic leukemia: four distinct patterns by flow cytometry immunophenotyping.
Gorczyca, W.
Polish Journal of Pathology : Official Journal of the Polish Society of Pathologists, 1, 8-17 (2012)

Our team of scientists has experience in all areas of research including Life Science, Material Science, Chemical Synthesis, Chromatography, Analytical and many others.

Contact Technical Service