SCC502
3dGRO® Human CRC Organoids (ISO48)
Human
Sign Into View Organizational & Contract Pricing
Select a Size
About This Item
UNSPSC Code:
41106509
NACRES:
NA.81
Product Name
3dGRO® Human CRC Organoids (ISO48),
biological source
human
packaging
pkg of >100,000 organoids vials
manufacturer/tradename
Sigma-Aldrich
growth mode
N/A
technique(s)
cell culture | mammalian: suitable
cell culture | stem cell: suitable
shipped in
ambient
storage temp.
−70°C
General description
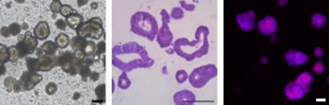
Colorectal cancer accounts for roughly 10% of all cancer cases worldwide with more than half of all patients with CRC developing metastatic disease leading to death. Recently tissue derived organoids have emerged as a more predictive 3 dimensional cell culture model of disease. 3D organoid cultures conserve the original genetic and phenotypic characteristics of the primary tissue allowing for their application in many research fields included drug development, personalized medicine and potential therapeutics. In vitro cultured tumor organoids have also been shown to predict patient response to chemotherapeutics. PDOs derived from colorectal cancer (CRC organoids) have been used for cell modeling and to investigate the function of cancer related driver gene mutations including APC, TP53, KRAS, BRAF, PIK3CA etc.
3dGRO® Human CRC Organoids are offered in a ready-to-assay format intended to simplify the organoid cell culture workflow. A single vial of organoids is enough to directly thaw and seed into a 96-well plate without cell expansion for drug screening applications. The organoids are manufactured using Cellesce’s patented technology which enables the robust growth and expansion of patient-derived organoids (PDOs). Cellesce’s technology minimizes manual handling time to maximize reproducibility in order to position organoid cell models as a cost effective and accurate tool in early-stage drug discovery. The organoid biobank includes tumor derived colorectal cancer PDOs from a range of genetic backgrounds, driver gene mutations, tumor sites and cancer stages. These organoid cell lines have been well characterized and are all validated for response against a number of known CRC-targeting agents.
3dGRO® Human CRC Organoids are offered in a ready-to-assay format intended to simplify the organoid cell culture workflow. A single vial of organoids is enough to directly thaw and seed into a 96-well plate without cell expansion for drug screening applications. The organoids are manufactured using Cellesce’s patented technology which enables the robust growth and expansion of patient-derived organoids (PDOs). Cellesce’s technology minimizes manual handling time to maximize reproducibility in order to position organoid cell models as a cost effective and accurate tool in early-stage drug discovery. The organoid biobank includes tumor derived colorectal cancer PDOs from a range of genetic backgrounds, driver gene mutations, tumor sites and cancer stages. These organoid cell lines have been well characterized and are all validated for response against a number of known CRC-targeting agents.
Application
Cell Growth: Organoid expansion after 7 daysMycoplasma: NegativeViral Testing: Negative (HIV-1, HIV-2, HBV, CMV, EBV, HPV)Sterility (Bacteria, Yeast, Fungi): NegativeMutational Profile: PIK3CA ∆E542K, CTNNB1 ∆S33C
Features and Benefits
Ready-to-Assay human colorectal cancer organoids for 3D cell culture applications.
Preparation Note
Store 3dGRO® Human CRC Organoids at -80°C. For long term storage the cells should be stored in liquid nitrogen.
Legal Information
3dGRO is a registered trademark of Merck KGaA, Darmstadt, Germany
Disclaimer
RESEARCH USE ONLY. This product is regulated in France when intended to be used for scientific purposes, including for import and export activities (Article L 1211-1 paragraph 2 of the Public Health Code). The purchaser (i.e. enduser) is required to obtain an import authorization from the France Ministry of Research referred in the Article L1245-5-1 II. of Public Health Code. By ordering this product, you are confirming that you have obtained the proper import authorization.
Unless otherwise stated in our catalog or other company documentation accompanying the product(s), our products are intended for research use only and are not to be used for any other purpose, which includes but is not limited to, unauthorized commercial uses, in vitro diagnostic uses, ex vivo or in vivo therapeutic uses or any type of consumption or application to humans or animals.
Unless otherwise stated in our catalog or other company documentation accompanying the product(s), our products are intended for research use only and are not to be used for any other purpose, which includes but is not limited to, unauthorized commercial uses, in vitro diagnostic uses, ex vivo or in vivo therapeutic uses or any type of consumption or application to humans or animals.
Storage Class
12 - Non Combustible Liquids
wgk_germany
WGK 3
flash_point_f
Not applicable
flash_point_c
Not applicable
Certificates of Analysis (COA)
Search for Certificates of Analysis (COA) by entering the products Lot/Batch Number. Lot and Batch Numbers can be found on a product’s label following the words ‘Lot’ or ‘Batch’.
Already Own This Product?
Find documentation for the products that you have recently purchased in the Document Library.
Luned M Badder et al.
PloS one, 15(8), e0235319-e0235319 (2020-08-19)
Aberrant activation of the Wnt signalling pathway is required for tumour initiation and survival in the majority of colorectal cancers. The development of inhibitors of Wnt signalling has been the focus of multiple drug discovery programs targeting colorectal cancer and
Related Content
Our team of scientists has experience in all areas of research including Life Science, Material Science, Chemical Synthesis, Chromatography, Analytical and many others.
Contact Technical Service