OP140
Anti-p53 (Ab-12) (Pantropic) Mouse mAb (DO-7)
liquid, clone DO-7, Calbiochem®
Select a Size
About This Item
biological source
mouse
Quality Level
antibody form
purified antibody
antibody product type
primary antibodies
clone
DO-7, monoclonal
form
liquid
does not contain
preservative
species reactivity
bovine, monkey, human
manufacturer/tradename
Calbiochem®
storage condition
OK to freeze
avoid repeated freeze/thaw cycles
dilution
(Frozen Sections (1-2 µg/mL)
Immunoblotting (1-2 µg/mL)
Immunofluorescence (0.5 µg/mL)
Immunoprecipitation (2 µg/mg lysate)
Paraffin Sections (1-2 µg/mL))
isotype
IgG2b
shipped in
wet ice
storage temp.
−20°C
target post-translational modification
unmodified
Gene Information
human ... TP53(7157)
General description
Immunogen
Application


Frozen Sections (1-2 g/ml)
Immunoblotting (1-2 g/ml)
Immunofluorescence (0.5 g/ml)
Immunoprecipitation (2 g/mg lysate)
Paraffin Sections (1-2 g/ml)
Packaging
Analysis Note
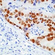
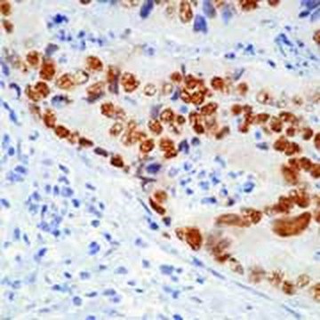
SKBR-3 or MDA-231 cells or colon carcinoma tissue
Other Notes
Lane, D.P. 1992. Nature358, 15.
Legal Information
Disclaimer
Not finding the right product?
Try our Product Selector Tool.
Storage Class
11 - Combustible Solids
wgk_germany
WGK 1
flash_point_f
Not applicable
flash_point_c
Not applicable
Certificates of Analysis (COA)
Search for Certificates of Analysis (COA) by entering the products Lot/Batch Number. Lot and Batch Numbers can be found on a product’s label following the words ‘Lot’ or ‘Batch’.
Already Own This Product?
Find documentation for the products that you have recently purchased in the Document Library.
Related Content
Our team of scientists has experience in all areas of research including Life Science, Material Science, Chemical Synthesis, Chromatography, Analytical and many others.
Contact Technical Service