Sign In to View Organizational & Contract Pricing.
Select a Size
Change View
About This Item
UNSPSC Code:
12352203
NACRES:
NA.43
eCl@ss:
32160702
Conjugate:
unconjugated
Clone:
Dyn9, monoclonal
Application:
IHC
Citations:
-
biological source
mouse
Quality Level
conjugate
unconjugated
antibody form
purified antibody
antibody product type
primary antibodies
clone
Dyn9, monoclonal
species reactivity
human, mouse, rat
technique(s)
immunohistochemistry: suitable (paraffin)
isotype
IgG1κ
NCBI accession no.
UniProt accession no.
shipped in
ambient
target post-translational modification
unmodified
Gene Information
rat ... Pdyn(29190)
General description
28.08/28.06/28.39 kDa (Rat/Mouse/Human preproenkephalin-B), 25.85/25.76/26.28 kDa (Rat/Mouse/Human proenkephalin-B), 3.320/3.320/3.352 kDa (Rat/Mouse/Human leumorphin) calculated.
Proenkephalin-B (UniProt P06300; also known as Beta-neoendorphin-dynorphin, Preprodynorphin) is encoded by the Pdyn gene (Gene ID 29190) in rat species. Proenkephalin B is an opioid polypeptide hormone involved with chemical signal transduction and cell communication. Prodynorphin is a basic building-block of endorphins, the chemical messengers in the brain that appear most heavily involved in the anticipation and experience of pain and the formation of deep emotional bonds critical in learning and memory. Prodynorphin is produced with a signal peptide (a.a. 1-21) and a propeptide (a.a. 22-163) sequence. Following the removal of the signal and propeptide sequences, the protein is further processed by proeolytic cleavages to form Alpha-neoendorphin (a.a. 166-175), Beta-neoendorphin (a.a. 166-174), Big dynorphin (a.a. 202-233; Big Dyn), Dynorphin A(1-17) (a.a. 202-218; Dyn-A17; Dynorphin A); Dynorphin A(1-13) (a.a. 202-214), Dynorphin A(1-8) (a.a. 202-209), Leu-enkephalin (a.a. 202-206 & 221-225), Leumorphin (Dynorphin B-29) (a.a. 221-248), and Rimorphin (a.a. 221-233; Dynorphin B; Dyn-B; Dynorphin B(1-13)).
Immunogen
Thyroglobulin-conjugatged linear peptide corresponding to rat leumorphin (dynorphin B-29) C-terminal half sequence.
Application
Immunohistochemistry Analysis: A 1:20 dilution from a representative lot detected Prodynorphin/Dynorphin B29 immunoreactivity in human midbrain tissue sections.
Immunohistochemistry Analysis: A 1:20 dilution of clone Dyn9 hybridoma culture supernatant detected Prodynorphin/Dynorphin B29 immunoreactivity in human (hippocampus and cerebral cortex), mouse (fundus striati), and rat (nucleus supraopticus, lateral hipothalamic nucleus, paraventricular nucleus, and nucleus accumbens, septum pellucidum, caudate-putamen, and hippocampus) brain tissue sections (Courtesy of Ricardo Martínez Murillo, PhD, Cajal Institute, Madrid Spain).
Immunohistochemistry Analysis: A 1:20 dilution of clone Dyn9 hybridoma culture supernatant detected Prodynorphin/Dynorphin B29 immunoreactivity in human (hippocampus and cerebral cortex), mouse (fundus striati), and rat (nucleus supraopticus, lateral hipothalamic nucleus, paraventricular nucleus, and nucleus accumbens, septum pellucidum, caudate-putamen, and hippocampus) brain tissue sections (Courtesy of Ricardo Martínez Murillo, PhD, Cajal Institute, Madrid Spain).
This mouse monoclonal Anti-Prodynorphin (Dynorphin B29), clone Dyn9 Antibody, Cat. No. MABT882 is validated for use in Immunohistochemistry (Paraffin) for the detection of prodynorphin and leumorphin/dynorphin B-29.
Biochem/physiol Actions
Clone Dyn9 recognizes preproenkephalin-B (a.a. 1-248 of rat sequence), proenkephalin-B (a.a. 22-248 of rat sequence), and leumorphin/dynorphin B-29 (a.a. 221-248 of rat sequence), but not other peptides derived from Proenkephalin-B.
Physical form
Format: Purified
Analysis Note
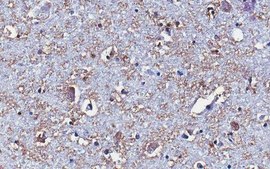
Evaluated by Immunohistochemistry in human thalamus tissue sections.
Immunohistochemistry Analysis: A 1:20 dilution of this antibody detected Prodynorphin/Dynorphin B29 immunoreactivity in human thalamus tissue sections.
Immunohistochemistry Analysis: A 1:20 dilution of this antibody detected Prodynorphin/Dynorphin B29 immunoreactivity in human thalamus tissue sections.
Other Notes
Concentration: Please refer to lot specific datasheet.
Still not finding the right product?
Try our Product Selector Tool to narrow your options
Storage Class
12 - Non Combustible Liquids
wgk
WGK 1
flash_point_f
Not applicable
flash_point_c
Not applicable
Certificates of Analysis (COA)
Search for Certificates of Analysis (COA) by entering the products Lot/Batch Number. Lot and Batch Numbers can be found on a product’s label following the words ‘Lot’ or ‘Batch’.
Already Own This Product?
Find documentation for the products that you have recently purchased in the Document Library.
Global Trade Item Number
| SKU | GTIN |
|---|---|
| MABT882 | 04054839055584 |