Skip to Content
MilliporeSigma

MABT848

Sigma-Aldrich

Anti-MYH-2 Antibody, clone 8F72C8

clone 8F72C8, from rat

Synonym(s):

Myosin-2, Myosin heavy chain 2, Myosin heavy chain 2a, MyHC-2a, Myosin heavy chain IIa, MyHC-IIa, Myosin heavy chain, skeletal muscle, adult 2

Sign Into View Organizational & Contract Pricing

Select a Size


About This Item

UNSPSC Code:
12352203
eCl@ss:
32160702
NACRES:
NA.41
Technical Service
Need help? Our team of experienced scientists is here for you.
Let Us Assist
Technical Service
Need help? Our team of experienced scientists is here for you.
Let Us Assist

biological source

rat

conjugate

unconjugated

antibody form

purified immunoglobulin

antibody product type

primary antibodies

clone

8F72C8, monoclonal

species reactivity

rat

species reactivity (predicted by homology)

mouse, human (based on 100% sequence homology)

packaging

antibody small pack of 25 μg

technique(s)

immunofluorescence: suitable
immunohistochemistry: suitable (paraffin)
western blot: suitable

isotype

IgG2aκ

NCBI accession no.

UniProt accession no.

target post-translational modification

unmodified

Gene Information

human ... MYH2(4620)

Related Categories

General description

Myosin-2 (UniProt: Q9UKX2; also known as Myosin heavy chain 2, Myosin heavy chain 2a, MyHC-2a, Myosin heavy chain IIa, MyHC-IIa, Myosin heavy chain, skeletal muscle, adult 2) is encoded by the MYH2 (also known as MYHSA2) gene (Gene ID: 4620) in human. Muscle myosin is a hexameric protein that consists of 2 heavy chain subunits (MHC), 2 alkali light chain subunits (MLC) and 2 regulatory light chain subunits (MLC-2). Limited proteolysis of myosin heavy chain produces 1 light meromyosin (LMM) and 1 heavy meromyosin (HMM). HMM can be further cleaved into 2 globular sub-fragments (S1) and 1 rod-shaped sub-fragment (S2). In mammals at least 10 different myosin heavy chain (MYH) isoforms have been described from striated, smooth, and non-muscle cells. These isoforms show expression that is spatially and temporally regulated during development. Myosin-2 contains an N-terminal SH3-like domain (aa 33-82), a myosin motor domain (aa 86-784), and an IQ domain (aa 787-816). It also contains 2 actin binding regions (aa 661-683 and 763-777). Mutations in MYH2 gene are known to cause Proximal myopathy and ophthalmoplegia (MYPOP), a muscular disorder characterized by mild-to-moderate muscle weakness and predominance of type 1 fibers and small or absent type 2A fibers.
~220 kDa observed; 223.04 kDa calculated. Uncharacterized bands may be observed in some lysate(s).

Immunogen

KLH-conjugated linear peptide corresponding to 29 amino acids from the C-terminal half of human Myosin-2

Application

Anti-MYH-2, clone 8F72C8, Cat. No. MABT848, is a rat monoclonal antibody that detects Myosin-2 and has been tested for use in Immunofluorescence, Immunohistochemistry (Paraffin), and Western Blotting.
Immunohistochemistry Analysis: A representative lot detected MYH-2 in Immunohistochemistry applications (Sawano, S., et. al. (2016). PLoS One. 11(11):e0166080).

Western Blotting Analysis: A representative lot detected MYH-2 in Western Blotting applications (Sawano, S., et. al. (2016). PLoS One. 11(11):e0166080).

Immunofluorescence Analysis: A representative lot detected MYH-2 in Immunofluorescence applications (Sawano, S., et. al. (2016). PLoS One. 11(11):e0166080).

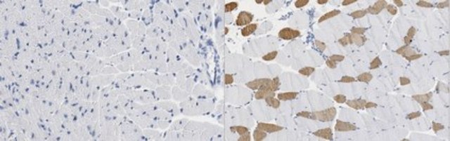
Immunohistochemistry Analysis: A 1:25 dilution from a representative lot detected MYH-2 in mouse heart and mouse skeletal muscle tissues.

Biochem/physiol Actions

Clone 8F72C8 is a rat monoclonal antibody that detects Myosin-2 in mouse and rat muscle. It targets an epitope within 29 amino acids from the C-terminal half.

Physical form

Format: Purified

Analysis Note

Evaluated by Western Blotting in mouse soleus muscle tissue lysate.

Western Blotting Analysis: 1 µg/mL of this antibody detected MYH-2 in mouse soleus muscle tissue lysate.

Other Notes

Concentration: Please refer to lot specific datasheet.

Not finding the right product?  

Try our Product Selector Tool.

Storage Class

12 - Non Combustible Liquids

wgk_germany

WGK 1

flash_point_f

Not applicable

flash_point_c

Not applicable


Certificates of Analysis (COA)

Search for Certificates of Analysis (COA) by entering the products Lot/Batch Number. Lot and Batch Numbers can be found on a product’s label following the words ‘Lot’ or ‘Batch’.

Already Own This Product?

Find documentation for the products that you have recently purchased in the Document Library.

Visit the Document Library

Our team of scientists has experience in all areas of research including Life Science, Material Science, Chemical Synthesis, Chromatography, Analytical and many others.

Contact Technical Service