Skip to Content
MilliporeSigma

MABT846

Sigma-Aldrich

Anti-MYH-1 Antibody

rat monoclonal, 6F12H3

Synonym(s):

Myosin-1, Myosin heavy chain 1, Myosin heavy chain 2x, MyHC-2x, Myosin heavy chain skeletal muscle adult 1

Sign Into View Organizational & Contract Pricing

Select a Size


About This Item

UNSPSC Code:
12352203
eCl@ss:
32160702
NACRES:
NA.41
Technical Service
Need help? Our team of experienced scientists is here for you.
Let Us Assist
Technical Service
Need help? Our team of experienced scientists is here for you.
Let Us Assist

Product Name

Anti-MYH-1 Antibody, clone 6F12H3, clone 6F12H3, from rat

biological source

rat

antibody form

purified immunoglobulin

antibody product type

primary antibodies

clone

6F12H3, monoclonal

species reactivity

rat, mouse

packaging

antibody small pack of 25 μg

technique(s)

immunofluorescence: suitable
immunohistochemistry: suitable
western blot: suitable

isotype

IgG1κ

NCBI accession no.

UniProt accession no.

target post-translational modification

unmodified

Gene Information

mouse ... Myh1(17879)

General description

Myosin-1 (UniProt: Q5SX40; also known as Myosin heavy chain 1, Myosin heavy chain 2x, MyHC-2x, Myosin heavy chain, skeletal muscle, adult 1) is encoded by the Myh1 gene (Gene ID: 17879) in murine species. Muscle myosin is a hexameric protein that consists of 2 heavy chain subunits (MHC), 2 alkali light chain subunits (MLC) and 2 regulatory light chain subunits (MLC-2). Limited proteolysis of myosin heavy chain produces 1 light meromyosin (LMM) and 1 heavy meromyosin (HMM). HMM can be further cleaved into 2 globular sub-fragments (S1) and 1 rod-shaped sub-fragment (S2). In mammals at least 10 different myosin heavy chain (MYH) isoforms have been described from striated, smooth, and non-muscle cells. These isoforms show expression that is spatially and temporally regulated during development. Myosin-1 contains an N-terminal SH3-like domain (aa 33-82), a myosin motor domain (aa 86-785), and an IQ domain (aa 788-817). It also contains 2 actin binding regions (aa 662-684 and 764-778).
~220 kDa observed; 223.34 kDa calculated. Uncharacterized bands may be observed in some lysate(s).

Immunogen

KLH-conjugated linear peptide corresponding to 29 amino acids from the C-terminal half of murine Myosin-1.

Application

Anti-MYH-1, clone 6F12H3, Cat. No. MABT846, is a rat monoclonal antibody that detects Myosin-1 and has been tested for use in Immunofluorescence. Immunohistochemistry, and Western Blotting.
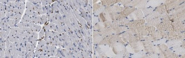
Immunohistochemistry Analysis: A 1:25 dilution from a representative lot detected MYH-1 in mouse heart and mouse skeletal muscle tissue.

Immunofluorescence Analysis: A representative lot detected MYH-1 in Immunofluorescence applications (Sawano, S., et. al. (2016). PLoS One. 11(11):e0166080).

Western Blotting Analysis: A representative lot detected MYH-1 in Western Blotting applications (Sawano, S., et. al. (2016). PLoS One. 11(11):e0166080).

Immunohistochemistry Analysis: A representative lot detected MYH-1 in Immunohistochemistry applications (Sawano, S., et. al. (2016). PLoS One. 11(11):e0166080).
Research Category
Cell Structure

Biochem/physiol Actions

Clone 6F12H3 is a rat monoclonal antibody that detects Myosin-1 in mouse and rat muscles. It target an epitope within the coiled coil domain in the C-terminal half.

Physical form

Format: Purified
Protein G purified
Purified rat monoclonal antibody IgG1 in buffer containing 0.1 M Tris-Glycine (pH 7.4), 150 mM NaCl with 0.05% sodium azide.

Preparation Note

Stable for 1 year at 2-8°C from date of receipt.

Analysis Note

Evaluated by Western Blotting in mouse soleus muscle tissue lysate.

Western Blotting Analysis: 1 µg/mL of this antibody detected MYH-1 in mouse soleus muscle tissue lysates.

Other Notes

Concentration: Please refer to lot specific datasheet.

Disclaimer

Unless otherwise stated in our catalog or other company documentation accompanying the product(s), our products are intended for research use only and are not to be used for any other purpose, which includes but is not limited to, unauthorized commercial uses, in vitro diagnostic uses, ex vivo or in vivo therapeutic uses or any type of consumption or application to humans or animals.

Not finding the right product?  

Try our Product Selector Tool.


Certificates of Analysis (COA)

Search for Certificates of Analysis (COA) by entering the products Lot/Batch Number. Lot and Batch Numbers can be found on a product’s label following the words ‘Lot’ or ‘Batch’.

Already Own This Product?

Find documentation for the products that you have recently purchased in the Document Library.

Visit the Document Library

Our team of scientists has experience in all areas of research including Life Science, Material Science, Chemical Synthesis, Chromatography, Analytical and many others.

Contact Technical Service