Skip to Content
MilliporeSigma

MABT368

Sigma-Aldrich

Anti-Troponin T (Cardiac Muscle) Antibody, clone 9C2.1

clone 9C2.1, from mouse

Synonym(s):

Troponin T, cardiac muscle, Cardiac muscle troponin T, cTnT, TnTc

Sign Into View Organizational & Contract Pricing

Select a Size


About This Item

UNSPSC Code:
12352203
eCl@ss:
32160702
NACRES:
NA.41
Technical Service
Need help? Our team of experienced scientists is here for you.
Let Us Assist
Technical Service
Need help? Our team of experienced scientists is here for you.
Let Us Assist

biological source

mouse

Quality Level

conjugate

unconjugated

antibody form

purified immunoglobulin

antibody product type

primary antibodies

clone

9C2.1, monoclonal

species reactivity

mouse, rat

species reactivity (predicted by homology)

human (based on 100% sequence homology)

technique(s)

immunohistochemistry: suitable
western blot: suitable

isotype

IgG2bκ

NCBI accession no.

UniProt accession no.

shipped in

wet ice

target post-translational modification

unmodified

Gene Information

human ... TNNT2(7139)

General description

Troponin T, cardiac muscle (UniProt P45379; also known as Cardiac muscle troponin T, cTnT, TnTc) is encoded by the TNNT2 (also known as CMD1D, CMH2, RCM3) gene (Gene ID 7139) in human. Troponin is a complex composed of three regulatory proteins, troponin C, troponin I, and troponin T). Troponin is found in both skeletal muscle and cardiac muscle where it plays an integral role in muscle contraction. Troponin T (TnT) is the component that binds tropomyosin, while troponin I (TnI) binds actin in thin myofilaments to hold the actin-tropomyosin complex in place. Three tissue TnT types exist, the slow skeletal troponin T1 encoded by the TNNT1 gene, the cardiac troponin T2 encoded by the TNNT2 gene, and the fast skeletal troponin T3 encoded by the TNNT3 gene.
~36 kDa observed. 35.8 kDa (isoform Embryonic), 35.0 kDa (isoform A1), 34.5 kDa (isoform A2), and 34.2 kDa (Isoform A3B) of mouse cardiac muscle troponin T spliced isoforms calculated.

Immunogen

Epitope: Internal.
Recombinant human cardiac muscle troponin T internal fragment.

Application

Detect Troponin T using this Anti-Troponin T (Cardiac Muscle) Antibody, clone 9C2.1 validated for use in Western Blotting, Immunohistochemistry.
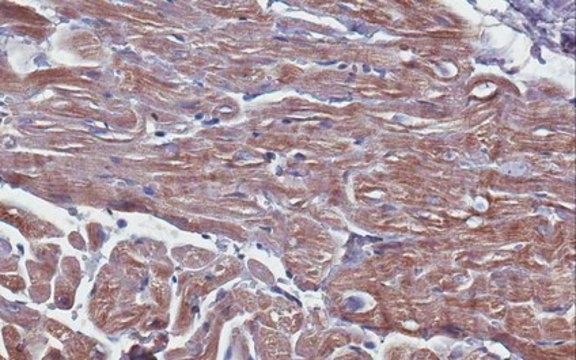
Immunohistochemistry Analysis: A 1:50 dilution from a representative lot detected Troponin T (Cardiac Muscle) in rat cardiac muscle tissue.
Research Category
Cell Structure
Research Sub Category
Cytoskeleton

Biochem/physiol Actions

Expected to react with human troponin T spliced isoforms 1-8 and 10, as well as all four of mouse troponin T spliced isoforms (Embryonic, A1, A2, and A3B isoforms; UniProt P50752) and both of rat troponin T spliced isoforms (Embryonic and Adult isoforms; UniProt P50753)

Physical form

Format: Purified
Protein G Purified
Purified mouse monoclonal IgG2bκ antibody in buffer containing 0.1 M Tris-Glycine (pH 7.4), 150 mM NaCl with 0.05% sodium azide.

Preparation Note

Stable for 1 year at 2-8°C from date of receipt.

Analysis Note

Evaluated by Western Blotting in mouse heart tissue lysate.

Western Blotting Analysis: 1.0 µg/mL of this antibody detected Troponin T (Cardiac Muscle) in 10 µg of mouse heart tissue lysate.

Other Notes

Concentration: Please refer to lot specific datasheet.

Disclaimer

Unless otherwise stated in our catalog or other company documentation accompanying the product(s), our products are intended for research use only and are not to be used for any other purpose, which includes but is not limited to, unauthorized commercial uses, in vitro diagnostic uses, ex vivo or in vivo therapeutic uses or any type of consumption or application to humans or animals.

Not finding the right product?  

Try our Product Selector Tool.

Storage Class

12 - Non Combustible Liquids

wgk_germany

WGK 1

flash_point_f

Not applicable

flash_point_c

Not applicable


Certificates of Analysis (COA)

Search for Certificates of Analysis (COA) by entering the products Lot/Batch Number. Lot and Batch Numbers can be found on a product’s label following the words ‘Lot’ or ‘Batch’.

Already Own This Product?

Find documentation for the products that you have recently purchased in the Document Library.

Visit the Document Library

Matthew L Klos et al.
Biomolecules, 12(10) (2022-10-28)
Beta-hydroxybutyrate (βOHB), along with acetoacetate and acetone, are liver-produced ketone bodies that are increased after fasting or prolonged exercise as an alternative fuel source to glucose. βOHB, as the main circulating ketone body, is not only a G-protein coupled receptor

Our team of scientists has experience in all areas of research including Life Science, Material Science, Chemical Synthesis, Chromatography, Analytical and many others.

Contact Technical Service