Skip to Content
MilliporeSigma

MABT339

Sigma-Aldrich

Anti-ZO-1 Antibody, clone 5G6.1

clone 5G6.1, from mouse

Synonym(s):

Tight junction protein ZO-1, Tight junction protein 1, Zona occludens protein 1, Zonula occludens protein 1, ZO-1

Sign Into View Organizational & Contract Pricing

Select a Size


About This Item

UNSPSC Code:
12352203
eCl@ss:
32160702
NACRES:
NA.41
Technical Service
Need help? Our team of experienced scientists is here for you.
Let Us Assist
Technical Service
Need help? Our team of experienced scientists is here for you.
Let Us Assist

biological source

mouse

Quality Level

conjugate

unconjugated

antibody form

purified immunoglobulin

antibody product type

primary antibodies

clone

5G6.1, monoclonal

species reactivity

rat, human

technique(s)

immunohistochemistry: suitable (paraffin)
western blot: suitable

isotype

IgG2aκ

NCBI accession no.

UniProt accession no.

shipped in

wet ice

target post-translational modification

unmodified

Gene Information

human ... TJP1(7082)

General description

Tight junction protein ZO-1 (UniProt Q07157; also known as Tight junction protein 1, Zona occludens protein 1, Zonula occludens protein 1) is encoded by the TJP1 gene (also known as ZO1) (Gene ID 7082) in human. The tight junction (TJ) constitutes the barrier between the apical and the basolateral domains of the plasma membrane. The assembly and permeability of this barrier are dependent on the zonula occludens (ZO) membrane-associated guanylate kinase (MAGUK) proteins ZO-1, ZO-2, and ZO-3. ZO-1, a 210-225 kDa protein, is found at the submembranous domain of TJs in epithelia and endothelia. ZO-1 contains three PDZ domains (PDZ1/aa23-109; PDZ2/aa181-261; PDZ3/aa422-502) at its N-treminal end, followed by an SH3 domain (aa519-580), a GUK/GK homology domain (aa632-782), an acidic domain (aa817-894), an alpha spliced domain (aa921-1000), and a C-terminal proline-rich/PR domain. ZO-1 is a phosphoprotein and a known substrate of serine/threonine kinases ZAK and of PKC. MAPK signaling pathway regulates tyrosine phosphorylation of ZO-1, and MEK1 inhibition in Ras transformed epithelial cells is reported to result in tyrosine phosphorylation of ZO-1 and occludin. ZO-1 interacts with claudins, JAM, ZO-2, and ZO-3 through its PDZ domains, while its GK module mediates interaction with occludin. ZO-1 also binds actin cytoskeleton and actin-binding protein 4.1 through its carboxyl terminal end. In addition, ZO-1 associates with AF-6 and cingulin at the TJ, as well as with the adherens junction protein alpha-catenin and with the gap junction proteins connexins 43 and 45.
~195 kDa observed

Immunogen

GST-tagged recombinant protein corresponding to human ZO-1.

Application

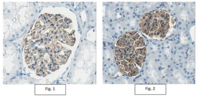
Immunohistochemistry Analysis: A 1:1,000 dilution from a representative lot detected ZO-1 in human and rat kidney tissues.
Research Category
Cell Structure
Research Sub Category
Adhesion (CAMs)
This Anti-ZO-1 Antibody, clone 5G6.1 is validated for use in Western Blotting, Immunocytochemistry, Flow Cytometry, ELISA for the detection of ZO-1 .

Physical form

Format: Purified
Protein G Purified
Purified mouse monoclonal IgG2aκ antibody in buffer containing 0.1 M Tris-Glycine (pH 7.4), 150 mM NaCl with 0.05% sodium azide.

Preparation Note

Stable for 1 year at 2-8°C from date of receipt.

Analysis Note

Evaluated by Western Blotting in HCT116 cell lysate.

Western Blotting Analysis: 0.5 µg/mL of this antibody detected ZO-1 in 200 µg of HCT116 cell lysate.

Other Notes

Concentration: Please refer to lot specific datasheet.

Disclaimer

Unless otherwise stated in our catalog or other company documentation accompanying the product(s), our products are intended for research use only and are not to be used for any other purpose, which includes but is not limited to, unauthorized commercial uses, in vitro diagnostic uses, ex vivo or in vivo therapeutic uses or any type of consumption or application to humans or animals.

Not finding the right product?  

Try our Product Selector Tool.

Storage Class

12 - Non Combustible Liquids

wgk_germany

WGK 1

flash_point_f

Not applicable

flash_point_c

Not applicable


Certificates of Analysis (COA)

Search for Certificates of Analysis (COA) by entering the products Lot/Batch Number. Lot and Batch Numbers can be found on a product’s label following the words ‘Lot’ or ‘Batch’.

Already Own This Product?

Find documentation for the products that you have recently purchased in the Document Library.

Visit the Document Library

Duobin Zhang et al.
Journal of leukocyte biology, 111(5), 953-966 (2021-09-30)
Ischemic stroke (IS) can cause disability and death, and microglia as the immune component of the CNS can release inflammatory factors and participate in blood-brain barrier (BBB) dysfunction. This study aimed to investigate the effects of long noncoding RNA (lncRNA)
Adam M Jorgensen et al.
Tissue engineering. Part A, 26(9-10), 512-526 (2019-12-22)
Over 1 million burn injuries are treated annually in the United States, and current tissue engineered skin fails to meet the need for full-thickness replacement. Bioprinting technology has allowed fabrication of full-thickness skin and has demonstrated the ability to close

Articles

Millicell® hanging cell culture inserts for staining and microscopic analysis directly from the insert. Learn to utilize hanging cell culture inserts in barrier measurements.

Related Content

Step-by-step protocol for generating apical-out human gut organoids for microbiome, ADME/Tox, viral and gastrointestinal related disease research. See the complete organoid culture protocol.

Monitor barrier formation using colon PDOs, iPSC-derived colon organoids, Millicell® cell culture inserts, and the Millicell® ERS. 3.0.

A major focus of breast cancer research is to understand the mechanisms responsible for disease progression and drug resistance. Toward that end, it has been found that approximately two thirds of all human breast carcinomas overexpress the Estrogen Receptor α (ERα) protein and it remains the primary pharmacological target for endocrine therapy1,2. The normal cellular function of ERα is as a transcription factor that mediates a wide variety of physiological processes, many of which are dependent upon phosphorylation of the receptor at specific amino acid residues3,4. Indeed, ERα is known to be phosphorylated at a multitude of different sites, yet how these all correlate to disease remains unclear5. Here, we interrogated multiple sites of ERα for phosphorylation status by screening an extensive panel of different breast cancer patient samples and other non-breast cancer tissue microarray (TMA) slide samples to determine their relevance to disease.

Our team of scientists has experience in all areas of research including Life Science, Material Science, Chemical Synthesis, Chromatography, Analytical and many others.

Contact Technical Service