Skip to Content
MilliporeSigma

MABT25

Sigma-Aldrich

Anti-Myosin 2 Antibody, clone 5B11.1

clone 5B11.1, from mouse

Synonym(s):

Myosin-2, Myosin heavy chain 2, Myosin heavy chain 2a, MyHC-2a, Myosin heavy chain Iia, MyHC-Iia, Myosin heavy chain, skeletal muscle, adult 2

Sign Into View Organizational & Contract Pricing

Select a Size


About This Item

UNSPSC Code:
12352203
eCl@ss:
32160702
NACRES:
NA.41
Technical Service
Need help? Our team of experienced scientists is here for you.
Let Us Assist
Technical Service
Need help? Our team of experienced scientists is here for you.
Let Us Assist

biological source

mouse

Quality Level

conjugate

unconjugated

antibody form

purified immunoglobulin

antibody product type

primary antibodies

clone

5B11.1, monoclonal

species reactivity

mouse, human, rat

technique(s)

immunohistochemistry: suitable
western blot: suitable

isotype

IgG3κ

NCBI accession no.

UniProt accession no.

shipped in

wet ice

target post-translational modification

unmodified

Gene Information

human ... MYH2(4620)

General description

Myosin is a hexameric protein consisting of two heavy chains including Myosin-2 (MYH2), two regulatory light chains, and two alkali light chains. The myosin-2 heavy chain interacts with the actin cytoskeleton and mediates muscle contractility in eukaryotic cells. Defects in myosin-2 result in inclusion body myopathy type 3.
~220 kDa observed

Immunogen

KLH-conjugated linear peptide corresponding to mouse Myosin 2.

Application

Research Category
Cell Structure
Research Sub Category
Cytoskeleton
This Anti-Myosin 2 Antibody, clone 5B11.1 is validated for use in Western Blotting, IHC for the detection of Myosin 2.
Western Blot Analysis: 0.5 µg/mL from a representative lot detected Myosin-2 in L6 cell lysate (Myosin may be observed as a smear in some cell lysates).

Western Blot Analysis: A representative lot detected Myosin-2 in mouse heart cell cytosolic extracts.

Physical form

Format: Purified
Purified mouse monoclonal IgG3κ in buffer containing PBS with 0.05% sodium azide.

Preparation Note

Stable for 1 year at 2-8°C from date of receipt.

Analysis Note

Control
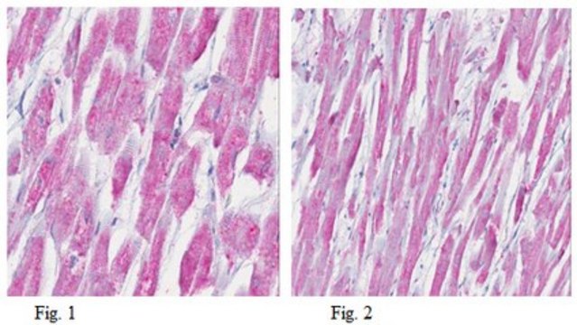
Human cardiac muscle tissue
Evaluated by Immunohistochemistry in human cardiac muscle tissue.

Immunohistochemistry Analysis: A 1:300 dilution of this antibody detected Myosin-2 in human cardiac muscle tissue.

Other Notes

Concentration: Please refer to the Certificate of Analysis for the lot-specific concentration.

Disclaimer

Unless otherwise stated in our catalog or other company documentation accompanying the product(s), our products are intended for research use only and are not to be used for any other purpose, which includes but is not limited to, unauthorized commercial uses, in vitro diagnostic uses, ex vivo or in vivo therapeutic uses or any type of consumption or application to humans or animals.

Not finding the right product?  

Try our Product Selector Tool.

Storage Class

10 - Combustible liquids

wgk_germany

WGK 2

flash_point_f

Not applicable

flash_point_c

Not applicable


Certificates of Analysis (COA)

Search for Certificates of Analysis (COA) by entering the products Lot/Batch Number. Lot and Batch Numbers can be found on a product’s label following the words ‘Lot’ or ‘Batch’.

Already Own This Product?

Find documentation for the products that you have recently purchased in the Document Library.

Visit the Document Library

Our team of scientists has experience in all areas of research including Life Science, Material Science, Chemical Synthesis, Chromatography, Analytical and many others.

Contact Technical Service