Skip to Content
MilliporeSigma

MABS827

Sigma-Aldrich

Anti-ERK1/2 Antibody, clone 16A6.1

clone 16A6.1, from mouse

Synonym(s):

EC: 2.7.11.24, MAP kinase 3, MAPK3, ERT2, ERK-1, Insulin-stimulated MAP2 kinase, MAP kinase isoform p44, p44-MAPK, MNK1, Microtubule-associated protein 2 kinase, p44-ERK1

Sign Into View Organizational & Contract Pricing

Select a Size


About This Item

UNSPSC Code:
12352203
eCl@ss:
32160702
NACRES:
NA.41
Technical Service
Need help? Our team of experienced scientists is here for you.
Let Us Assist
Technical Service
Need help? Our team of experienced scientists is here for you.
Let Us Assist

biological source

mouse

Quality Level

conjugate

unconjugated

antibody form

purified antibody

antibody product type

primary antibodies

clone

16A6.1, monoclonal

species reactivity

rat, human, mouse

technique(s)

immunohistochemistry: suitable (paraffin)
western blot: suitable

isotype

IgG2bκ

NCBI accession no.

UniProt accession no.

shipped in

ambient

target post-translational modification

unmodified

Gene Information

human ... MAPK3(5595)
mouse ... Mapk3(26417)
rat ... Mapk3(50689)

General description

Mitogen-activated protein kinase 3 (UniProt: P21708; also known as EC: 2.7.11.24, MAP kinase 3, MAPK3, ERT2, ERK-1, Insulin-stimulated MAP2 kinase, MAP kinase isoform p44, p44-MAPK, MNK1, Microtubule-associated protein 2 kinase, p44-ERK1) is encoded by the mapk3 (also known as Erk1, Prkm3) gene (Gene ID: 50689) in rat. ERK1 (a.k.a. MAPK 3) and ERK2 (a.k.a. MAPK 1 or MAPK 2) are related serine/threonine kinases of the Ras-Raf-MEK-ERK signaling pathway. ERK1/2 are activated by MEK1/2-catalyzed phosphorylation at their conserved Thr-Glu-Tyr (TEY) dual phosphorylation motif, first at the Tyr residue (human/rat ERK1 Tyr204/Tyr203, human/rat ERK2 Tyr187/Tyr183) and then at the Thr residue (human/rat ERK1 Thr202/Thr201, human/rat ERK2 Thr185/Thr181). ERK1/2 are proline-directed kinases that preferentially catalyze the phosphorylation of Pro-Xxx-Ser/Thr-Pro sequence motif in hundreds of cytoplasmic and nuclear substrates, including transcription factors such as Ets, Elk, and c-Fos. Besides this primary structure requirement, many ERK1/2 substrates possess a D-docking site and/or an F-docking site. A variety of scaffold proteins, including KSR1/2, IQGAP1, MP1, and -Arrestin1/2, also participate in the regulation of ERK1/2 MAP kinase cascade. Ras-Raf-MEK-ERK signaling activity is upregulated in about one-third of all human cancers, and targeted inhibition against components of this signaling pathway represents a popular anticancer strategy.
~42 kDa observed; 43.08 kDa calculated. Uncharacterized bands may be observed in some lysate(s).

Immunogen

KLH-conjugated linear peptide corresponding to 21 amino acids from the C-terminal region of rat ERK1.

Application

Detect ERK1/2 using this mouse monoclonal Anti-ERK1/2 Antibody, clone 16A6.1, Cat. No. MABS827. It is used in Immunohistochemistry (Paraffin) and Western Blotting.
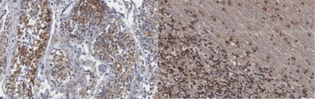
Immunohistochemistry Analysis: A 1:250-1:1,000 dilution from a representative lot detected ERK1/2 in human testis, human cerebellum, rat cerebral cortex, and mouse small intestine tissues.
Research Category
Signaling

Biochem/physiol Actions

Clone 16A6.1 detects both ERK1 and ERK2 in human, mouse, and rat. This clone targets a sequence corresponding to 21 amino acids in the C-terminal region.

Physical form

Format: Purified
Protein G purified
Purified mouse monoclonal antibody IgG2b in buffer containing 0.1 M Tris-Glycine (pH 7.4), 150 mM NaCl with 0.05% sodium azide.

Preparation Note

Stable for 1 year at 2-8°C from date of receipt.

Analysis Note

Evaluated by Western Blotting in RAW264.7 cell lysate.

Western Blotting Analysis: 0.5 µg/mL of this antibody detected ERK1/2 in 10 µg of RAW264.7 cell lysate.


Other Notes

Concentration: Please refer to lot specific datasheet.
Replaces: 05-1152

Disclaimer

Unless otherwise stated in our catalog or other company documentation accompanying the product(s), our products are intended for research use only and are not to be used for any other purpose, which includes but is not limited to, unauthorized commercial uses, in vitro diagnostic uses, ex vivo or in vivo therapeutic uses or any type of consumption or application to humans or animals.

Not finding the right product?  

Try our Product Selector Tool.

Storage Class

12 - Non Combustible Liquids

wgk_germany

WGK 1


Certificates of Analysis (COA)

Search for Certificates of Analysis (COA) by entering the products Lot/Batch Number. Lot and Batch Numbers can be found on a product’s label following the words ‘Lot’ or ‘Batch’.

Already Own This Product?

Find documentation for the products that you have recently purchased in the Document Library.

Visit the Document Library

Bar Levi et al.
International journal of molecular sciences, 22(17) (2021-09-11)
We examined the effects of ALOS4, a cyclic peptide discovered previously by phage library selection against integrin αvβ3, on a human melanoma (A375) xenograft model to determine its abilities as a potential anti-cancer agent. We found that ALOS4 promoted healthy
Phuriwat Khiewkamrop et al.
FEBS open bio, 12(5), 937-958 (2022-03-05)
The de novo lipogenesis (DNL) pathway has been identified as a regulator of cancer progression and aggressiveness. Downregulation of key lipogenesis enzymes has been shown to activate apoptosis in cancerous cells. Epigallocatechin gallate (EGCG) inhibits cancer cell proliferation without causing cytotoxicity

Our team of scientists has experience in all areas of research including Life Science, Material Science, Chemical Synthesis, Chromatography, Analytical and many others.

Contact Technical Service