Sign In to View Organizational & Contract Pricing.
Select a Size
Change View
About This Item
UNSPSC Code:
12352203
NACRES:
NA.41
eCl@ss:
32160702
Conjugate:
unconjugated
Clone:
4-1a, monoclonal
Application:
ELISA, ICC, IF, IHC, WB
Citations:
-
biological source
mouse
Quality Level
conjugate
unconjugated
antibody form
purified immunoglobulin
antibody product type
primary antibodies
clone
4-1a, monoclonal
species reactivity
human, mouse, bovine, rat
technique(s)
ELISA: suitable, immunocytochemistry: suitable, immunofluorescence: suitable, immunohistochemistry: suitable (paraffin), western blot: suitable
isotype
IgG2aκ
NCBI accession no.
UniProt accession no.
shipped in
wet ice
target post-translational modification
unmodified
Gene Information
human ... LPL(4023)
General description
53.16 kDa (ProLPL) and 50.39 (Mature LPL) calculated. ~56 kDa observed (Bensadoun, A., et al. (2014). Biochim. Biophys. Acta. 1841(7):970-976).
Lipoprotein lipase (EC 3.1.1.34; UniProt P06858; also known as hLPL, LPL) is encoded by the LPL (also known as LIPD) gene (Gene ID 4023) in human. Lipoprotein lipase (LPL) catalyzes the hydrolysis of triglycerides in plasma lipoproteins. LPL is produced by adipocytes and myocytes and secreted into the interstitial spaces, where it is bound by GPIHBP1 (a glycosylphosphatidylinositol-anchored protein of capillary endothelial cells) and shuttled to the luminal face of capillaries. The GPIHBP1–LPL complex is crucial for the binding of triglyceride-rich lipoproteins (TRLs) to endothelial cells and the subsequent lipolytic processing of TRLs. TRLs bind only the LPL-GPIHBP1 complex, but not GPIHBP1 alone, on the cell surface. A deficiency of either protein results in severe hypertriglyceridemia (chylomicronemia) and impaired delivery of lipid nutrients to parenchymal cells. LPL is produced with a signal peptide sequence (a.a. 1-27), the removal of which yields the mature 448-amino acid (a.a. 28-475) enzyme containing a PLAT (Polycystin-1, Lipoxygenase, Alpha-Toxin) domain (a.a. 341-464) and a heparin-binding domain (a.a. 346-441).
Immunogen
Epitope: Near the N-terminus of mature LPL.
Purified human plasma lipoprotein lipase/LPL.
Application
Anti-Lipoprotein Lipase/LPL Antibody, clone 4-1a is an antibody against Lipoprotein Lipase/LPL for use in Immunohistochemistry (Paraffin), Western Blotting, ELISA, Immunocytochemistry, Immunofluorescence.
Immunohistochemistry Analysis: A 1:50 dilution from a representative lot detected lipoprotein lipase/LPL immunoreactivity in human pancreas, human skeletal muscle, and rat heart tissue sections.
Western Blotting Analysis: A representative lot detected human plasma lipoprotein lipase (LPL) and bovine milk LPL by Western blotting. Clone 4-1a exhibited much reduced binding to murine or chicken LPL, and failed to detect human hepatic lipase (hHL) (Bensadoun, A., et al. (2014). Biochim. Biophys. Acta. 1841(7):970-976).
Western Blotting Analysis: A representative lot detected recombinant wild-type human LPL (rhLPL), as well as rhLPL with mutated Gln3 & Arg4. Clone 4-1a failed to react with rhLPL with mutated Ile8 or Asp9, nor rhLPL with either a.a. 5-15 or aa.16-25 deletion (Bensadoun, A., et al. (2014). Biochim. Biophys. Acta. 1841(7):970-976).
ELISA Analysis: A representative lot was employed as the capture antibody for the detection of human LPL by sandwich ELISA, using biotinylated clone 5D2 as the detcting antibody (Bensadoun, A., et al. (2014). Biochim. Biophys. Acta. 1841(7):970-976).
Immunocytochemistry Analysis: A representative lot detected the binding of human LPL to CHO and CHL cells transfected to express surface GPIHBP1, but not to mock transfected cells or cells transfected to express GPIHBP1 C65S mutant. Clone 4-1a does not compete against triglyceride-rich lipoproteins (TRLs) for binding the LPL-GPIHBP1 complex on cell surface (Bensadoun, A., et al. (2014). Biochim. Biophys. Acta. 1841(7):970-976).
Immunofluorescence Analysis: A representative lot detected hLPL immunoreactivity associated with GPIHBP1 on capillary endothelial cells in OCT-embedded, methanol/acetone-fixed frozen skeletal muscle sections from mice expressing muscle-specific human LPL transgene. Much lower immunoreactivity of the endogenous mLPL was detected in skeletal muscle sections from non-transgenic mice (Bensadoun, A., et al. (2014). Biochim. Biophys. Acta. 1841(7):970-976).
Note: Clone 4-1a exhibits much weaker affinity toward rat & murine LPL when compared with human LPL. Higher amount of sample loading (in Western blotting and ELISA) and/or high sensitivity detection method (e.g. HRP polymer or fluorescence detection in Western blotting and immunohistochemistry) is recommended when using this clone for detecting rat & murine LPL.
Western Blotting Analysis: A representative lot detected human plasma lipoprotein lipase (LPL) and bovine milk LPL by Western blotting. Clone 4-1a exhibited much reduced binding to murine or chicken LPL, and failed to detect human hepatic lipase (hHL) (Bensadoun, A., et al. (2014). Biochim. Biophys. Acta. 1841(7):970-976).
Western Blotting Analysis: A representative lot detected recombinant wild-type human LPL (rhLPL), as well as rhLPL with mutated Gln3 & Arg4. Clone 4-1a failed to react with rhLPL with mutated Ile8 or Asp9, nor rhLPL with either a.a. 5-15 or aa.16-25 deletion (Bensadoun, A., et al. (2014). Biochim. Biophys. Acta. 1841(7):970-976).
ELISA Analysis: A representative lot was employed as the capture antibody for the detection of human LPL by sandwich ELISA, using biotinylated clone 5D2 as the detcting antibody (Bensadoun, A., et al. (2014). Biochim. Biophys. Acta. 1841(7):970-976).
Immunocytochemistry Analysis: A representative lot detected the binding of human LPL to CHO and CHL cells transfected to express surface GPIHBP1, but not to mock transfected cells or cells transfected to express GPIHBP1 C65S mutant. Clone 4-1a does not compete against triglyceride-rich lipoproteins (TRLs) for binding the LPL-GPIHBP1 complex on cell surface (Bensadoun, A., et al. (2014). Biochim. Biophys. Acta. 1841(7):970-976).
Immunofluorescence Analysis: A representative lot detected hLPL immunoreactivity associated with GPIHBP1 on capillary endothelial cells in OCT-embedded, methanol/acetone-fixed frozen skeletal muscle sections from mice expressing muscle-specific human LPL transgene. Much lower immunoreactivity of the endogenous mLPL was detected in skeletal muscle sections from non-transgenic mice (Bensadoun, A., et al. (2014). Biochim. Biophys. Acta. 1841(7):970-976).
Note: Clone 4-1a exhibits much weaker affinity toward rat & murine LPL when compared with human LPL. Higher amount of sample loading (in Western blotting and ELISA) and/or high sensitivity detection method (e.g. HRP polymer or fluorescence detection in Western blotting and immunohistochemistry) is recommended when using this clone for detecting rat & murine LPL.
Research Category
Signaling
Signaling
Research Sub Category
Lipid Metabolism & Weight Regulation
Lipid Metabolism & Weight Regulation
Biochem/physiol Actions
Clone 4-1a binds human and bovine LPL, as well as GPIHBP1-bound LPL, but not human hepatic lipase. Clone 4-1a does not inhibit LPL catalytic activity or LPL heparin interaction, nor does clone 4-1a compete against triglyceride-rich lipoproteins (LRLs) for bining GPIHBP1-LPL complex (Bensadoun, A., et al. (2014). Biochim. Biophys. Acta. 1841(7):970-976).
Physical form
Format: Purified
Protein G Purified
Purified mouse monoclonal IgG2aκ antibody in buffer containing 0.1 M Tris-Glycine (pH 7.4), 150 mM NaCl with 0.05% sodium azide.
Preparation Note
Stable for 1 year at 2-8°C from date of receipt.
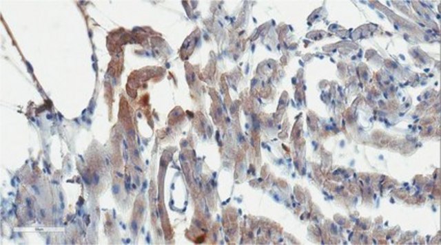
Analysis Note
Evaluated by Immunohistochemistry in mouse heart tissue.
Immunohistochemistry Analysis: A 1:50 dilution of this antibody detected lipoprotein lipase/LPL immunoreactivity in mouse heart tissue sections.
Immunohistochemistry Analysis: A 1:50 dilution of this antibody detected lipoprotein lipase/LPL immunoreactivity in mouse heart tissue sections.
Other Notes
Concentration: Please refer to lot specific datasheet.
Disclaimer
Unless otherwise stated in our catalog or other company documentation accompanying the product(s), our products are intended for research use only and are not to be used for any other purpose, which includes but is not limited to, unauthorized commercial uses, in vitro diagnostic uses, ex vivo or in vivo therapeutic uses or any type of consumption or application to humans or animals.
Still not finding the right product?
Try our Product Selector Tool to narrow your options
Storage Class
12 - Non Combustible Liquids
wgk
WGK 1
flash_point_f
Not applicable
flash_point_c
Not applicable
Certificates of Analysis (COA)
Search for Certificates of Analysis (COA) by entering the products Lot/Batch Number. Lot and Batch Numbers can be found on a product’s label following the words ‘Lot’ or ‘Batch’.
Already Own This Product?
Find documentation for the products that you have recently purchased in the Document Library.
Global Trade Item Number
| SKU | GTIN |
|---|---|
| MABS1270 | 04055977333336 |