Skip to Content
MilliporeSigma

MABN838

Sigma-Aldrich

Anti-Retinal Dehydrogenase 1/ALDH1A1 Antibody, clone 8D7.1

clone 8D7.1, from mouse

Synonym(s):

Retinal Dehydrogenase 1, RALDH 1, RalDH1, ALDH-E1, ALHDII, Aldehyde dehydrogenase family 1 member A1, Aldehyde dehydrogenase, cytosolic

Sign Into View Organizational & Contract Pricing

Select a Size


About This Item

UNSPSC Code:
12352203
eCl@ss:
32160702
NACRES:
NA.41
Technical Service
Need help? Our team of experienced scientists is here for you.
Let Us Assist
Technical Service
Need help? Our team of experienced scientists is here for you.
Let Us Assist

biological source

mouse

Quality Level

conjugate

unconjugated

antibody form

purified immunoglobulin

antibody product type

primary antibodies

clone

8D7.1, monoclonal

species reactivity

human

technique(s)

immunohistochemistry: suitable (paraffin)
western blot: suitable

isotype

IgG1κ

NCBI accession no.

UniProt accession no.

shipped in

wet ice

target post-translational modification

unmodified

Gene Information

human ... ALDH1A1(216)

General description

Retinal dehydrogenase 1 (EC 1.2.1.36; UniProt P00352; also known as Aldehyde dehydrogenase cytosolic, Aldehyde dehydrogenase family 1 member A1, ALDH-E1, ALHDII, RALDH 1, RalDH1) is encoded by the ALDH1A1 (also known as ALDC, ALDH1, PUMB1) gene (Gene ID 216) in human. ALDH1A1, ALDH1A2, and ALDH1A3 constitute the ALDH1A subfamily of aldehyde dehydrogenases that catalyze the oxidation of all-trans retinal and 9-cis retinal to all-trans retinoic acid and 9-cis retinoic acid, respectively. In addition to its role in detoxifing 4-hydroxy-2-nonenal (4-HNE) in the lens and cornea, ALDH1A1 is also involved in many other biological processes, including stem cell maintenance, UV-radiation resistance, melanogenesis, and spermatogenesis, by catalyzing the conversion of specific aldehydes to their corresponding carboxylic acids.
~55 kDa observed

Immunogen

Epitope: N-terminal
GST-tagged recombinant protein corresponding to the N-terminal of human Retinal Dehydrogenase 1/ALDH1A1.

Application

Research Category
Neuroscience
Research Sub Category
Signaling Neuroscience
This Anti-Retinal Dehydrogenase 1/ALDH1A1 Antibody, clone 8D7.1 is validated for use in Western Blotting and Immunohistochemistry (Paraffin) for the detection of Retinal Dehydrogenase 1/ALDH1A1.
Western Blotting Analysis: 1.0 µg/mL from a representative lot detected Retinal Dehydrogenase 1/ALDH1A1 in 10 µg of human cerebellum tissue lysate.
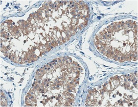
Immunohistochemistry Analysis: A 1:250 dilution from a representative lot detected Retinal Dehydrogenase 1/ALDH1A1 in human testis tissue.

Physical form

Format: Purified
Protein G Purified
Purified mouse monoclonal IgG1k antibody in buffer containing 0.1 M Tris-Glycine (pH 7.4), 150 mM NaCl with 0.05% sodium azide.

Preparation Note

Stable for 1 year at 2-8°C from date of receipt.

Analysis Note

Evaluated by Western Blotting in HepG2 cell lysate.

Western Blotting Analysis: 1.0 µg/mL of this antibody detected Retinal Dehydrogenase 1/ALDH1A1 in 10 µg of HepG2 cell lysate.

Other Notes

Concentration: Please refer to lot specific datasheet.

Disclaimer

Unless otherwise stated in our catalog or other company documentation accompanying the product(s), our products are intended for research use only and are not to be used for any other purpose, which includes but is not limited to, unauthorized commercial uses, in vitro diagnostic uses, ex vivo or in vivo therapeutic uses or any type of consumption or application to humans or animals.

Not finding the right product?  

Try our Product Selector Tool.

Storage Class

12 - Non Combustible Liquids

wgk_germany

WGK 1

flash_point_f

Not applicable

flash_point_c

Not applicable


Certificates of Analysis (COA)

Search for Certificates of Analysis (COA) by entering the products Lot/Batch Number. Lot and Batch Numbers can be found on a product’s label following the words ‘Lot’ or ‘Batch’.

Already Own This Product?

Find documentation for the products that you have recently purchased in the Document Library.

Visit the Document Library

Related Content

"Mods – modifications – small alterations can have a big impact on form and function. In the motorsports world, stock vehicles are modified to enhance their performance. Modifications, or mods, to the engine, drive train, intake and exhaust components add up to provide phenomenal performance gains that can be measured as horsepower and torque increases, which yield a competitive advantage, and result in reduced run times. In biology, proteins undergo modifications that alter their function. Some proteins require the modifications in order to perform their function effectively, whether it’s a pro-protein that is cleaved to produce an active enzyme, or a protein that is phosphorylated to facilitate a signaling process. Other proteins, such as histones, undergo modifications that regulate gene expression and alter cellular function. There are several post translational modifications such as acetylation, methylation, phosphorylation, and ubiquitination that impact protein function and activity. As a result, the analysis of proteins and their post-translational modifications are particularly important for the study of normal and disease-associated processes. New antibodies to detect phospho Histidines are now available from EMD Millipore."

Our team of scientists has experience in all areas of research including Life Science, Material Science, Chemical Synthesis, Chromatography, Analytical and many others.

Contact Technical Service