Skip to Content
MilliporeSigma

MABN685

Sigma-Aldrich

Anti-KDM4A Antibody, clone5H1

ascites fluid, clone 5H1, from mouse

Synonym(s):

Lysine-specific demethylase 4A, JmjC domain-containing histone demethylation protein 3A, Jumonji domain-containing protein 2A, KDM4A

Sign Into View Organizational & Contract Pricing

Select a Size


About This Item

UNSPSC Code:
12352203
eCl@ss:
32160702
NACRES:
NA.41
Technical Service
Need help? Our team of experienced scientists is here for you.
Let Us Assist
Technical Service
Need help? Our team of experienced scientists is here for you.
Let Us Assist

biological source

mouse

Quality Level

conjugate

unconjugated

antibody form

ascites fluid

antibody product type

primary antibodies

clone

5H1, monoclonal

species reactivity

human

technique(s)

immunofluorescence: suitable
immunohistochemistry: suitable
western blot: suitable

isotype

IgG1

UniProt accession no.

shipped in

wet ice

target post-translational modification

unmodified

Gene Information

human ... KDM4A(9682)

General description

Lysine methylation of histones is associated with both transcriptionally active chromatin and with silent chromatin, depending on what residue is modified. Histone methyltransferases and demethylases ensure that histone methylations are dynamic and can vary depending on cell cycle or developmental stage. KDM4A demethylates H3K36me3, a modification enriched in the 3′ end of active genes. KDM4A is also known as Lysine-specific demethylase 4A or JmjC domain-containing histone demethylation protein 3A, or Jumonji domain-containing protein 2A, and is encoded by the human gene named KDM4A/JHDM3A/JMJD2/JMJD2A/KIAA0677. KDM4A is the histone demethylase that specifically demethylates ′Lys-9′ and ′Lys-36′ residues of histone H3, thereby playing a central role in histone gene repression, and KDM4A functions as a trimethylation-specific demethylase, converting specific trimethylated histone residues to the dimethylated forms. KDM4A does not demethylate histone H3 ′Lys-4′, H3 ′Lys-27′ nor H4 ′Lys-20′, but KDM4A does demethylate trimethylated H3 ′Lys-9′ and H3 ′Lys-36′ residues, while it has no activity on mono- and dimethylated residues. KDM4A also plays a critical role in muscle differentiation as demethylation of various targets allows influences the expression of the Myog gene family critical in muscle cell development. KDMA4A also interacts with histone deacetylases HDAC1, HDAC2, and HCAC3. It is localized in the nucleus and widely expressed. KDM4A’s own levels are mediated via ubiquitination and proteasome degradation. EMD-Millipore’s Anti-KDM4A mouse monoclonal antibody has been tested in western blot on HEK293 and KDM4A transfected HEK293 cell lysates and in paraffin embedded immunohistochemistry on human colon and larynx cancer tissues and in fluorescent immunocytochemistry on NTERA-2 cells in culture.
~72 kDa observed

Immunogen

Purified recombinant fragment of human KDM4A expressed in E. Coli.

Application

Anti-KDM4A Antibody, clone5H1 is a highly specific mouse monoclonal antibody, that targets Jumonji domain-containing protein (JMJD) & has been tested in western blotting, IHC & Immunofluorescence.
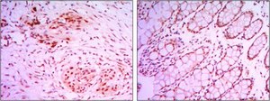
Immunohistochemistry Analysis: A 1:200-1,000 dilution from a representative lot detected KDM4A in human colon cancer and larynx cancer tissues.

Immunofluorescence Analysis: A 1:200-1,000 dilution from a representative lot detected KDM4A in NTERA-2 cells.

Optimal working dilutions must be determined by end user.

Analysis Note

Control
HEK293 and KDM4A-hIgGFc transfected HEK293 cell lysates
Evaluated by Western Blotting in HEK293 and KDM4A-hIgGFc transfected HEK293 cell lysates.

Western Blotting Analysis: A 1:500-2,000 dilution of this antibody detected KDM4A-hIgGFc transfected HEK293 cell lysates.

Not finding the right product?  

Try our Product Selector Tool.

Storage Class

12 - Non Combustible Liquids

wgk_germany

nwg

flash_point_f

Not applicable

flash_point_c

Not applicable


Certificates of Analysis (COA)

Search for Certificates of Analysis (COA) by entering the products Lot/Batch Number. Lot and Batch Numbers can be found on a product’s label following the words ‘Lot’ or ‘Batch’.

Already Own This Product?

Find documentation for the products that you have recently purchased in the Document Library.

Visit the Document Library

Jialiang Shao et al.
The EMBO journal, 40(20), e107480-e107480 (2021-07-17)
The mTORC1 pathway plays key roles in regulating various biological processes, including sensing amino acid deprivation and driving expression of ribosomal protein (RP)-coding genes. In this study, we observed that depletion of glutamate dehydrogenase 1 (GDH1), an enzyme that converts

Our team of scientists has experience in all areas of research including Life Science, Material Science, Chemical Synthesis, Chromatography, Analytical and many others.

Contact Technical Service