Skip to Content
MilliporeSigma

MABN627

Sigma-Aldrich

Anti-SDHB Antibody, clone 10C5.1

clone 10C5.1, from mouse

Synonym(s):

Succinate dehydrogenase [ubiquinone] iron-sulfur subunit, mitochondrial, SDHB, Iron-sulfur subunit of complex II, Ip

Sign Into View Organizational & Contract Pricing

Select a Size


About This Item

UNSPSC Code:
12352203
eCl@ss:
32160702
NACRES:
NA.43
Technical Service
Need help? Our team of experienced scientists is here for you.
Let Us Assist
Technical Service
Need help? Our team of experienced scientists is here for you.
Let Us Assist

biological source

mouse

Quality Level

conjugate

unconjugated

antibody form

purified immunoglobulin

antibody product type

primary antibodies

clone

10C5.1, monoclonal

species reactivity

human, mouse

technique(s)

immunohistochemistry: suitable (paraffin)
western blot: suitable

isotype

IgG2aκ

NCBI accession no.

UniProt accession no.

shipped in

wet ice

target post-translational modification

unmodified

Gene Information

human ... SDHB(6390)

General description

Succinate dehydrogenase [ubiquinone] iron-sulfur subunit, mitochondrial (EC 1.3.5.1; UniProt P21912; also known as Ip, Iron-sulfur subunit of complex II) is encoded by the SDHB (also known as IP, SDH, CWS2, PGL4, SDH1, SDHIP) gene (Gene ID 6390) in human. Originally described by Otto Warburg and now commonly known as the Warburg effect refers to the phenomenon that many tumor cells use aerobic glycolysis instead of mitochondrial respiration for energy production to support cell growth and proliferation. Enzymes involved in the complex network of metabolic pathways are therefore being studied as potential cancer markers and targets for treatment. Succinate dehydrogenase (SDH), also known as mitochondrial respiratory Complex II, is a holoenzyme consisting of four essential subunits, SDHA (a flavoprotein), SDHB (iron-sulfur protein), and two membrane anchor units SDHC and SDHD. SDH assembly requires two factors, SDHAF1 and SDHAF2, while its function is influenced by the deacetylase activity of SIRT3. SDH is the only enzyme complex known to participate in both the TCA cycle and electron transport chain (ETC.). SDH catalyzes the oxidation of succinate in the TCA to form fumarate, a reaction that is coupled to the reduction of ubiquinone to ubiquinol in the ETC. SDH loss-of-function mutations have been linked to pheochromocytoma (PCC), paraganglioma (PGL), gastrointestinal stromal tumor (GIST), renal cell carcinoma, and ovarian cancer.
~30 kDa observed

Immunogen

Epitope: C-terminal half
GST-tagged recombinant protein corresponding to the C-terminal half of human SDHB.

Application

Anti-SDHB Antibody, clone 10C5.1 is an antibody against SDHB for use in Western Blotting, Immunohistochemistry (Paraffin).
Research Category
Neuroscience
Research Sub Category
Developmental Neuroscience
Western Blotting Analysis: 0.5 µg/mL from a representative lot detected SDHB in 10 µg of Jurkat cell lysate.
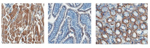
Immunohistochemistry Analysis: A 1:1,000 dilution from a representative lot detected SDHB in human heart, human small intestine, and mouse kidney tissue.

Physical form

Format: Purified
Protein G Purified
Purified mouse monoclonal IgG2aκ antibody in buffer containing 0.1 M Tris-Glycine (pH 7.4), 150 mM NaCl with 0.05% sodium azide.

Preparation Note

Stable for 1 year at 2-8°C from date of receipt.

Analysis Note

Evaluated by Western Blotting in HEK293 cell lysate.

Western Blotting Analysis: 0.5 µg/mL of this antibody detected SDHB in 10 µg of HEK293 cell lysate.

Other Notes

Concentration: Please refer to lot specific datasheet.

Disclaimer

Unless otherwise stated in our catalog or other company documentation accompanying the product(s), our products are intended for research use only and are not to be used for any other purpose, which includes but is not limited to, unauthorized commercial uses, in vitro diagnostic uses, ex vivo or in vivo therapeutic uses or any type of consumption or application to humans or animals.

Not finding the right product?  

Try our Product Selector Tool.

Storage Class

12 - Non Combustible Liquids

wgk_germany

WGK 1

flash_point_f

Not applicable

flash_point_c

Not applicable


Certificates of Analysis (COA)

Search for Certificates of Analysis (COA) by entering the products Lot/Batch Number. Lot and Batch Numbers can be found on a product’s label following the words ‘Lot’ or ‘Batch’.

Already Own This Product?

Find documentation for the products that you have recently purchased in the Document Library.

Visit the Document Library

Related Content

Alzheimer’s Disease is a progressively deteriorating disease. It manifests itself with memory loss, confusion, problems with judgment, planning, concentration, and personality changes; and in it’s later stages, a decline in physical abilities. The disease’s causes, cures, and preventions are unknown; however, key proteins likely involved in the degenerative mechanism have been identified. Alzheimer’s Disease is characterized by neuronal loss, alterations in neurotransmitter systems, and the presence of neurofibrillary tangles composed of abnormally hyperphosphorylated tau proteins. A prominent feature of Alzheimer’s Disease is the formation of senile plaques in selected regions of the brain. The center of these plaques are composed mainly of fibrillary aggregates of a common, but not well understood, b amyloid peptides (Aβ). The Aβ peptides are generated from the larger amyloid-β precursor protein (APP) by the sequential action of β- and γ-secretase, and it is generally accepted that oligomeric forms of this Aβ are neurotoxic, resulting in disease progression.

Our team of scientists has experience in all areas of research including Life Science, Material Science, Chemical Synthesis, Chromatography, Analytical and many others.

Contact Technical Service