Skip to Content
MilliporeSigma

MABN293

Sigma-Aldrich

Anti-Peripherin-2 Antibody, clone 6B10.1

clone 6B10.1, from mouse

Synonym(s):

Peripherin-2, Retinal degeneration slow protein, Tetraspanin-22, Tspan-22

Sign Into View Organizational & Contract Pricing

Select a Size


About This Item

UNSPSC Code:
12352203
eCl@ss:
32160702
NACRES:
NA.41
Technical Service
Need help? Our team of experienced scientists is here for you.
Let Us Assist
Technical Service
Need help? Our team of experienced scientists is here for you.
Let Us Assist

biological source

mouse

Quality Level

conjugate

unconjugated

antibody form

purified immunoglobulin

antibody product type

primary antibodies

clone

6B10.1, monoclonal

species reactivity

mouse, rat, human

technique(s)

immunohistochemistry: suitable
western blot: suitable

isotype

IgG1κ

NCBI accession no.

UniProt accession no.

shipped in

wet ice

target post-translational modification

unmodified

Gene Information

human ... PRPH2(5961)

General description

Peripherin-2 (PRPH2) is also called Retinal degeneration slow protein (RDS) and Tetraspanin-22 (Tspan-22). Peripherin-2 is a critical factor in ocular disk morphogenesis and possibly functions as an adhesion molecule helping to stabilize and compact outer segment disks, to help maintain curvature of the rim. Peripherin-2 is expressed in the photoreceptors of the retina and in the rim of rod outer segment (ROS) disks. Peripherin-2 defects are found in different retinal diseases including cone-rod dystrophy, retinitis pigmentosa, and macular degeneration.
~35 kDa observed

Immunogen

Epitope: Cytoplasmic domain
GST-tagged recombinant protein corresponding to the cytoplasmic domain of human Peripherin-2.

Application

Anti-Peripherin-2 Antibody, clone 6B10.1 is a highly specific mouse monoclonal antibody, that targets Peripherin & has been tested in western blotting & IHC.
Research Category
Neuroscience
Research Sub Category
Developmental Signaling
Western Blotting Analysis: A 1:1,000 dilution from a representative lot detected Peripherin-2 in 10 µg of human retina tissue lysate.
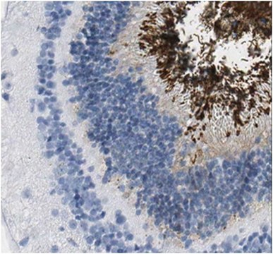
Immunohistochemistry Analysis: A 1:2,000 dilution from a representative lot detected Peripherin-2 in human retina tissue.

Physical form

Format: Purified
Protein G Purified
Purified mouse monoclonal IgG1κ in buffer containing 0.1 M Tris-Glycine (pH 7.4), 150 mM NaCl with 0.05% sodium azide.

Preparation Note

Stable for 1 year at 2-8°C from date of receipt.

Analysis Note

Evaluated by Western Blotting in mouse eye tissue lysate.

Western Blotting Analysis: A 1:1,000 dilution of this antibody detected Peripherin-2 in 10 µg of mouse eye tissue lysate.

Disclaimer

Unless otherwise stated in our catalog or other company documentation accompanying the product(s), our products are intended for research use only and are not to be used for any other purpose, which includes but is not limited to, unauthorized commercial uses, in vitro diagnostic uses, ex vivo or in vivo therapeutic uses or any type of consumption or application to humans or animals.

Not finding the right product?  

Try our Product Selector Tool.

Storage Class

12 - Non Combustible Liquids

wgk_germany

WGK 1

flash_point_f

Not applicable

flash_point_c

Not applicable


Certificates of Analysis (COA)

Search for Certificates of Analysis (COA) by entering the products Lot/Batch Number. Lot and Batch Numbers can be found on a product’s label following the words ‘Lot’ or ‘Batch’.

Already Own This Product?

Find documentation for the products that you have recently purchased in the Document Library.

Visit the Document Library

Kai Yao et al.
Nature, 560(7719), 484-488 (2018-08-17)
In zebrafish, Müller glia (MG) are a source of retinal stem cells that can replenish damaged retinal neurons and restore vision1. In mammals, however, MG do not spontaneously re-enter the cell cycle to generate a population of stem or progenitor
Katie L Bales et al.
Investigative ophthalmology & visual science, 61(10), 17-17 (2020-08-11)
To identify the role of the BBSome protein Bardet-Biedl syndrome 5 (BBS5) in photoreceptor function, protein trafficking, and structure using a congenital mutant mouse model. Bbs5-/- mice (2 and 9 months old) were used to assess retinal function and morphology.
Suguru Yamasaki et al.
iScience, 25(1), 103657-103657 (2022-01-14)
Pluripotent stem cell (PSC)-derived retinal sheet transplanted in vivo can form structured photoreceptor layers, contact with host bipolar cells, and transmit light signals to host retinas. However, a major concern is the presence of graft bipolar cells that may impede host-graft

Our team of scientists has experience in all areas of research including Life Science, Material Science, Chemical Synthesis, Chromatography, Analytical and many others.

Contact Technical Service