Skip to Content
MilliporeSigma

MABN1727

Sigma-Aldrich

Anti-Beta-IV spectrin Antibody, clone N393/76

clone N393/76, from mouse

Synonym(s):

Spectrin beta chain, non-erythrocytic 4, Spectrin, non-erythroid beta chain 3

Sign Into View Organizational & Contract Pricing

Select a Size


About This Item

UNSPSC Code:
12352203
eCl@ss:
32160702
NACRES:
NA.43
Technical Service
Need help? Our team of experienced scientists is here for you.
Let Us Assist
Technical Service
Need help? Our team of experienced scientists is here for you.
Let Us Assist

biological source

mouse

Quality Level

conjugate

unconjugated

antibody form

purified immunoglobulin

antibody product type

primary antibodies

clone

N393/76, monoclonal

species reactivity

human, rat

species reactivity (predicted by homology)

mouse (based on 100% sequence homology)

technique(s)

immunohistochemistry (formalin-fixed, paraffin-embedded sections): suitable
western blot: suitable

isotype

IgG2bκ

NCBI accession no.

UniProt accession no.

shipped in

ambient

target post-translational modification

unmodified

Gene Information

human ... SPTBN1(6711)

General description

288.98 kDa calculated.
Spectrin beta chain, non-erythrocytic 4 (UniProt: Q9H254; also known as Beta-IV spectrin, Spectrin, non-erythroid beta chain 3) is encoded by the SPTBN4 (also known as KIAA1642, SPTBN3) gene (Gene ID: 57731) in human. Beta-IV Spectrin belongs to the spectrin family of proteins and is abundantly expressed in brain and pancreatic islets. It belongs to the spectrin family of proteins and contains two CH (calponin-homology) domains, one PH domain, and 18 spectrin repeats. It has been isolated as an interactor of the receptor tyrosine phosphatase ICA512. Spectrin molecule is assembled as a tetramer of two alpha and two beta subunits. A tight association between the amino-terminal domain of an alpha subunit and the carboxyl-terminal domain of a beta subunit forms a heterodimer. In brain, beta-IV Spectrin co-localizes with ankyrin-G 480/270-kDa at initial segments and nodes of Ranvier of myelinated neurons. In brain its highest expression is observed in the cell bodies of large myelinated neurons. It is not detected in non-neuronal cells, including glial and endothelial cells.Beta-IV Spectrin along with ankyrin-G is required for the anchoring of voltage-gated Na+ channels and for cell adhesion molecule anchoring to the actin cytoskeleton. (Ref.: Berghs, S et al. (2000). J. Cell Biol. 151(5): 985-1002).

Immunogen

A recombinant fusion fragment corresponding to 192 amino acids from the C-terminal half of human beta-IV spectrin.

Application

Anti-Beta-IV spectrin Antibody, clone N393/76, Cat. No. MABN1727, is a highly specific mouse monoclonal antibody that targets beta-IV spectrin and has been tested in Immunohistochemistry (Paraffin) and Western Blotting.
Immunohistochemistry Analysis: A 1:50 dilution from a representative lot detected beta-IV spectrin in human pancreas, human cervical cancer, and human uterus tissue.

Western Blotting Analysis: A representative lot detected beta-IV spectrin in COS cells transiently transfected with Myc-tagged beta 4-spectrin.

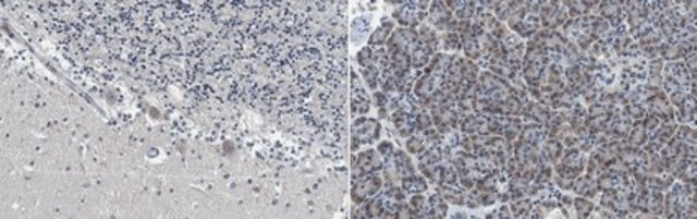
Immunohistochemistry Analysis: A representative lot detected beta-IV spectrin in rat cerebral cortex and hippocampus tissues.
Research Category
Neuroscience

Biochem/physiol Actions

Clone N393/76 specifically detects human and rat beta-IV Spectrin by immunohistochemistry. it targets a sequence within 192 amino acids in the C-terminal half of human beta-IV Spectrin.

Physical form

Format: Purified
Protein G purified
Purified mouse monoclonal antibody IgG2b in buffer containing 0.1 M Tris-Glycine (pH 7.4), 150 mM NaCl with 0.05% sodium azide.

Preparation Note

Stable for 1 year at 2-8°C from date of receipt.

Analysis Note

Evaluated by Immunohistochemistry in human cerebellum tissue.

Immunohistochemistry Analysis: A 1:50 dilution of this antibody detected beta-IV spectrin in human cerebellum tissue.

Other Notes

Concentration: Please refer to lot specific datasheet.

Disclaimer

Unless otherwise stated in our catalog or other company documentation accompanying the product(s), our products are intended for research use only and are not to be used for any other purpose, which includes but is not limited to, unauthorized commercial uses, in vitro diagnostic uses, ex vivo or in vivo therapeutic uses or any type of consumption or application to humans or animals.

Not finding the right product?  

Try our Product Selector Tool.

Storage Class

12 - Non Combustible Liquids

wgk_germany

WGK 1


Certificates of Analysis (COA)

Search for Certificates of Analysis (COA) by entering the products Lot/Batch Number. Lot and Batch Numbers can be found on a product’s label following the words ‘Lot’ or ‘Batch’.

Already Own This Product?

Find documentation for the products that you have recently purchased in the Document Library.

Visit the Document Library

Our team of scientists has experience in all areas of research including Life Science, Material Science, Chemical Synthesis, Chromatography, Analytical and many others.

Contact Technical Service