Skip to Content
MilliporeSigma

MABN130

Sigma-Aldrich

Anti-SQSTM1 Antibody, clone 20F1.1

clone 20F1.1, from mouse

Synonym(s):

Sequestosome-1, EBI3-associated protein of 60 kDa, EBIAP, p60, Phosphotyrosine-independent ligand for the Lck SH2 domain of 62 kDa, Ubiquitin-binding protein p62

Sign Into View Organizational & Contract Pricing

Select a Size


About This Item

UNSPSC Code:
12352203
eCl@ss:
32160702
NACRES:
NA.41
Technical Service
Need help? Our team of experienced scientists is here for you.
Let Us Assist
Technical Service
Need help? Our team of experienced scientists is here for you.
Let Us Assist

biological source

mouse

Quality Level

conjugate

unconjugated

antibody form

purified antibody

antibody product type

primary antibodies

clone

20F1.1, monoclonal

species reactivity

human, rat

technique(s)

immunohistochemistry: suitable
western blot: suitable

isotype

IgG2aκ

NCBI accession no.

UniProt accession no.

shipped in

wet ice

target post-translational modification

unmodified

Gene Information

human ... SQSTM1(8878)

General description

Ubiquitin-binding protein p62, also known as Sequestosome-1 (SQSTM1), is a multifunctional protein that binds ubiquitin and regulates activation of the nuclear factor kappa-B (NF-κB) signaling pathway. The protein functions as a scaffolding/adaptor protein in concert with TNF receptor-associated factor 6 to mediate activation of NF-κB in response to upstream signals. Defects in p62/SQSTM1 are a cause of Paget disease of bone (PDB), a metabolic bone disease affecting the axial skeleton and characterized by focal areas of increased and disorganized bone turn-over due to activated osteoclasts
~60 kDa observed

Immunogen

GST-tagged recombinant protein corresponding to human SQSTM1.

Application

Anti-SQSTM1 Antibody, clone 20F1.1 is a highly specific mouse monoclonal antibody, that targets p62 & has been tested in western blotting & IHC.
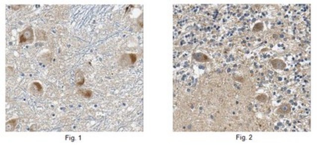
Immunohistochemistry Analysis: A 1:50 dilution from a representative lot detected SQSTM1 in human thalamus and human cerebellum tissue.
Research Category
Neuroscience
Research Sub Category
Developmental Signaling

Physical form

Format: Purified
Protein G Purified
Purified mouse monoclonal IgG2aκ in buffer containing 0.1 M Tris-Glycine (pH 7.4), 150 mM NaCl with 0.05% sodium azide.

Preparation Note

Stable for 1 year at 2-8°C from date of receipt.

Analysis Note

Control
Rat brain tissue lysate
Evaluated by Western Blotting in rat brain tissue lysate.

Western Blotting Analysis: 1.0 µg/mL of this antibody detected SQSTM1 in 10 µg of rat brain tissue lysate.

Other Notes

Concentration: Please refer to the Certificate of Analysis for the lot-specific concentration.

Disclaimer

Unless otherwise stated in our catalog or other company documentation accompanying the product(s), our products are intended for research use only and are not to be used for any other purpose, which includes but is not limited to, unauthorized commercial uses, in vitro diagnostic uses, ex vivo or in vivo therapeutic uses or any type of consumption or application to humans or animals.

Not finding the right product?  

Try our Product Selector Tool.

Storage Class

12 - Non Combustible Liquids

wgk_germany

WGK 1

flash_point_f

Not applicable

flash_point_c

Not applicable


Certificates of Analysis (COA)

Search for Certificates of Analysis (COA) by entering the products Lot/Batch Number. Lot and Batch Numbers can be found on a product’s label following the words ‘Lot’ or ‘Batch’.

Already Own This Product?

Find documentation for the products that you have recently purchased in the Document Library.

Visit the Document Library

Our team of scientists has experience in all areas of research including Life Science, Material Science, Chemical Synthesis, Chromatography, Analytical and many others.

Contact Technical Service