Skip to Content
MilliporeSigma

MABF81

Sigma-Aldrich

Anti-ROR gamma T Antibody, clone 6F3.1

clone 6F3.1, from mouse

Synonym(s):

Nuclear receptor ROR-gamma, Nuclear receptor RZR-gamma, Nuclear receptor subfamily 1 group F member 3, Retinoid-related orphan receptor-gamma

Sign Into View Organizational & Contract Pricing

Select a Size


About This Item

UNSPSC Code:
12352203
eCl@ss:
32160702
NACRES:
NA.41
Technical Service
Need help? Our team of experienced scientists is here for you.
Let Us Assist
Technical Service
Need help? Our team of experienced scientists is here for you.
Let Us Assist

biological source

mouse

Quality Level

conjugate

unconjugated

antibody form

purified immunoglobulin

antibody product type

primary antibodies

clone

6F3.1, monoclonal

species reactivity

human

technique(s)

immunohistochemistry: suitable
western blot: suitable

isotype

IgG2aκ

NCBI accession no.

UniProt accession no.

shipped in

wet ice

target post-translational modification

unmodified

Gene Information

human ... RORC (6097)

General description

Retinoid-related orphan receptor-gamma t (RORγT) is one of two RORγ isoforms belonging to the nuclear hormone receptor family and contains a single nuclear receptor DNA-binding domain. RORγT is a negative regulator of TNFDF6/FASL expression and T-cell production of IL2. The upregulation of RORγT is a requirement for TH17 cell differentiation. Inhibition of RORγT is induced by TGF-β’s interaction with Foxp3. Expression is observed mainly in immature thymocytes, and, during fetal development, is found exclusively in lymphoid-inducer (LTi) cells.
~55 kDa observed. Two isoforms at ~55 kDa and ~58 kDa may be observed in some cell lysates.

Immunogen

GST-tagged recombinant protein corresponding to human ROR gamma T.

Application

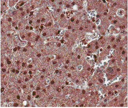
Immunohistochemistry Analysis: A 1:50 dilution of this antibody detected ROR gamma T in normal human liver tissues.
Research Category
Inflammation & Immunology
Research Sub Category
Inflammation & Autoimmune Mechanisms
This Anti-ROR gamma T Antibody, clone 6F3.1 is validated for use in WB, IH for the detection of ROR gamma T.

Physical form

Format: Purified
Protein G Purified
Purified mouse monoclonal IgG2aκ in buffer containing 0.1 M Tris-Glycine (pH 7.4), 150 mM NaCl with 0.05% sodium azide.

Preparation Note

Stable for 1 year at 2-8°C from date of receipt.

Analysis Note

Control
T47D cell lysate
Evaluted in Western Blot in T47D cell lysate.

Western Blot Analysis: 1 µg/mL of this antibody detected ROR gamma T in 10 µg of T47D cell lysate.

Other Notes

Concentration: Please refer to the Certificate of Analysis for the lot-specific concentration.

Disclaimer

Unless otherwise stated in our catalog or other company documentation accompanying the product(s), our products are intended for research use only and are not to be used for any other purpose, which includes but is not limited to, unauthorized commercial uses, in vitro diagnostic uses, ex vivo or in vivo therapeutic uses or any type of consumption or application to humans or animals.

Not finding the right product?  

Try our Product Selector Tool.

Storage Class

12 - Non Combustible Liquids

wgk_germany

WGK 1

flash_point_f

Not applicable

flash_point_c

Not applicable


Certificates of Analysis (COA)

Search for Certificates of Analysis (COA) by entering the products Lot/Batch Number. Lot and Batch Numbers can be found on a product’s label following the words ‘Lot’ or ‘Batch’.

Already Own This Product?

Find documentation for the products that you have recently purchased in the Document Library.

Visit the Document Library

Atsuyo Ikeda et al.
Cancer immunology research, 8(6), 724-731 (2020-04-02)
Innate lymphoid cells (ILC) are responsible for mucosal tissue homeostasis and are involved in the progression and suppression of several types of cancer. However, the effects of ILCs on colorectal cancer are poorly understood. We characterized human ILCs in normal
Hiroki Kanno et al.
Cancer science, 111(8), 3032-3044 (2020-05-26)
Tumor location and immunity play important roles in the progression of colorectal cancer (CRC). This study aimed to investigate the differences in the immunosurveillance pattern between right- and left-sided CRC and analyze their association with clinicopathologic features, including mismatch repair
D Croxatto et al.
Mucosal immunology, 9(6), 1372-1383 (2016-02-26)
Innate lymphoid cells (ILCs) have a central role in innate defenses against pathogens, lymphoid organogenesis, and tissue remodeling. They have been detected in human decidua, however, their role in this tissue remains unclear. Successful pregnancy requires an early inflammatory phase
Tae Gyu Oh et al.
EBioMedicine, 6, 59-72 (2016-05-24)
We have previously reported that RORγ expression was decreased in ER-ve breast cancer, and increased expression improves clinical outcomes. However, the underlying RORγ dependent mechanisms that repress breast carcinogenesis have not been elucidated. Here we report that RORγ negatively regulates
Zhi Li et al.
Nature communications, 7, 11394-11394 (2016-04-22)
Notch has a well-defined role in controlling cell fate decisions in the embryo and the adult epidermis and immune systems, yet emerging evidence suggests Notch also directs non-cell-autonomous signalling in adult tissues. Here, we show that Notch1 works as a

Our team of scientists has experience in all areas of research including Life Science, Material Science, Chemical Synthesis, Chromatography, Analytical and many others.

Contact Technical Service