Skip to Content
MilliporeSigma

MABF2071

Sigma-Aldrich

Anti-PLVAP Antibody, clone MECA-32

clone MECA-32, from rat

Synonym(s):

Plasmalemma vesicle-associated protein, MECA-32 antigen, Plasmalemma vesicle protein 1, PV-1

Sign Into View Organizational & Contract Pricing

Select a Size


About This Item

UNSPSC Code:
12352203
eCl@ss:
32160702
NACRES:
NA.41
Technical Service
Need help? Our team of experienced scientists is here for you.
Let Us Assist
Technical Service
Need help? Our team of experienced scientists is here for you.
Let Us Assist

biological source

rat

Quality Level

conjugate

unconjugated

antibody form

purified immunoglobulin

antibody product type

primary antibodies

clone

MECA-32, monoclonal

species reactivity

mouse

species reactivity (predicted by homology)

human (based on 100% sequence homology)

packaging

antibody small pack of 25 μg

technique(s)

immunohistochemistry: suitable (paraffin)
immunoprecipitation (IP): suitable
western blot: suitable

isotype

IgG2aκ

NCBI accession no.

UniProt accession no.

target post-translational modification

unmodified

Gene Information

human ... PLVAP(83483)
mouse ... Plvap(84094)

Related Categories

General description

50- 55 kDa observed; 49.93 kDa calculated. Uncharacterized bands may be observed in some lysate(s).
Plasmalemma vesicle-associated protein (UniProt: Q91VC4; also known as MECA-32 antigen, Plasmalemma vesicle protein 1, PV-1) is encoded by the Plvap (also known as Pv1) gene (Gene ID: 84094) in murine species. MECA-32 is a single-pass type II membrane protein that is involved in the formation of stomatal and fenestral diaphragms of caveolae and may also function in microvascular permeability. It is expressed in lung, kidney, spleen, heart, muscle, eye, pancreas, thyroid, thymus, submaxillary gland, prostate, epididymis, uterus, and liver. MECA-32 contains three coiled coil regions (aa 140-160; 189-224; and 281-383). It has a short cytoplasmic domain (aa 1-26), a transmembrane domain (aa 27-47), and a long extracellular domain (aa 48-438). In mouse embryo it is expressed at 7 days post coitum (dpc). Its expression in the brain its expression is negatively correlated with the differentiation of the vasculature to form the blood brain barrier. Between 12 to 16 dpc higher expression is observed in endothelial cell surfaces of blood vessels in the brain. (Ref.: Hallmann, R., et al. (1995). Dev. Dynamics. 202; 525-332).

Immunogen

Mouse lymph node stromal cells.

Application

Anti-PLVAP, clone MECA-32, Cat. No. MABF2071, is a rat monoclonal antibody tht detects Plasmalemma vesicle-associated protein (PV_1) and has been tested for use in Immunohistochemistry (Paraffin), Immunoprecipitation, and Western Blotting.
Immunohistochemistry Analysis: A representative lot detected PLVAP in Immunohistochemistry applications (Tanneau, G.M., et. al. (1999). J Histochem Cytochem. 47(12):1581-92; Hallmann, R., et. al. (1995). Dev Dyn. 202(4):325-32).

Immunohistochemistry Analysis: A representative lot detected PLVAP in Immunohistochemistry applications (Kopp, H.G., et. al. (2005). Blood. 106(2):505-13).

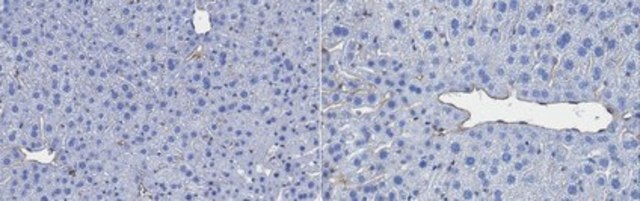
Immunohistochemistry Analysis: A 1:50 dilution from a representative lot detected PLVAP in mouse liver tissue.

Immunoprecipitation Analysis: A representative lot detected PLVAP in Immunoprecipitation applications (Hallmann, R., et. al. (1995). Dev Dyn. 202(4):325-32).

Western Blotting Analysis: A representative lot detected PLVAP in Western Blotting applications (Hallmann, R., et. al. (1995). Dev Dyn. 202(4):325-32).
Research Category
Inflammation & Immunology

Biochem/physiol Actions

Clone MECA-32 is a rat monoclonal antibody that detects Plasmalemma vesicle-associated protein (PLVAP) in murine species.

Physical form

Format: Purified
Protein G purified
Purified rat monoclonal antibody IgG2a in buffer containing 0.1 M Tris-Glycine (pH 7.4), 150 mM NaCl with 0.05% sodium azide.

Preparation Note

Stable for 1 year at 2-8°C from date of receipt.

Analysis Note

Evaluated by Western Blotting in mouse kidney tissue lysate.

Western Blotting Analysis: 1 µg/mL of this antibody detected PLVAP in mouse kidney tissue lysate.

Other Notes

Concentration: Please refer to lot specific datasheet.

Disclaimer

Unless otherwise stated in our catalog or other company documentation accompanying the product(s), our products are intended for research use only and are not to be used for any other purpose, which includes but is not limited to, unauthorized commercial uses, in vitro diagnostic uses, ex vivo or in vivo therapeutic uses or any type of consumption or application to humans or animals.

Not finding the right product?  

Try our Product Selector Tool.


Certificates of Analysis (COA)

Search for Certificates of Analysis (COA) by entering the products Lot/Batch Number. Lot and Batch Numbers can be found on a product’s label following the words ‘Lot’ or ‘Batch’.

Already Own This Product?

Find documentation for the products that you have recently purchased in the Document Library.

Visit the Document Library

Our team of scientists has experience in all areas of research including Life Science, Material Science, Chemical Synthesis, Chromatography, Analytical and many others.

Contact Technical Service