Skip to Content
MilliporeSigma

MABE570

Sigma-Aldrich

Anti-N-CoR1, clone 7A7A9 Antibody

ascites fluid, clone 7A7A9, from mouse

Synonym(s):

Nuclear receptor corepressor 1, N-CoR, N-CoR1

Sign Into View Organizational & Contract Pricing

Select a Size


About This Item

UNSPSC Code:
12352203
eCl@ss:
32160702
NACRES:
NA.41
Technical Service
Need help? Our team of experienced scientists is here for you.
Let Us Assist
Technical Service
Need help? Our team of experienced scientists is here for you.
Let Us Assist

biological source

mouse

Quality Level

conjugate

unconjugated

antibody form

ascites fluid

antibody product type

primary antibodies

clone

7A7A9, monoclonal

species reactivity

human

technique(s)

immunohistochemistry: suitable

isotype

IgG1

UniProt accession no.

shipped in

wet ice

target post-translational modification

unmodified

Gene Information

human ... NCOR1(9611)

General description

270 kDa calculated
Nuclear receptor corepressor 1 (N-CoR or N-CoR1), and encoded by the gene name NCOR, mediates ligand-independent transcription repression of thyroid-hormone and retinoic-acid receptors by promoting chromatin condensation and preventing access of the transcription machinery. N-CoR1 is part of a complex which also includes histone deacetylases and transcriptional regulators similar to the yeast protein Sin3p. N-CoR1 is located between the Charcot-Marie-Tooth and Smith-Magenis syndrome critical regions on chromosome 17.

Immunogen

Purified recombinant fragment of human N-CoR1 expressed in E. Coli

Application

Anti-N-CoR1, clone 7A7A9 Antibody detects level of N-CoR1 & has been published & validated for use in N-CoR1.
Research Category
Epigenetics & Nuclear Function
Research Sub Category
Chromatin Biology

Physical form

Mouse monoclonal IgG1 ascitic fluid containing up to 0.1% sodium azide.
Unpurified

Preparation Note

Stable for 1 year at -20°C from date of receipt.
Handling Recommendations: Upon receipt and prior to removing the cap, centrifuge the vial and gently mix the solution. Aliquot into microcentrifuge tubes and store at -20°C. Avoid repeated freeze/thaw cycles, which may damage IgG and affect product performance.

Analysis Note

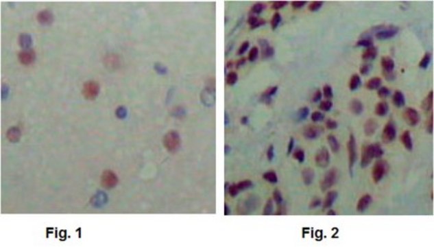
Immunohistochemistry Analysis: A 1:200-1,000 dilution from a representative lot detected N-CoR1 in human cerebra and breast carcinoma tissues.

Disclaimer

Unless otherwise stated in our catalog or other company documentation accompanying the product(s), our products are intended for research use only and are not to be used for any other purpose, which includes but is not limited to, unauthorized commercial uses, in vitro diagnostic uses, ex vivo or in vivo therapeutic uses or any type of consumption or application to humans or animals.

Not finding the right product?  

Try our Product Selector Tool.

Storage Class

12 - Non Combustible Liquids

wgk_germany

nwg

flash_point_f

Not applicable

flash_point_c

Not applicable


Certificates of Analysis (COA)

Search for Certificates of Analysis (COA) by entering the products Lot/Batch Number. Lot and Batch Numbers can be found on a product’s label following the words ‘Lot’ or ‘Batch’.

Already Own This Product?

Find documentation for the products that you have recently purchased in the Document Library.

Visit the Document Library

Our team of scientists has experience in all areas of research including Life Science, Material Science, Chemical Synthesis, Chromatography, Analytical and many others.

Contact Technical Service