Skip to Content
MilliporeSigma

MABE426-I

Sigma-Aldrich

Anti-Sirt1(Sir2) Antibody, clone 3-10 Antibody, rabbit monoclonal

clone 3-10, from rabbit

Synonym(s):

NAD-dependent protein deacetylase sirtuin-1, Regulatory protein SIR2 homolog 1, SIR2-like protein 1, SIR2alpha, Sir2, mSIR2a

Sign Into View Organizational & Contract Pricing

Select a Size


About This Item

UNSPSC Code:
12352203
eCl@ss:
32160702
NACRES:
NA.41
Technical Service
Need help? Our team of experienced scientists is here for you.
Let Us Assist
Technical Service
Need help? Our team of experienced scientists is here for you.
Let Us Assist

biological source

rabbit

conjugate

unconjugated

antibody form

unpurified

antibody product type

primary antibodies

clone

3-10, monoclonal

species reactivity

mouse

packaging

antibody small pack of 25 μL

technique(s)

immunohistochemistry: suitable (paraffin)
western blot: suitable

isotype

IgG

NCBI accession no.

UniProt accession no.

target post-translational modification

unmodified

Gene Information

mouse ... Sirt1(93759)

General description

NAD-dependent protein deacetylase sirtuin-1 (UniProt: Q923E4; also known as Regulatory protein SIR2 homolog 1, SIR2-like protein 1, SIR2alpha, Sir2, mSIR2a, Sirt-1) is encoded by the Sirt1 (also known as Sir2l1) gene (Gene ID: 93759) in murine species. Sirt1 is a NAD-dependent protein deacetylase that is widely expressed and links transcriptional regulation directly to intracellular energetics. In liver, Sirt1 is expressed in a circadian manner with maximal and minimal levels reaching at around Zeitgeber time (ZT) 16 and ZT4, respectively and its deacetylase activity is also regulated in a circadian manner that peaks at ZT15. It participates in the coordination of several cellular functions such as cell cycle, response to DNA damage, metabolism, apoptosis, and autophagy. It is shown to modulate chromatin function through deacetylation of histones and can promote alterations in the methylation of histones and DNA, leading to transcriptional repression. It deacetylates a broad range of transcription factors and coregulators, thereby regulating target gene expression in both positive and negative manner. Sirt1 serves as a sensor of the cytosolic ratio of NAD+/NADH, which is altered by glucose deprivation and metabolic changes associated with caloric restriction. Sirt1 has four nucleotide (NAD)-binding regions and four zinc binding sites. It is reported to shuttle between nucleus and cytoplasm. Sir1 is proteolytically cleaved by cathepsin B upon TNF-alpha treatment to yield a catalytic inactive but stable 75 kDa fragment (aa 2-525). Sirt1 can be phosphorylated by multiple protein kinases. It is phosphorylated by STK4/MST1 that results in inhibition of SIRT1-mediated p53/TP53 deacetylation and phosphorylation by MAPK8/JNK1 at serine 46 and threonine 522 is reported to increase its nuclear localization and enzymatic activity. Sirt1 phosphorylation at threonine 522 by DYRK1A and DYRK3 activates its deacetylase activity and can promote cell survival.
~110 kDa observed; 80.37 kDa calculated. Uncharacterized bands may be observed in some lysate(s).

Immunogen

His-tagged full-length recombinant mouse NAD-dependent protein deacetylase sirtuin-1 (Sirt1).

Application

Anti-Sirt1(Sir2), clone 3-10, Cat. No. MABE426-I, is a highly specific rabbit monoclonal antibody that targets NAD-dependent protein deacetylase sirtuin-1 and has been tested for use in Immunohistochemistry (Paraffin) and Western Blotting.
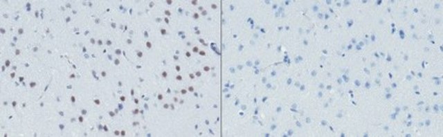
Immunohistochemistry (Paraffin) Analysis: A 1:250 dilution from a representative lot detected Sirt1(Sir2) in mouse cerebral cortex tissue sections.
Research Category
Epigenetics & Nuclear Function

Biochem/physiol Actions

Clone 3-10 specifically detects murine Sirt1.

Physical form

Format: Unpurified
Rabbit monoclonal antibody in cell culture supernatant with 0.05% sodium azide.
Unpurified

Preparation Note

Stable for 1 year at -20°C from date of receipt. Handling Recommendations: Upon receipt and prior to removing the cap, centrifuge the vial and gently mix the solution. Aliquot into microcentrifuge tubes and store at -20°C. Avoid repeated freeze/thaw cycles, which may damage IgG and affect product performance.

Analysis Note

Evaluated by Western Blotting in NIH/3T3 cell lysate.

Western Blotting Analysis: A 1:5,000 dilution of this antibody detected Sirt1(Sir2) in NIH/3T3 cell lysate.

Other Notes

Concentration: Please refer to lot specific datasheet.

Disclaimer

Unless otherwise stated in our catalog or other company documentation accompanying the product(s), our products are intended for research use only and are not to be used for any other purpose, which includes but is not limited to, unauthorized commercial uses, in vitro diagnostic uses, ex vivo or in vivo therapeutic uses or any type of consumption or application to humans or animals.

Not finding the right product?  

Try our Product Selector Tool.


Certificates of Analysis (COA)

Search for Certificates of Analysis (COA) by entering the products Lot/Batch Number. Lot and Batch Numbers can be found on a product’s label following the words ‘Lot’ or ‘Batch’.

Already Own This Product?

Find documentation for the products that you have recently purchased in the Document Library.

Visit the Document Library

Our team of scientists has experience in all areas of research including Life Science, Material Science, Chemical Synthesis, Chromatography, Analytical and many others.

Contact Technical Service