Skip to Content
MilliporeSigma

MABD634

Sigma-Aldrich

Anti-Retinal Dehydrogenase 1/ALDH1A1 Antibody, clone 16B4.2

clone 16B4.2, from mouse

Synonym(s):

Retinal dehydrogenase 1, EC: 1.2.1.36, RALDH 1, RalDH1, ALDH-E1, ALHDII, Aldehyde dehydrogenase family 1 member A1, Aldehyde dehydrogenase, cytosolic

Sign Into View Organizational & Contract Pricing

Select a Size


About This Item

UNSPSC Code:
12352203
eCl@ss:
32160702
NACRES:
NA.41
Technical Service
Need help? Our team of experienced scientists is here for you.
Let Us Assist
Technical Service
Need help? Our team of experienced scientists is here for you.
Let Us Assist

biological source

mouse

conjugate

unconjugated

antibody form

purified immunoglobulin

antibody product type

primary antibodies

clone

16B4.2, monoclonal

species reactivity

human, rat

packaging

antibody small pack of 25 μg

technique(s)

immunohistochemistry: suitable (paraffin)
western blot: suitable

isotype

IgG2bκ

NCBI accession no.

UniProt accession no.

target post-translational modification

unmodified

Gene Information

human ... ALDH1A1(216)

Related Categories

General description

Retinal dehydrogenase 1 (UniProt: P00352; also known as EC: 1.2.1.36, RALDH 1, RalDH1, ALDH-E1, ALHDII, Aldehyde dehydrogenase family 1 member A1, Aldehyde dehydrogenase, cytosolic) is encoded by the ALDH1A (also known as ALDC, ALDH1, PUMB1) gene (Gene ID: 216) in human. Retinal dehydrogenase 1 is a ubiquitously distributed cytosolic enzyme that serves as a detoxification enzyme and also generates retinoic acid. It catalyzes the oxidation of retinal to retinoic acid that is essential for differentiation, development, and survival of dopaminergic neurons. It can also play a role in cellular defense against oxidative stress by oxidizing 4-hydroxynonenal (4-HNE) produced during lipid peroxidation. It is also involved in several other biological processes, such as stem cell maintenance, UV-radiation resistance, melanogenesis, and spermatogenesis, by catalyzing the conversion of specific aldehydes to their corresponding carboxylic acids. Retinal dehydrogenase 1 contains multiple NAD binding sites. (Ref.: Paval, D., et al. (2017). Clin. Psychopharmacol. Neurosci. 5(3); 229-236).
~55 kDa observed; 54.86 kDa calculated. Uncharacterized bands may be observed in some lysate(s).

Immunogen

KLH-conjugated linear peptide corresponding to 18 amino acids from the C-terminal region of human retinal dehydrogenase 1.

Application

Anti-Retinal Dehydrogenase 1/ALDH1A1, clone 16B4.2, Cat. No. MABD634, is a mouse monoclonal antibody that detects Retinal Dehydrogenase 1 and has been tested for use in Immunohistochemistry (Paraffin) and Western Blotting.
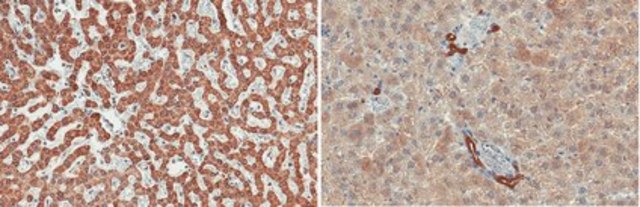
Immunohistochemistry (Paraffin) Analysis: A 1:50 dilution from a representative lot detected Retinal Dehydrogenase 1/ALDH1A1 in human liver and rat liver tissue sections.
Research Category
Neuroscience

Biochem/physiol Actions

Clone 16B4.2 detects Retinal dehydrogenase 1/ALDH1A1. it targets an epitope with in 18 ammo acids from the C-terminal region.

Physical form

Format: Purified
Protein G purified
Purified mouse monoclonal antibody IgG2b in buffer containing 0.1 M Tris-Glycine (pH 7.4), 150 mM NaCl with 0.05% sodium azide.

Preparation Note

Stable for 1 year at 2-8°C from date of receipt.

Analysis Note

Evaluated by Western Blotting in human liver tissue lysate.

Western Blotting Analysis: 0.5 µg/mL of this antibody detected Retinal Dehydrogenase 1/ALDH1A1 in human liver tissue lysate.

Other Notes

Concentration: Please refer to lot specific datasheet.

Disclaimer

Unless otherwise stated in our catalog or other company documentation accompanying the product(s), our products are intended for research use only and are not to be used for any other purpose, which includes but is not limited to, unauthorized commercial uses, in vitro diagnostic uses, ex vivo or in vivo therapeutic uses or any type of consumption or application to humans or animals.

Not finding the right product?  

Try our Product Selector Tool.

Storage Class

12 - Non Combustible Liquids

wgk_germany

WGK 1

flash_point_f

Not applicable

flash_point_c

Not applicable


Certificates of Analysis (COA)

Search for Certificates of Analysis (COA) by entering the products Lot/Batch Number. Lot and Batch Numbers can be found on a product’s label following the words ‘Lot’ or ‘Batch’.

Already Own This Product?

Find documentation for the products that you have recently purchased in the Document Library.

Visit the Document Library

Our team of scientists has experience in all areas of research including Life Science, Material Science, Chemical Synthesis, Chromatography, Analytical and many others.

Contact Technical Service