Skip to Content
MilliporeSigma

MABC730

Sigma-Aldrich

Anti-SCARB1 Antibody, clone 5B8.2

clone 5B8.2, 1 mg/mL, from mouse

Synonym(s):

Scavenger receptor class B member 1, SRB1, CD36 and LIMPII analogous 1, CLA-1, CD36 antigen-like 1, Collagen type I receptor, thrombospondin receptor-like 1, SR-BI, CD36

Sign Into View Organizational & Contract Pricing

Select a Size


About This Item

UNSPSC Code:
12352203
eCl@ss:
32160702
NACRES:
NA.41
Technical Service
Need help? Our team of experienced scientists is here for you.
Let Us Assist
Technical Service
Need help? Our team of experienced scientists is here for you.
Let Us Assist

biological source

mouse

Quality Level

conjugate

unconjugated

antibody form

purified immunoglobulin

antibody product type

primary antibodies

clone

5B8.2, monoclonal

species reactivity

human

concentration

1 mg/mL

technique(s)

immunohistochemistry: suitable
western blot: suitable

isotype

IgMκ

NCBI accession no.

UniProt accession no.

shipped in

wet ice

target post-translational modification

unmodified

Gene Information

human ... SCARB1(949)

General description

Scavenger receptor class B member 1 (SCARB1), or CD36L1, is the membrane bound cell surface receptor for high density lipoprotein (HDL) as well as a number of related compounds such as phospholipids, cholesterol ester, and phosphatidylserine and apoptotic cells (via their expression of phosphatidylserine on their extracellular surfaces). SCARB1 is also the receptor for Hepatitis C virus glycoprotein E2 and it facilitates the attachment and entry of HCV. SCARB1 plays a critical role in cholesterol homeostasis and mediates cholesterol transfer to and from the HDL protein carriers, a process known as reverse cholesterol transport. It is highly expressed in tissues that require free cholesterol such as the liver and steroidogenic tissues (adrenals, testis, ovary). SCARB1 expression has also been associated with particular cancers including chronic myeloid leukemia (CML), breast cancer, bladder carcinoma, and prostate cancer.
~61 kDa observed. Uncharacterized band(s) may appear in some lysates.

Immunogen

Epitope: Extracellular domain
KLH-conjugated linear peptide corresponding to the extracellular domain of human SCARB1.

Application

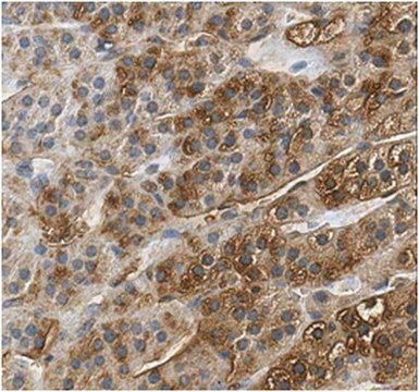
Detect SCARB1 using this Anti-SCARB1 Antibody, clone 5B8.2 validated for use in western blotting & IHC.
Immunohistochemistry Analysis: A 1:50 dilution from a representative lot detected SCARB1 in human adrenal gland tissue.
Research Category
Apoptosis & Cancer
Research Sub Category
Apoptosis - Additional

Physical form

Format: Purified
Purified mouse monoclonal IgMκ in buffer containing PBS with 0.05% sodium azide.

Preparation Note

Stable for 1 year at 2-8°C from date of receipt.

Analysis Note

Evaluated by Western Blotting in human adrenal tissue lysate.

Western Blotting Analysis: 1.0 µg/mL of this antibody detected SCARB1 in 10 µg of human adrenal tissue lysate.

Disclaimer

Unless otherwise stated in our catalog or other company documentation accompanying the product(s), our products are intended for research use only and are not to be used for any other purpose, which includes but is not limited to, unauthorized commercial uses, in vitro diagnostic uses, ex vivo or in vivo therapeutic uses or any type of consumption or application to humans or animals.

Not finding the right product?  

Try our Product Selector Tool.

Storage Class

12 - Non Combustible Liquids

wgk_germany

WGK 2

flash_point_f

Not applicable

flash_point_c

Not applicable


Certificates of Analysis (COA)

Search for Certificates of Analysis (COA) by entering the products Lot/Batch Number. Lot and Batch Numbers can be found on a product’s label following the words ‘Lot’ or ‘Batch’.

Already Own This Product?

Find documentation for the products that you have recently purchased in the Document Library.

Visit the Document Library

Shai White-Gilbertson et al.
Scientific reports, 12(1), 8971-8971 (2022-05-28)
Polyploid Giant Cancer Cells (PGCC) are increasingly being recognized as drivers of cancer recurrence. Therapy stress promotes the formation of these cells, which upon stress cessation often successfully generate more aggressive progeny that repopulate the tumor. Therefore, identification of potential

Our team of scientists has experience in all areas of research including Life Science, Material Science, Chemical Synthesis, Chromatography, Analytical and many others.

Contact Technical Service