Skip to Content
MilliporeSigma

MABC592

Sigma-Aldrich

Anti-TRP1/TYRP1 Antibody, clone TA99, Azide Free

clone TA99, 1 mg/mL, from mouse

Synonym(s):

5,6-dihydroxyindole-2-carboxylic acid oxidase, DHICA oxidase, Catalase B, Glycoprotein 75, Melanoma antigen gp75, Tyrosinase-related protein 1, TRP, TRP-1, TRP1

Sign Into View Organizational & Contract Pricing

Select a Size


About This Item

UNSPSC Code:
12352203
eCl@ss:
32160702
NACRES:
NA.41
Technical Service
Need help? Our team of experienced scientists is here for you.
Let Us Assist
Technical Service
Need help? Our team of experienced scientists is here for you.
Let Us Assist

biological source

mouse

Quality Level

conjugate

unconjugated

antibody form

purified immunoglobulin

antibody product type

primary antibodies

clone

TA99, monoclonal

species reactivity

human, mouse

concentration

1 mg/mL

technique(s)

blocking: suitable (interfering antibodies)
flow cytometry: suitable
immunohistochemistry: suitable
immunoprecipitation (IP): suitable
western blot: suitable

isotype

IgG2aκ

NCBI accession no.

UniProt accession no.

shipped in

wet ice

target post-translational modification

unmodified

Gene Information

human ... TYRP1(7306)

Related Categories

General description

TRP1/TYRP1, also known as 5,6-dihydroxyindole-2-carboxylic acid oxidase, DHICA, Catalase B, Glycoprotein 75, Melanoma antigen gp75, or Tyrosinase-related protein 1 (TRP/TRP-1/TRP1), and encoded by the gene TYRP1/CAS2/TYRP/TYRRP, is involved in melanin synthesis and is the enzyme that oxidizes DHICA into indole-5,6-quinone-2-carboxylic acid in the pathway. TRP1/TYRP1 is critical for skin/eye/hair pigmentation. Mutations are associated with Albinism. TRP1/TYRP1 is regulated by the microphthalmia-associated transcription factor (MITF). MITF is a master regulator of pigmentation and a target of β-catenin in Wnt/β-catenin signaling during melanocyte differentiation. TRP1/TYRP1 is also regulated by the microRNA miR-145, and this microRNA is being examined as a possible therapy for hyperpigmentation. TRP1/TYRP1 is expressed as a membrane protein in melanosomes and endosomes in pigment cells.
~60 kDa observed

Immunogen

Whole cells corresponding to human TRP1/TYRP1.

Application

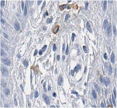
Immunohistochemistry Analysis: A 1:50 dilution from a representative lot detected TRP1/TYRP1 in human melanoma tissue.

Blocking of Interferring Antibodies Analysis: A representative lot from an independent laboratory suppressed the growth of subcutaneous B16 tumors (Patel, D., et al. (2008). Anticancer Res. 28(5A):2679-2686.).

Activity Assay Analysis: A representative lot from an independent laboratory improves anti-tumor efficacy by augmenting systemic CD8+T cell responses to tumor cells (Saenger, Y. M., et al. (2008). Cancer Res. 68(23):9884-9891.).

Immunoprecipiptation Analysis: A representative lot from an independent laboratory immunoprecipiated TRP1/TYRP1 from B16 cell lysate (Srinivasan, R., et al. (2002). Cancer Immun. 19(2):8.).
Research Category
Apoptosis & Cancer
Research Sub Category
Apoptosis - Additional
This Anti-TRP1/TYRP1 Antibody, clone TA99, Azide Free is validated for use in western blotting, IHC, blocking of inteferring antibodies, IP & flow cytometry for the detection of TRP1/TYRP1.

Physical form

Format: Purified
Protein G Purified
Purified mouse monoclonal IgG2aκ in buffer containing PBS without preservatives.

Preparation Note

Stable for 1 year at -20°C from date of receipt.
Handling Recommendations: Upon receipt and prior to removing the cap, centrifuge the vial and gently mix the solution. Aliquot into microcentrifuge tubes and store at -20°C. Avoid repeated freeze/thaw cycles, which may damage IgG and affect product performance.

Analysis Note

Evaluated by Western Blottng in mouse skin tissue lysate.

Western Blotting Analysis: 1 µg/mL of this antibody detected TRP1/TYRP1 in 10 µg of mouse skin tissue lysate.

Disclaimer

Unless otherwise stated in our catalog or other company documentation accompanying the product(s), our products are intended for research use only and are not to be used for any other purpose, which includes but is not limited to, unauthorized commercial uses, in vitro diagnostic uses, ex vivo or in vivo therapeutic uses or any type of consumption or application to humans or animals.

Not finding the right product?  

Try our Product Selector Tool.

Storage Class

12 - Non Combustible Liquids

wgk_germany

WGK 2

flash_point_f

Not applicable

flash_point_c

Not applicable


Certificates of Analysis (COA)

Search for Certificates of Analysis (COA) by entering the products Lot/Batch Number. Lot and Batch Numbers can be found on a product’s label following the words ‘Lot’ or ‘Batch’.

Already Own This Product?

Find documentation for the products that you have recently purchased in the Document Library.

Visit the Document Library

Improved tumor immunity using anti-tyrosinase related protein-1 monoclonal antibody combined with DNA vaccines in murine melanoma.
Saenger, Yvonne M, et al.
Cancer Research, 68, 9884-9891 (2008)
Ling Jiang et al.
Journal of cellular physiology, 234(12), 22799-22808 (2019-05-23)
Our previous study found that Ganoderma lucidum polysaccharide (GLP), bioactive ingredients from Ganoderma lucidum, protected fibroblasts from photoaging. However, whether GLP can affect melanogenesis in melanocytes through regulating paracrine mediators that secreted by keratinocytes and fibroblasts is unclear. We aimed
Induction of autoantibodies against tyrosinase-related proteins following DNA vaccination: unexpected reactivity to a protein paralogue.
Srinivasan, Roopa, et al.
Cancer Immunity, 2, 8-8 (2002)
Enhanced suppression of melanoma tumor growth and metastasis by combined therapy with anti-VEGF receptor and anti-TYRP-1/gp75 monoclonal antibodies.
Patel, Dipa, et al.
Anticancer research, 28, 2679-2686 null
Shiyao Pei et al.
The Journal of investigative dermatology, 140(1), 152-163 (2019-07-06)
The long noncoding RNA UCA1 was first discovered in bladder cancer and is known to regulate the proliferation and migration of melanoma. However, its role in melanogenesis is unclear. In this study, we aimed to explore the role and mechanism

Our team of scientists has experience in all areas of research including Life Science, Material Science, Chemical Synthesis, Chromatography, Analytical and many others.

Contact Technical Service