Skip to Content
MilliporeSigma

MABC1702

Sigma-Aldrich

Anti-PDGF-BB Antibody, clone 6A9.9.11

Sign Into View Organizational & Contract Pricing

Select a Size


About This Item

UNSPSC Code:
12352203
NACRES:
NA.41
Technical Service
Need help? Our team of experienced scientists is here for you.
Let Us Assist
Technical Service
Need help? Our team of experienced scientists is here for you.
Let Us Assist

biological source

mouse

Quality Level

conjugate

unconjugated

antibody form

purified antibody

antibody product type

primary antibodies

clone

6A9.9.11, monoclonal

mol wt

calculated mol wt 27.28 kDa
observed mol wt ~12 kDa

purified by

using protein G

species reactivity

human

packaging

antibody small pack of 100 μg

technique(s)

immunohistochemistry (formalin-fixed, paraffin-embedded sections): suitable
western blot: suitable

isotype

IgG1κ

epitope sequence

Internal

Protein ID accession no.

UniProt accession no.

shipped in

2-8°C

target post-translational modification

unmodified

Related Categories

General description

Platelet-derived growth factor subunit B (UniProt: P01127; also known as PDGF subunit B, PDGF-2, Platelet-derived growth factor B chain, Platelet-derived growth factor beta polypeptide, Proto-oncogene c-Sis, Becaplermin) is encoded by the PDGFB (also known as PDGF2, SIS) gene (Gene ID: 5155) in human. PDGFs are a family of four cystine-knot-type growth factors (PDGF-A, -B, -C and -D) that are dimeric mitogenic signaling molecules. In the early developmental stage, they drive the proliferation of undifferentiated mesenchyme and some progenitor populations. During later maturation stages they participate in tissue remodeling, cellular differentiation, and morphogenesis. PDGF A and B can exist as two A subunits (PDGF-AA), two B subunits (PDGF-BB), or one of each (PDGF-AB). These dimeric forms are differentially expressed in various cell types. Their action is mediated via two types of receptors PDGFR and PDGFRβ, which belong to the class III receptor tyrosine kinases and exhibit different expression patterns and physiological roles. PDGFR signaling controls gastrulation and the development of several organs such as lung, intestine, skin, testis, kidney, bones, and neuroprotective tissues and PDGFRβ signaling is an essential regulator of early hematopoiesis and blood vessel formation. PDGF-BB is synthesized with a signal peptide (aa 1-20) and two propeptides (aa 21-81 and 191-241), which are cleaved off to generate the active form (aa 82-190). PDGF-BB is expressed at high levels in the heart, placenta, fetal kidney, and substantia nigra in the brain and at moderate levels in hippocampus, skeletal muscle, kidney, and lung. It is required for normal blood vessel development, and for normal development of kidney glomeruli and is shown to plays an important role in wound healing. It is released by platelets upon wounding. Mutations in PDGFB gene have been linked to idiopathic basal ganglia calcification that leads to a wide spectrum of neuropsychiatric symptoms, including Parkinsonism, dystonia tremor, ataxia, and dementia. (Ref.: Chen, PH., et al. (2013). Biochim. Biophys. Acta. 1834(10); 2176-2186).

Immunogen

Recombinant mature form (aa 82-190) of human Platelet-derived growth factor subunit B (PDGF-BB).

Application

Quality Control Testing

Evaluated by Western Blotting with recombinant human PDGF-BB.

Western Blotting Analysis: A 1:1,000 dilution of this antibody detected human recombinant PDGF-BB.

Tested Applications

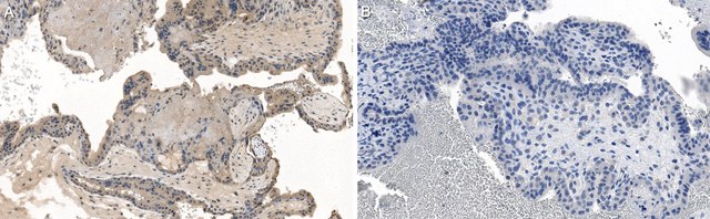
Immunohistochemistry (Paraffin) Analysis: A 1:50 dilution from a representative lot detected PDGF-BB in human placenta tissue sections.

Note: Actual optimal working dilutions must be determined by end user as specimens, and experimental conditions may vary with the end user
Anti-PDGF-BB, clone 6A9.9.11, Cat. No. MABC1702, is a mouse monoclonal antibody that detects PDGF-BB and is tested for use in Immunohistochemistry (Paraffin) and Western Blotting.

Biochem/physiol Actions

Clone 6A9.9.11 is a mouse monoclonal antibody that detects Platelet-derived growth factor subunit B. It targets an epitope within the internal region.

Physical form

Purified mouse monoclonal antibody IgG1 in PBS with 0.05% sodium azide.

Preparation Note

Recommend storage at +2°C to +8°C. For long term storage antibodies can be kept at -20°C. Avoid repeated freeze-thaws.

Other Notes

Concentration: Please refer to the Certificate of Analysis for the lot-specific concentration.

Disclaimer

Unless otherwise stated in our catalog or other company documentation accompanying the product(s), our products are intended for research use only and are not to be used for any other purpose, which includes but is not limited to, unauthorized commercial uses, in vitro diagnostic uses, ex vivo or in vivo therapeutic uses or any type of consumption or application to humans or animals.

Not finding the right product?  

Try our Product Selector Tool.

Storage Class

12 - Non Combustible Liquids

wgk_germany

WGK 2

flash_point_f

Not applicable

flash_point_c

Not applicable


Certificates of Analysis (COA)

Search for Certificates of Analysis (COA) by entering the products Lot/Batch Number. Lot and Batch Numbers can be found on a product’s label following the words ‘Lot’ or ‘Batch’.

Already Own This Product?

Find documentation for the products that you have recently purchased in the Document Library.

Visit the Document Library

Our team of scientists has experience in all areas of research including Life Science, Material Science, Chemical Synthesis, Chromatography, Analytical and many others.

Contact Technical Service