Sign In to View Organizational & Contract Pricing.
Select a Size
Change View
About This Item
NACRES:
NA.41
UNSPSC Code:
12352203
Conjugate:
unconjugated
Clone:
5C10.8, monoclonal
Application:
IHC (p), WB
Citations:
-
biological source
mouse
Quality Level
conjugate
unconjugated
antibody form
purified antibody
antibody product type
primary antibodies
clone
5C10.8, monoclonal
mol wt
calculated mol wt 24.04 kDa, observed mol wt ~28 kDa
purified by
using protein G
species reactivity
human
packaging
antibody small pack of 100 μg
technique(s)
immunohistochemistry (formalin-fixed, paraffin-embedded sections): suitable, western blot: suitable
isotype
IgG2bκ
epitope sequence
Unknown
Protein ID accession no.
UniProt accession no.
shipped in
2-8°C
target post-translational modification
unmodified
Gene Information
human ... PDGFA(5154)
General description
Platelet-derived growth factor subunit A (UniProt: P04085d; also known as PDGF subunit A, PDGF-1, Platelet-derived growth factor A chain, Platelet-derived growth factor alpha polypeptide) is encoded by the PDGFA (also known as PDGF1) gene (Gene ID: 5154) in human. PDGFs are a family of four cystine-knot-type growth factors (PDGF-A, -B, -C and -D) that are dimeric mitogenic signaling molecules. In the early developmental stage, they drive the proliferation of undifferentiated mesenchyme and some progenitor populations. During later maturation stages they participate in tissue remodeling, cellular differentiation, and morphogenesis. PDGF A and B can exist as two A subunits (PDGF-AA), two B subunits (PDGF-BB), or one of each (PDGF-AB). These dimeric forms are differentially expressed in various cell types. Their action is mediated via two types of receptors PDGFR and PDGFRβ, which belong to the class III receptor tyrosine kinases and exhibit different expression patterns and physiological roles. PDGFR signaling controls gastrulation and the development of several organs such as lung, intestine, skin, testis, kidney, bones, and neuroprotective tissues and PDGFRβ signaling is an essential regulator of early hematopoiesis and blood vessel formation. PDGF-A is homodimeric protein that is synthesized with a signal peptide (aa 1-20) and a propeptide (aa 21-86) that are subsequently cleaved off to produce the mature protein (aa 87-211). Its signaling activity is modulated by the formation of heterodimers with PDGFB. It plays an essential role in the regulation of embryonic development, cell proliferation, cell migration, survival, and chemotaxis. It is also required for normal lung alveolar septum formation during embryogenesis, normal development of the gastrointestinal tract, normal development of Leydig cells and spermatogenesis. It is also involved in normal oligodendrocyte development and normal myelination in the spinal cord and cerebellum.
Immunogen
Recombinant full-length human Platelet derived growth factor A (without the signal peptide and propeptide).
Application
Quality Control Testing
Evaluated by Western Blotting with recombinant human PDGF-AA.
Western Blotting Analysis: A 1:1,000 dilution of this antibody detected recombinant human PDGF-AA.
Tested Applications
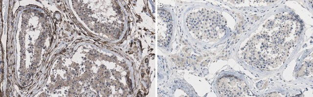
Immunohistochemistry (Paraffin) Analysis: A 1:50 dilution from a representative lot detected PDGF-AA in human testis tissue sections.
Note: Actual optimal working dilutions must be determined by end user as specimens, and experimental conditions may vary with the end user
Evaluated by Western Blotting with recombinant human PDGF-AA.
Western Blotting Analysis: A 1:1,000 dilution of this antibody detected recombinant human PDGF-AA.
Tested Applications
Immunohistochemistry (Paraffin) Analysis: A 1:50 dilution from a representative lot detected PDGF-AA in human testis tissue sections.
Note: Actual optimal working dilutions must be determined by end user as specimens, and experimental conditions may vary with the end user
Anti-PDGF-AA, clone 5C10.8, Cat. No. MABC1701, is a mouse monoclonal antibody that detects PDGF-AA and is tested for use in Immunohistochemistry (Paraffin) and Western Blotting.
Biochem/physiol Actions
Clone 5C10.8 is a mouse monoclonal antibody that specifically detects Platelet derived growth factor AA (PDGF-AA).
Physical form
Purified mouse monoclonal antibody IgG2b in PBS with 0.05% sodium azide.
Preparation Note
Recommend storage at +2°C to +8°C. For long term storage antibodies can be kept at -20°C. Avoid repeated freeze-thaws.
Other Notes
Concentration: Please refer to the Certificate of Analysis for the lot-specific concentration.
Disclaimer
Unless otherwise stated in our catalog or other company documentation accompanying the product(s), our products are intended for research use only and are not to be used for any other purpose, which includes but is not limited to, unauthorized commercial uses, in vitro diagnostic uses, ex vivo or in vivo therapeutic uses or any type of consumption or application to humans or animals.
Still not finding the right product?
Try our Product Selector Tool to narrow your options
Storage Class
12 - Non Combustible Liquids
wgk
WGK 2
Certificates of Analysis (COA)
Search for Certificates of Analysis (COA) by entering the products Lot/Batch Number. Lot and Batch Numbers can be found on a product’s label following the words ‘Lot’ or ‘Batch’.
Already Own This Product?
Find documentation for the products that you have recently purchased in the Document Library.
Global Trade Item Number
| SKU | GTIN |
|---|---|
| MABC1701-100UG | 04065267327693 |
| MABC1701-25UG | 04065267327709 |