Skip to Content
MilliporeSigma

MABC119

Sigma-Aldrich

Anti-Rab7A, clone 5G8.1 Antibody

clone 5G8.1, 0.5 mg/mL, from mouse

Synonym(s):

Ras-related protein Rab-7a

Sign Into View Organizational & Contract Pricing

Select a Size


About This Item

UNSPSC Code:
12352203
eCl@ss:
32160702
NACRES:
NA.41
Technical Service
Need help? Our team of experienced scientists is here for you.
Let Us Assist
Technical Service
Need help? Our team of experienced scientists is here for you.
Let Us Assist

biological source

mouse

Quality Level

conjugate

unconjugated

antibody form

purified immunoglobulin

antibody product type

primary antibodies

clone

5G8.1, monoclonal

species reactivity

human

concentration

0.5 mg/mL

technique(s)

immunohistochemistry: suitable
western blot: suitable

isotype

IgG2bκ

NCBI accession no.

UniProt accession no.

shipped in

wet ice

target post-translational modification

unmodified

Gene Information

human ... RAB7A(7879)

General description

Ras-related protein Rab-7A (Rab7A, RAB7) is a small intracellular protein typically associated with cytoplasmic vesicles, phagosomes, and endosomes and is expressed in most cells but particularly high in muscle. It plays an important role in regulating the endo-lysosomal trafficking of proteins as well as in the endosomal trapping of pathogens and viruses. Besides endosome-lysosome trafficking, Rab7A functions in a variety of other critical cellular processes including nutrient uptake, growth factor mediated growth, neurotrophin transport, lipid transport, lysosome and phagosome maturation and development, as well as pathogen and virus innate immunity functions. RAB7A interacts with a number of other proteins within the cell, some important in endosome trafficking like RILP (Rab-interacting lysosomal protein) and CHM (Rab escort protein 1) others like RAC1 have a more pleiotropic impact and are part of many cellular processes, including the cell cycle, cell-cell adhesion, cytoskeletal motility, and cellular differentiation.
~23 kDa observed

Immunogen

GST-tagged recombinant protein corresponding to human Rab7A.

Application

Detect Rab7A using this Anti-Rab7A antibody, clone 5G8.1 validated for use in western blotting & IHC.
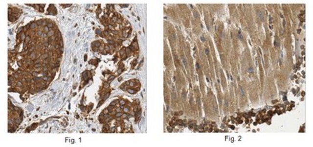
Immunohistochemistry Analysis: A 1:50 dilution from a representative lot detected Rab7A in human breast cancer and human cardiac myocytes and lymphocytes in human heart tissue.
Research Category
Apoptosis & Cancer
Research Sub Category
Apoptosis - Additional

Physical form

Format: Purified
Protein G Purified
Purified mouse monoclonal IgG2bκ in buffer containing 0.1 M Tris-Glycine (pH 7.4), 150 mM NaCl with 0.05% sodium azide.

Preparation Note

Stable for 1 year at 2-8°C from date of receipt.

Analysis Note

Evaluated by Western Blotting in SK-MEL28 cell lysate.

Western Blotting Analysis: A 1:2,000 dilution of this antibody detected Rab7A in 10 µg of SK-MEL28 cell lysate.

Disclaimer

Unless otherwise stated in our catalog or other company documentation accompanying the product(s), our products are intended for research use only and are not to be used for any other purpose, which includes but is not limited to, unauthorized commercial uses, in vitro diagnostic uses, ex vivo or in vivo therapeutic uses or any type of consumption or application to humans or animals.

Not finding the right product?  

Try our Product Selector Tool.

Storage Class

12 - Non Combustible Liquids

wgk_germany

WGK 1

flash_point_f

Not applicable

flash_point_c

Not applicable


Certificates of Analysis (COA)

Search for Certificates of Analysis (COA) by entering the products Lot/Batch Number. Lot and Batch Numbers can be found on a product’s label following the words ‘Lot’ or ‘Batch’.

Already Own This Product?

Find documentation for the products that you have recently purchased in the Document Library.

Visit the Document Library

Our team of scientists has experience in all areas of research including Life Science, Material Science, Chemical Synthesis, Chromatography, Analytical and many others.

Contact Technical Service