Skip to Content
MilliporeSigma

MAB5456-C

Sigma-Aldrich

Anti-Gonadotropin-Releasing Hormone Antibody, NT, clone HU11B (Ascites Free)

clone HU11B, from mouse

Synonym(s):

Gonadotropin-releasing hormone I, GnRH-I, Luliberin I, Luteinizing hormone-releasing hormone I, LH-RH I

Sign Into View Organizational & Contract Pricing

Select a Size


About This Item

UNSPSC Code:
12352203
eCl@ss:
32160702
NACRES:
NA.41
Technical Service
Need help? Our team of experienced scientists is here for you.
Let Us Assist
Technical Service
Need help? Our team of experienced scientists is here for you.
Let Us Assist

biological source

mouse

Quality Level

conjugate

unconjugated

antibody form

purified immunoglobulin

antibody product type

primary antibodies

clone

HU11B, monoclonal

species reactivity

human, rat, rhesus macaque, mouse

technique(s)

affinity binding assay: suitable
electron microscopy: suitable
immunofluorescence: suitable
immunohistochemistry: suitable (paraffin)

isotype

IgG1κ

NCBI accession no.

UniProt accession no.

shipped in

wet ice

target post-translational modification

unmodified

Gene Information

human ... GNRH1(2796)

General description

10 kDa calculated
Gonadotropin-releasing hormone I (also known as GnRH, GnRH-I, Gonadoliberin-1, Gonadoliberin I, LHRH, LH-RH I, Luteinizing hormone-releasing hormone I) is encoded by the Gnrh1 (also known as Gnrh, Lhrh1, Lnrh) gene (Gene ID 14714) in murine species. GnRH/LHRH is initially produced as a 90-amino acid progonadoliberin-1 precursor protein (UniProt P13562), removal of the signal peptide (a.a. 1-21) yields progonadoliberin-1 (a.a. 22-90), which is further processed by a proteolytic cleavage to release the GnRH/LHRH decapeptide (a.a. 22-31) and the 56-a.a. prolactin release-inhibiting factor 1 (a.a. 35-90). The LHRH decapeptide functions as the primary endocrine link between the brain and the reproductive system. It plays a primary neuroendocrine role in orchestrating the developmental processes associated with sexual development in immature mammals and also in maintaining normal reproductive function in adults. LHRH-producing neurons are located mainly in the lateral anterior hypothalamus, septum, and medial preoptic area, from where they extend axons towards the median eminence and relese the hormone into the hypothalamo-hypophyseal portal blood vessels in an episodic or pulsatile manner.

Immunogen

Epitope: N-terminus.
Mouse GnRH (QHWSYGLRPG) conjugated to bovine thyroglobulin.

Application

Anti-Gonadotropin-Releasing Hormone Antibody, NT, clone HU11B (Ascites Free) is an antibody against Gonadotropin-Releasing Hormone for use in Immunohistochemistry (Paraffin), Affinity Binding Assay, Immunofluorescence, Electron Microscopy.
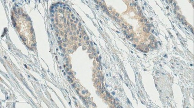
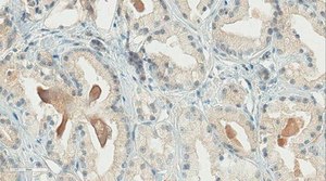
Immunohistochemistry Analysis: A 1:50 dilution from a representative lot detected Gonadotropin-Releasing Hormone in human prostate cancer tissue.
Affinity Binding Assay: A representative lot captured C-terminally blocked GnRH-I/LHRH (LHRH-NH2), but not LHRH with a free C-terminal end (LHRH-COOH). Clone HU11B exhibited reduced affinity toward N-terminally truncated LHRH-NH2 and failed to recognize pro-LHRH, Atrial Naturetic Factor/ANF, Growth hormone-releasing hormone/GHRH, Oxytocin, Somatostatin, Thyrotropin-releasing hormone/TRH, and Vasoactive intestinal peptide/VIP (Urbanski, H.F., et al. (1991). Biol. Reprod. 44(4):681-686).
Immunofluorescence Analysis: A representative lot detected GnRH neurons in brain sections from female rhesus monkeys by fluorescent immunohistochemistry (Naugle, M.M., and Gore, A.C. (2014). Neuroendocrinology 100:334-346).
Immunofluorescence Analysis: A representative lot detected pregnancy stage-dependent GnRH-I immunoreactivity in the luminal epithelium of rat oviduct by fluorescent immunohistochemistry using paraformaldehyde-fixed cryosections (Sengupta, A., et al. (2007). J. Histochem. Cytochem. 55(5):525-534).
Immunofluorescence Analysis: A representative lot detected GnRH-I immunoreactivity in frozen mouse hypothalamic sections by fluorescent immunohistochemistry (Olcese, J., et al. (2003). Neuroreport. 14(4):613-618).
Electron Microscopy: A representative lot detected GnRH-I immunoreactivity associated with the luminal epithelium secretory vesicles of rat oviduct by EM using paraformaldehyde-fixed LR wihite sections from rats at day 16 of pregnancy (Sengupta, A., et al. (2007). J. Histochem. Cytochem. 55(5):525-534).
Immunohistochemistry Analysis: A representative lot detected GnRH-I immunoreactivity throughout the hypothalamus in paraformalin-fixed, paraffin-embedded South American plains vizcacha (Lagostomus maximus) brain sections (Dorfman, V.B., et al. (2011). J. Mol. Histol. 42(4):311-321).
Immunohistochemistry Analysis: A representative lot detected GnRH-I-positie neurons in formalin-fixed, paraffin-embedded mouse brain sections (Bergman, J.E., et al. (2010). Eur. J. Hum. Genet. 18(2):171-177).
Immunohistochemistry Analysis: A representative lot detected GnRH-I immunoreactivity in paraformaldehyde-fixed rat brain vibratome sections (Urbanski, H.F., et al. (1991). Biol. Reprod. 44(4):681-686).
Research Category
Neuroscience
Research Sub Category
Developmental Neuroscience

Biochem/physiol Actions

Clone HU11B reacts with C-terminally blocked GnRH-I/LHRH (LHRH-NH2), but not LHRH with a free C-terminal end (LHRH-COOH). Clone HU11B exhibits reduced affinity toward N-terminally truncated LHRH-NH2 and failed to recognize pro-LHRH, Atrial Naturetic Factor/ANF, Growth hormone-releasing hormone/GHRH, Oxytocin, Somatostatin, Thyrotropin-releasing hormone/TRH, and Vasoactive intestinal peptide/VIP (Urbanski, H.F., et al. (1991). Biol. Reprod. 44(4):681-686).

Physical form

Format: Purified
Protein G Purified
Purified mouse monoclonal IgG1κ antibody in buffer containing 0.1 M Tris-Glycine (pH 7.4), 150 mM NaCl with 0.05% sodium azide.

Preparation Note

Stable for 1 year at 2-8°C from date of receipt.

Analysis Note

Evaluated by Immunohistochemistry in human prostate tissue.

Immunohistochemistry Analysis: A 1:50 dilution of this antibody detected Gonadotropin-Releasing Hormone in human prostate tissue.

Other Notes

Concentration: Please refer to lot specific datasheet.

Disclaimer

Unless otherwise stated in our catalog or other company documentation accompanying the product(s), our products are intended for research use only and are not to be used for any other purpose, which includes but is not limited to, unauthorized commercial uses, in vitro diagnostic uses, ex vivo or in vivo therapeutic uses or any type of consumption or application to humans or animals.

Not finding the right product?  

Try our Product Selector Tool.

Storage Class

12 - Non Combustible Liquids

wgk_germany

WGK 1

flash_point_f

Not applicable

flash_point_c

Not applicable


Certificates of Analysis (COA)

Search for Certificates of Analysis (COA) by entering the products Lot/Batch Number. Lot and Batch Numbers can be found on a product’s label following the words ‘Lot’ or ‘Batch’.

Already Own This Product?

Find documentation for the products that you have recently purchased in the Document Library.

Visit the Document Library

Related Content

Alzheimer’s Disease is a progressively deteriorating disease. It manifests itself with memory loss, confusion, problems with judgment, planning, concentration, and personality changes; and in it’s later stages, a decline in physical abilities. The disease’s causes, cures, and preventions are unknown; however, key proteins likely involved in the degenerative mechanism have been identified. Alzheimer’s Disease is characterized by neuronal loss, alterations in neurotransmitter systems, and the presence of neurofibrillary tangles composed of abnormally hyperphosphorylated tau proteins. A prominent feature of Alzheimer’s Disease is the formation of senile plaques in selected regions of the brain. The center of these plaques are composed mainly of fibrillary aggregates of a common, but not well understood, b amyloid peptides (Aβ). The Aβ peptides are generated from the larger amyloid-β precursor protein (APP) by the sequential action of β- and γ-secretase, and it is generally accepted that oligomeric forms of this Aβ are neurotoxic, resulting in disease progression.

Our team of scientists has experience in all areas of research including Life Science, Material Science, Chemical Synthesis, Chromatography, Analytical and many others.

Contact Technical Service