Skip to Content
MilliporeSigma

MAB2609

Sigma-Aldrich

Anti-beta Arrestin 1 Antibody, clone 3H11.2

clone 3H11.2, from mouse

Synonym(s):

Retinal S-antigen, Rod photoreceptor arrestin, S-antigen, retina and pineal gland (arrestin), arrestin 1, retinal S-antigen (48 KDa protein)

Sign Into View Organizational & Contract Pricing

Select a Size


About This Item

UNSPSC Code:
12352203
eCl@ss:
32160702
NACRES:
NA.41
Technical Service
Need help? Our team of experienced scientists is here for you.
Let Us Assist
Technical Service
Need help? Our team of experienced scientists is here for you.
Let Us Assist

biological source

mouse

Quality Level

conjugate

unconjugated

antibody form

saturated ammonium sulfate (SAS) precipitated

antibody product type

primary antibodies

clone

3H11.2, monoclonal

species reactivity

human

technique(s)

immunofluorescence: suitable
western blot: suitable

isotype

IgMκ

NCBI accession no.

UniProt accession no.

shipped in

wet ice

target post-translational modification

unmodified

Gene Information

human ... ARRB1(408)

General description

The Arrestin family consists of four members: Arrestin 1 (visual Arrestin), Arrestin 2 (beta Arrestin 1), Arrestin 3 (beta Arrestin 2), and Arrestin 4 (cone Arrestin). While visual and cone Arrestins are found almost exclusively in the retina, beta Arrestins 1 and 2 are ubiquitously expressed. Beta Arrestins appear to act as negative regulators on G protein-coupled receptors, (Lefkowitz, 1998). Interaction with molecules such as clathrin, AP-2 and NSF directs the clathrin-mediated internalization of G-protein-coupled receptors. Interaction with molecules such as Src, Raf, Erk, ASK1 and JNK3 appears to regulate several pathways that result in the activation of MAP kinases, (Lin, 1998; Miller, 2001).
~47 kDa

Immunogen

Epitope: a.a. 357-372
KLH conjugated synthetic peptide corresponding to amino acids 357-372 of human beta arrestin 1.

Application

Anti-beta Arrestin 1 Antibody, clone 3H11.2 detects level of beta Arrestin 1 & has been published & validated for use in WB & IF.
Research Category
Cell Structure
Research Sub Category
Sensory & PNS

G-proteins

Biochem/physiol Actions

Other species have not been tested.
Reacts with human beta-arrestin 1.

Physical form

Format: Purified
Purified in PBS with 0.05% NaN3.

Preparation Note

Maintain at 2-8°C in undiluted aliquots for up to 1 year after date of receipt.

Analysis Note

Control
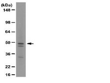
HEK293 cell lysate
Evaluated on a representative lot by Western blot in HEK293 cell lysate.

Other Notes

Concentration: Please refer to the Certificate of Analysis for the lot-specific concentration.

Disclaimer

Unless otherwise stated in our catalog or other company documentation accompanying the product(s), our products are intended for research use only and are not to be used for any other purpose, which includes but is not limited to, unauthorized commercial uses, in vitro diagnostic uses, ex vivo or in vivo therapeutic uses or any type of consumption or application to humans or animals.

Not finding the right product?  

Try our Product Selector Tool.

Storage Class

12 - Non Combustible Liquids

wgk_germany

WGK 2

flash_point_f

Not applicable

flash_point_c

Not applicable


Certificates of Analysis (COA)

Search for Certificates of Analysis (COA) by entering the products Lot/Batch Number. Lot and Batch Numbers can be found on a product’s label following the words ‘Lot’ or ‘Batch’.

Already Own This Product?

Find documentation for the products that you have recently purchased in the Document Library.

Visit the Document Library

Lidia Chellini et al.
Matrix biology : journal of the International Society for Matrix Biology, 81, 17-33 (2018-10-28)
The invasive phenotype of serous ovarian cancer (SOC) cells is linked to the formation of actin-based protrusions, invadopodia, operating extracellular matrix (ECM) degradation and metastatic spread. Growth factor receptors might cause engagement of integrin-related proteins, like the polarity protein IQ-domain

Our team of scientists has experience in all areas of research including Life Science, Material Science, Chemical Synthesis, Chromatography, Analytical and many others.

Contact Technical Service