Sign In to View Organizational & Contract Pricing.
Select a Size
Change View
About This Item
UNSPSC Code:
12352203
NACRES:
NA.43
eCl@ss:
32160702
Conjugate:
unconjugated
Clone:
ELM1, monoclonal
Application:
ICC, IHC, WB
Citations:
-
biological source
rat
Quality Level
conjugate
unconjugated
antibody form
purified antibody
antibody product type
primary antibodies
clone
ELM1, monoclonal
species reactivity
mouse
packaging
antibody small pack of 25 μL
technique(s)
immunocytochemistry: suitable, immunohistochemistry: suitable, western blot: suitable
isotype
IgG2aκ
NCBI accession no.
UniProt accession no.
target post-translational modification
unmodified
Gene Information
mouse ... Nid1(18073)
General description
136.54 kDa calculated.
Nidogen-1 (UniProt: P10493; also known as NID-1, Entactin) is encoded by the Nid1 (also known as Ent) gene (Gene ID: 18073) ins murine species. Nidogen-1 is a highly conserved sulfated monomeric glycoprotein that is widely distributed in basement membranes and tightly associates with laminin. It is post-translationally N- and O-glycosylated. It is synthesized with a 28 aa signal peptide that is subsequently cleaved to produce the mature form. Nidogen -1 contains six EGF-like domains, four LDL-receptor class B repeats, one NIDO domain, one nidogen G2 barrel domain, and one thyroglobulin type 1 domain. Nidogen-1 shares about 50% homology with Nidigen-2 and shares similar adhesive properties. There is also a high degree of homology between murine and human Nidogen-1. Nidogen is expressed during embryonic and fetal development exclusively in fully developed basement membranes of the ectoderm and is not expressed in the developing endodermal basement membrane or in membranes disrupted during mesoderm formation.
Immunogen
Purified protein from basement membranes of mouse Engelbreth-Holm-Swarm (EHS) tumor.
Application
Anti-Nidogen 1, clone ELM1, Cat. No. MAB1946-I, is a rat monoclonal antibodythat detects Nidogen-1 and has been tested for use in Immunocytochemistry, Immunohistochemistry, and Western Blotting.
Western Blotting Analysis: A representative lot detected Nidogen-1 in Western Blotting applications (Arends, F., et. al. (2015). PLoS One. 10(2):e0118090).
Immunocytochemistry Analysis: A representative lot detected Nidogen-1 in Immunocytochemistry applications (Kick, K., et. al. (2016). Arterioscler Thromb Vasc Biol. 36(12):2346-2357).
Immunohistochemistry Analysis: A representative lot detected Nidogen-1 in Immunohistochemistry applications (Chang, Y.T., et. al. (2016). J Clin Invest. 126(2):721-31).
Immunocytochemistry Analysis: A representative lot detected Nidogen-1 in Immunocytochemistry applications (Kick, K., et. al. (2016). Arterioscler Thromb Vasc Biol. 36(12):2346-2357).
Immunohistochemistry Analysis: A representative lot detected Nidogen-1 in Immunohistochemistry applications (Chang, Y.T., et. al. (2016). J Clin Invest. 126(2):721-31).
Biochem/physiol Actions
Clone ELM1 is a rat monoclonal antibody that detects Nidogen-1 in murine species.
Physical form
Format: Purified
Analysis Note
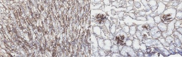
Evaluated by Immunohistochemistry in mouse kidney.
Immunohistochemistry Analysis: A 1:50 dilution of this antibody detected Nidogen-1 in mouse kidney tissue.
Immunohistochemistry Analysis: A 1:50 dilution of this antibody detected Nidogen-1 in mouse kidney tissue.
Other Notes
Concentration: Please refer to lot specific datasheet.
Still not finding the right product?
Try our Product Selector Tool to narrow your options
Storage Class
12 - Non Combustible Liquids
wgk
WGK 1
flash_point_f
Not applicable
flash_point_c
Not applicable
Certificates of Analysis (COA)
Search for Certificates of Analysis (COA) by entering the products Lot/Batch Number. Lot and Batch Numbers can be found on a product’s label following the words ‘Lot’ or ‘Batch’.
Already Own This Product?
Find documentation for the products that you have recently purchased in the Document Library.
Global Trade Item Number
| SKU | GTIN |
|---|---|
| MAB1946-I | 04054839323362 |
| MAB1946-I-25UL | 04054839431937 |