Skip to Content
MilliporeSigma

ABT544

Sigma-Aldrich

Anti-MMP-9

from rabbit, purified by affinity chromatography

Synonym(s):

Matrix metalloproteinase-9, EC: 3.4.24.35, 92 kDa gelatinase, 92 kDa type IV collagenase, Gelatinase B, GELB

Sign Into View Organizational & Contract Pricing

Select a Size


About This Item

UNSPSC Code:
12352203
eCl@ss:
32160702
NACRES:
NA.41
Technical Service
Need help? Our team of experienced scientists is here for you.
Let Us Assist
Technical Service
Need help? Our team of experienced scientists is here for you.
Let Us Assist

biological source

rabbit

Quality Level

conjugate

unconjugated

antibody form

affinity isolated antibody

antibody product type

primary antibodies

clone

polyclonal

purified by

affinity chromatography

species reactivity

rat, human

species reactivity (predicted by homology)

mouse (based on 100% sequence homology)

packaging

antibody small pack of 25 μL

technique(s)

immunohistochemistry: suitable (paraffin)
western blot: suitable

isotype

IgG

NCBI accession no.

UniProt accession no.

shipped in

ambient

target post-translational modification

unmodified

Gene Information

human ... MMP9(4318)
rat ... Mmp9(81687)

General description

Matrix metalloproteinase-9 (UniProt: P50282; also known as EC: 3.4.24.35, MMP-9, 92 kDa gelatinase, 92 kDa type IV collagenase, Gelatinase B, GELB) is encoded by the Mmp9 gene (Gene ID: 81687) in rat. Matrix Metalloproteinases (MMPs) are a family of zinc metallo-endopeptidases secreted by cells and are responsible for much of the turnover of matrix components. MMP-9 is a secreted extracellular matrix metalloproteinase that exhibits a broad range of substrate specificity for native collagens including types IV, V, VII, and X as well as gelatin, proteoglycans, and elastin. It can exist as monomer or disulfide-linked homodimer. MMP-9 is synthesized with a signal peptide (aa 1-19) and a propeptide (aa 20-107) that are subsequently cleaved to produce active enzyme. Its activity can be inhibited by TIMP-1, which binds exclusively to pro-MMP-9 (Kd ~35 nM). MMP-9 contain a fibronectin-like domain inserted into the catalytic domain, presumably to enhance substrate binding. MMP-9 also contains a collagen type-V-like domain, which may enhance substrate binding and specificity. MMP-9 contains a cysteine switch (aa 98-105) where the conserved cysteine binds the catalytic zinc ion and inhibits its enzyme activity. The dissociation of the cysteine from the zinc ion upon the activation-peptide release activates the enzyme.
~85 kDa obsereved; 78.61 kDa calculated. Uncharacterized bands may be observed in some lysate(s).

Immunogen

Epitope: domain of:
KLH-conjugated linear peptide corresponding to 16 amino acids from the N-terminal half of rat Matrix metalloproteinase-9.

Application

Anti-MMP-9, Cat. No. ABT544, is a rabbit polyclonal antibody that detects Matrix Metalloroteinase-9 and is tested for use in Immunohistochemistry (Paraffin) and Western Blotting..
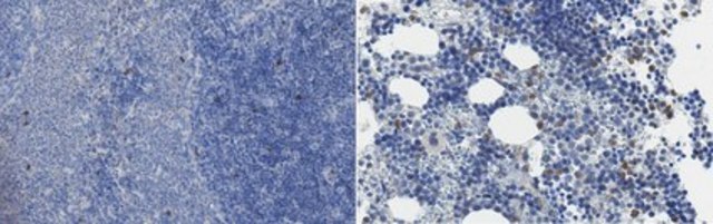
Immunohistochemistry Analysis: A 1:250 dilution from a representative lot detected MMP-9 in rat spleen and human bone marrow tissues.
Research Category
Cell Structure

Biochem/physiol Actions

This rabbit polyclonal antibody detects human and rat Matrix metalloproteinase-9. It targets an epitope within 16 amino acids from the N-terminal half.

Physical form

Affinity Purified
Purified rabbit polyclonal antibody in buffer containing 0.1 M Tris-Glycine (pH 7.4), 150 mM NaCl with 0.05% sodium azide.

Preparation Note

Stable for 1 year at 2-8°C from date of receipt.

Analysis Note

Evaluated by Western Blotting in lysate from PMA-conditioned HL60 cells.

Western Blotting Analysis: A 1:500 dilution of this antibody detected MMP-9 in lysate from Phorbol 12-myristate 13-acetate (PMA)-conditioned HL60 cells.

Other Notes

Concentration: Please refer to lot specific datasheet.

Disclaimer

Unless otherwise stated in our catalog or other company documentation accompanying the product(s), our products are intended for research use only and are not to be used for any other purpose, which includes but is not limited to, unauthorized commercial uses, in vitro diagnostic uses, ex vivo or in vivo therapeutic uses or any type of consumption or application to humans or animals.

Not finding the right product?  

Try our Product Selector Tool.

Storage Class

12 - Non Combustible Liquids

wgk_germany

WGK 1

flash_point_f

does not flash

flash_point_c

does not flash


Certificates of Analysis (COA)

Search for Certificates of Analysis (COA) by entering the products Lot/Batch Number. Lot and Batch Numbers can be found on a product’s label following the words ‘Lot’ or ‘Batch’.

Already Own This Product?

Find documentation for the products that you have recently purchased in the Document Library.

Visit the Document Library

Georgi P Georgiev et al.
Cureus, 10(11), e3550-e3550 (2019-01-17)
Aim Ninety percent of knee ligament injuries involve the medial collateral ligament (MCL) and the anterior cruciate ligament (ACL) of the knee joint. Matrix metalloproteinases (MMPs) are a large group of calcium- and zinc-dependent endopeptidases responsible for cleaving and rebuilding
José Valdés-Fernández et al.
Journal of bone and mineral research : the official journal of the American Society for Bone and Mineral Research, 36(11), 2203-2213 (2021-06-27)
The remodeling of the extracellular matrix is a central function in endochondral ossification and bone homeostasis. During secondary fracture healing, vascular invasion and bone growth requires the removal of the cartilage intermediate and the coordinate action of the collagenase matrix

Our team of scientists has experience in all areas of research including Life Science, Material Science, Chemical Synthesis, Chromatography, Analytical and many others.

Contact Technical Service