Skip to Content
MilliporeSigma

ABT179

Sigma-Aldrich

Anti-Pro-neuregulin-1, membrane-bound isoform (NRG1 Antibody)

from rabbit, purified by affinity chromatography

Synonym(s):

Pro-neuregulin-1, membrane-bound isoform, Pro-NRG1, Neuregulin-1, Acetylcholine receptor-inducing activity, ARIA, Breast cancer cell differentiation factor p45, Glial growth factor, Heregulin, HRG, Neu differentiation factor, Sensory and motor neuron-der

Sign Into View Organizational & Contract Pricing

Select a Size


About This Item

UNSPSC Code:
12352203
eCl@ss:
32160702
NACRES:
NA.41
Technical Service
Need help? Our team of experienced scientists is here for you.
Let Us Assist
Technical Service
Need help? Our team of experienced scientists is here for you.
Let Us Assist

biological source

rabbit

Quality Level

conjugate

unconjugated

antibody form

affinity isolated antibody

antibody product type

primary antibodies

clone

polyclonal

purified by

affinity chromatography

species reactivity

human

species reactivity (predicted by homology)

chimpanzee (based on 100% sequence homology)

technique(s)

immunohistochemistry: suitable
western blot: suitable

NCBI accession no.

UniProt accession no.

shipped in

wet ice

target post-translational modification

unmodified

Gene Information

human ... NRG1(3084)

General description

Neuregulin isoforms have been classified as type I NRGs (isoforms with an Ig domain and a glycosylation domain, isoforms 1-8), type II NRGs (isoforms with an Ig domain but no glycosylation domain, isoform 9). Neuregulin Type I/II serve as direct ligands for ERBB3 and ERBB4 tyrosine kinase receptors that regulate development of the heart, the central nervous system and the mammary gland, gene transcription, cell proliferation, differentiation, migration and apoptosis. Type I isoforms are the predominant forms expressed in the endocardium. Type II is the major form in skeletal muscle cells, and is expressed in the spinal cord, brain, adult heart, placenta, lung, liver, kidney, and pancreas. Neuregulin-HBD refers to the heparin binding domain of Type I/II Neuregulin.
~110 and ~58 kDa observed. May detect multiple isoforms (Alpha1A, Alpha2B, Alpha3; and Beta1/1A, Beta2, Beta3).

Immunogen

Epitope: Extracellular domain
GST-tagged recombinant protein corresponding to the extracellular domain of human Pro-neuregulin-1, membrane-bound isoform (NRG1).

Application

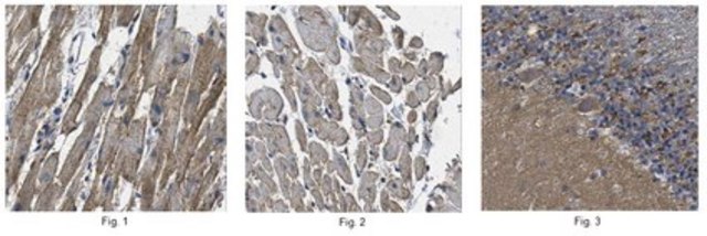
Immunohistochemistry Analysis: A 1:50 dilution from a representative lot detected Pro-neuregulin-1, membrane-bound isoform (NRG1) in human cardiac myocytes and human cerebellum tissue.
Research Category
Cell Structure
Research Sub Category
Adhesion (CAMs)
This Anti-Pro-neuregulin-1, membrane-bound isoform (NRG1 Antibody) is validated for use in Western Blotting and Immunohistochemistry for the detection of Pro-neuregulin-1, membrane-bound isoform (NRG1).

Biochem/physiol Actions

This antibody is expected to cross-react to all Alpha and Beta isoforms (Alpha1A, Alpha2B, Alpha3; and Beta1/1A, Beta2, Beta3), also known as Type I.

Physical form

Affinity purified
Purified rabbit polyclonal in buffer containing 0.1 M Tris-Glycine (pH 7.4), 150 mM NaCl with 0.05% sodium azide.

Preparation Note

Stable for 1 year at 2-8°C from date of receipt.

Analysis Note

Evaluated by Western Blotting in PC3 cell lysate.

Western Blotting Analysis: 0.5 µg/mL of this antibody detected Pro-neuregulin-1, membrane-bound isoform (NRG1) in 10 µg of PC3 cell lysate.

Other Notes

Concentration: Please refer to lot specific datasheet.

Disclaimer

Unless otherwise stated in our catalog or other company documentation accompanying the product(s), our products are intended for research use only and are not to be used for any other purpose, which includes but is not limited to, unauthorized commercial uses, in vitro diagnostic uses, ex vivo or in vivo therapeutic uses or any type of consumption or application to humans or animals.

Not finding the right product?  

Try our Product Selector Tool.

Storage Class

12 - Non Combustible Liquids

wgk_germany

WGK 1

flash_point_f

Not applicable

flash_point_c

Not applicable


Certificates of Analysis (COA)

Search for Certificates of Analysis (COA) by entering the products Lot/Batch Number. Lot and Batch Numbers can be found on a product’s label following the words ‘Lot’ or ‘Batch’.

Already Own This Product?

Find documentation for the products that you have recently purchased in the Document Library.

Visit the Document Library

Our team of scientists has experience in all areas of research including Life Science, Material Science, Chemical Synthesis, Chromatography, Analytical and many others.

Contact Technical Service