Skip to Content
MilliporeSigma

ABT143

Sigma-Aldrich

Anti-L1CAM Antibody

from rabbit, purified by affinity chromatography

Synonym(s):

Neural cell adhesion molecule L1, N-CAM-L1, NCAM-L1, CD171

Sign Into View Organizational & Contract Pricing

Select a Size


About This Item

UNSPSC Code:
12352203
eCl@ss:
32160702
NACRES:
NA.41
Technical Service
Need help? Our team of experienced scientists is here for you.
Let Us Assist
Technical Service
Need help? Our team of experienced scientists is here for you.
Let Us Assist

biological source

rabbit

Quality Level

conjugate

unconjugated

antibody form

affinity isolated antibody

antibody product type

primary antibodies

clone

polyclonal

purified by

affinity chromatography

species reactivity

human, rat

technique(s)

immunohistochemistry: suitable (paraffin)
western blot: suitable

NCBI accession no.

UniProt accession no.

shipped in

wet ice

target post-translational modification

unmodified

Gene Information

human ... L1CAM(3897)

General description

Families of adhesion molecules which share common carbohydrate domains do exist, despite the structural and functional diversity of these glycoproteins. These include the Ca2+-independent neural adhesion molecules (N-CAM), myelin associated glycoprotein (MAG) and L1. L1 is involved in neuron-neuron adhesion, neurite fasciculation, outgrowth of neurites, cerebellar granule cell migration, neurite outgrowth on Schwann cells and interactions among epithelial cells of intestinal crypts.
~220 / 140 kDa observed. The full length protein and the cleaved form of L1CAM have been observed at ~220 kDa and ~140 kDa, respectively (Kalus, I., et al. (2003). The Journal of Biological Chemistry. 278(12):10381-10388). Uncharacterized band(s) may appear in some lysates.

Immunogen

Epitope: Extracellular domain
GST-tagged recombinant protein corresponding to the extracellular domain of human L1CAM.

Application

Anti-L1CAM Antibody is a highly specific rabbit polyclonal antibody, that targets Neural cell adhesion molecule L1 & has been tested in western blotting & IHC (Paraffin).
Research Category
Cell Structure
Research Sub Category
Adhesion (CAMs)
Western Blotting Analysis: 0.4 µg/mL from a representative lot detected L1CAM in 10 µg of rat brain tissue lysate.
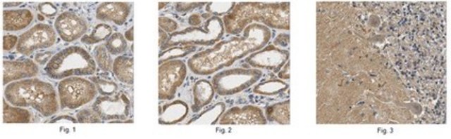
Immunohistochemistry Analysis: A 1:100 dilution from a representative lot detected L1CAM in human kidney and human cerebellum tissue.

Biochem/physiol Actions

This antibody recognizes the extracellular domain of L1CAM in addition antibody recognizes the full length form (~220 kDa) and the cleaved form (~140 kDa) of L1CAM.

Physical form

Affinity purified
Purified rabbit polyclonal in buffer containing 0.1 M Tris-Glycine (pH 7.4), 150 mM NaCl with 0.05% sodium azide.

Preparation Note

Stable for 1 year at 2-8°C from date of receipt.

Analysis Note

Control
Human brain tissue lysate
Evaluated by Western Blotting in human brain tissue lysate.

Western Blotting Analysis: 0.4 µg/mL of this antibody detected L1CAM in 10 µg of human brain tissue lysate.

Other Notes

Concentration: Please refer to the Certificate of Analysis for the lot-specific concentration.

Disclaimer

Unless otherwise stated in our catalog or other company documentation accompanying the product(s), our products are intended for research use only and are not to be used for any other purpose, which includes but is not limited to, unauthorized commercial uses, in vitro diagnostic uses, ex vivo or in vivo therapeutic uses or any type of consumption or application to humans or animals.

Not finding the right product?  

Try our Product Selector Tool.

Storage Class

12 - Non Combustible Liquids

wgk_germany

WGK 1

flash_point_f

Not applicable

flash_point_c

Not applicable


Certificates of Analysis (COA)

Search for Certificates of Analysis (COA) by entering the products Lot/Batch Number. Lot and Batch Numbers can be found on a product’s label following the words ‘Lot’ or ‘Batch’.

Already Own This Product?

Find documentation for the products that you have recently purchased in the Document Library.

Visit the Document Library

Our team of scientists has experience in all areas of research including Life Science, Material Science, Chemical Synthesis, Chromatography, Analytical and many others.

Contact Technical Service