Skip to Content
MilliporeSigma

ABT129

Sigma-Aldrich

Anti-Calponin-1 Antibody

from rabbit, purified by affinity chromatography

Synonym(s):

Calponin-1, Basic calponin, Calponin H1, smooth muscle

Sign Into View Organizational & Contract Pricing

Select a Size


About This Item

UNSPSC Code:
12352203
eCl@ss:
32160702
NACRES:
NA.41
Technical Service
Need help? Our team of experienced scientists is here for you.
Let Us Assist
Technical Service
Need help? Our team of experienced scientists is here for you.
Let Us Assist

biological source

rabbit

Quality Level

conjugate

unconjugated

antibody form

affinity isolated antibody

antibody product type

primary antibodies

clone

polyclonal

purified by

affinity chromatography

species reactivity

human

species reactivity (predicted by homology)

sheep (based on 100% sequence homology), bovine (based on 100% sequence homology), chimpanzee (based on 100% sequence homology)

technique(s)

immunofluorescence: suitable
immunohistochemistry: suitable (paraffin)
western blot: suitable

NCBI accession no.

UniProt accession no.

shipped in

wet ice

target post-translational modification

unmodified

Gene Information

human ... CNN1(1264)

General description

Calponin 1 is a 34 kDa protein that is predominantly found in smooth muscle tissue. It is a high-affinity actin-binding protein, but also interacts with tropomyosin, and calmodulin to modulate muscle contraction. When bound to F-actin, it inhibits the activity of the actin-activated myosin ATPase. Calponin 1 is regulated by reversible phosphorylation involving PKC and CAMKII kinases, and type 2A phosphatases. In non-muscle cells, calponin 1 may play a role in cell migration, motility, and proliferation.
~33 kDa observed

Immunogen

Epitope: C-terminus
KLH-conjugated linear peptide corresponding to the C-terminus of human Calponin-1.

Application

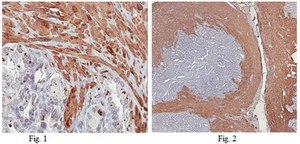
Immunohistochemistry Analysis: A 1:1,000 dilution from a reprsesentative lot detected Calponin-1 in human seminal vesicle tissue.

Immunofluorescence Analysis: A 1:500 dilution from a representative lot detected Calponin-1 in smooth muscle cells from human seminal vesicle tissue.
Research Category
Cell Structure
Research Sub Category
Cytoskeleton
This Anti-Calponin-1 Antibody is validated for use in Western Blotting, IHC(P), Immunofluorescence for the detection of Calponin-1.

Biochem/physiol Actions

Other homologies: Rat (92% sequence homology) and Mouse (83% sequence homology).
This antibody recognizes the C-terminus of Calponin-1.

Physical form

Affinity purified
Purified rabbit polyclonal in buffer containing 0.1 M Tris-Glycine (pH 7.4), 150 mM NaCl with 0.05% sodium azide.

Preparation Note

Stable for 1 year at 2-8°C from date of receipt.

Analysis Note

Control
Human aortic smooth muscle tissue
Evaluated by Western Blot in human aortic smooth muscle tissue.

Western Blot Analysis: 0.1 µg/mL of this antibody detected Calponin-1 in human aortic smooth muscle tissue.

Other Notes

Concentration: Please refer to the Certificate of Analysis for the lot-specific concentration.
Replaces: 04-589

Disclaimer

Unless otherwise stated in our catalog or other company documentation accompanying the product(s), our products are intended for research use only and are not to be used for any other purpose, which includes but is not limited to, unauthorized commercial uses, in vitro diagnostic uses, ex vivo or in vivo therapeutic uses or any type of consumption or application to humans or animals.

Not finding the right product?  

Try our Product Selector Tool.

Storage Class

12 - Non Combustible Liquids

wgk_germany

WGK 1

flash_point_f

Not applicable

flash_point_c

Not applicable


Certificates of Analysis (COA)

Search for Certificates of Analysis (COA) by entering the products Lot/Batch Number. Lot and Batch Numbers can be found on a product’s label following the words ‘Lot’ or ‘Batch’.

Already Own This Product?

Find documentation for the products that you have recently purchased in the Document Library.

Visit the Document Library

Edward P Carter et al.
Breast cancer research : BCR, 19(1), 50-50 (2017-04-22)
3D modelling fulfils a critical role in research, allowing for complex cell behaviour and interactions to be studied in physiomimetic conditions. With tissue banks becoming established for a number of cancers, researchers now have access to primary patient cells, providing

Our team of scientists has experience in all areas of research including Life Science, Material Science, Chemical Synthesis, Chromatography, Analytical and many others.

Contact Technical Service