Skip to Content
MilliporeSigma

ABS90

Sigma-Aldrich

Anti-Notch 1 Antibody, extracellular

from rabbit, purified by affinity chromatography

Synonym(s):

Notch homolog 1, translocation-associated (Drosophila), Notch (Drosophila) homolog 1 (translocation-associated), Translocation-associated notch protein TAN-1, neurogenic locus notch homolog protein 1

Sign Into View Organizational & Contract Pricing

Select a Size


About This Item

UNSPSC Code:
12352203
eCl@ss:
32160702
NACRES:
NA.41
Technical Service
Need help? Our team of experienced scientists is here for you.
Let Us Assist
Technical Service
Need help? Our team of experienced scientists is here for you.
Let Us Assist

biological source

rabbit

Quality Level

conjugate

unconjugated

antibody form

affinity isolated antibody

antibody product type

primary antibodies

clone

polyclonal

purified by

affinity chromatography

species reactivity

human, rat

species reactivity (predicted by homology)

canine (91% sequence homology), mouse (97% sequence homology), chimpanzee (92% sequence homology)

technique(s)

immunohistochemistry: suitable (paraffin)
western blot: suitable

NCBI accession no.

UniProt accession no.

shipped in

wet ice

target post-translational modification

unmodified

Gene Information

human ... NOTCH1(4851)
rat ... Notch1(25496)

General description

The notch gene belongs to a family of epidermal growth factor (EGF) like homeotic genes, which encode transmembrane proteins with a variable number of cysteine-rich EGF-like repeats in the extracellular region. Four notch genes have been described in mammals, which include notch-1. notch-2, notch-3, and notch-4(Int-3), which have been implicated in the differentiation of the nervous system and other structures. The EGF-like proteins Delta and Serrate have been identified as ligands of notch-1. Mature notch proteins are heterodimeric receptors derived from the cleavage of notch pre-proteins into an extracellular subunit (NEC) containing multiple EGF-like repeats and a transmembrane subunit including intracellular region (Ntm).
~260 kDa observed. Notch 1, extracellular is calculated at ~183 kDa

Immunogen

Epitope: Extracellular domain
GST-tagged recombinant protein corresponding to the extracellular domain of rat Notch 1.

Application

Anti-Notch 1 Antibody, extracellular detects level of Notch 1 & has been published & validated for use in WB, IH(P).
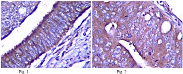
Immunohistochemistry Analysis: 1:400 dilution of this antibody has been shown to detect Notch 1 in gastrointestinal and colorectal carcinoma tissue.
Research Category
Signaling
Research Sub Category
Growth Factors & Receptors

Biochem/physiol Actions

This antibody recognizes Notch 1.

Physical form

Affinity purified
Purified rabbit polyclonal in buffer containing 0.1 M Tris-Glycine (pH 7.4, 150 mM NaCl) with 0.05% sodium azide.

Preparation Note

Stable for 1 year at 2-8°C from date of receipt.

Analysis Note

Control
Human lymph node lysate
Evaluated by Western Blot in human lymph node lysate.

Western Blot Analysis: 1:500 dilution of this antibody detected Notch 1 on 10 µg of human lymph node lysate.

Disclaimer

Unless otherwise stated in our catalog or other company documentation accompanying the product(s), our products are intended for research use only and are not to be used for any other purpose, which includes but is not limited to, unauthorized commercial uses, in vitro diagnostic uses, ex vivo or in vivo therapeutic uses or any type of consumption or application to humans or animals.

Not finding the right product?  

Try our Product Selector Tool.

Storage Class

12 - Non Combustible Liquids

wgk_germany

WGK 1

flash_point_f

Not applicable

flash_point_c

Not applicable


Certificates of Analysis (COA)

Search for Certificates of Analysis (COA) by entering the products Lot/Batch Number. Lot and Batch Numbers can be found on a product’s label following the words ‘Lot’ or ‘Batch’.

Already Own This Product?

Find documentation for the products that you have recently purchased in the Document Library.

Visit the Document Library

Directed glia-assisted angiogenesis in a mature neurosensory structure: Pericytes mediate an adaptive response in human dental pulp that maintains blood-barrier function.
Ramin M Farahani,Babak Sarrafpour,Mary Simonian,Qing Li,Neil Hunter
The Journal of Comparative Neurology null

Our team of scientists has experience in all areas of research including Life Science, Material Science, Chemical Synthesis, Chromatography, Analytical and many others.

Contact Technical Service