Skip to Content
MilliporeSigma

ABN90P

Sigma-Aldrich

Anti-NeuN purified Antibody

from guinea pig, purified by affinity chromatography

Synonym(s):

NEUronal Nuclei, clone A60, NeuN

Sign Into View Organizational & Contract Pricing

Select a Size


About This Item

UNSPSC Code:
12352203
eCl@ss:
32160702
NACRES:
NA.41
Technical Service
Need help? Our team of experienced scientists is here for you.
Let Us Assist
Technical Service
Need help? Our team of experienced scientists is here for you.
Let Us Assist

biological source

guinea pig

Quality Level

antibody form

affinity isolated antibody

antibody product type

primary antibodies

clone

polyclonal

purified by

affinity chromatography

species reactivity

human, mouse

species reactivity (predicted by homology)

rat

technique(s)

immunocytochemistry: suitable
immunohistochemistry: suitable (paraffin)
western blot: suitable

shipped in

wet ice

target post-translational modification

unmodified

Gene Information

human ... RBFOX3(146713)
mouse ... Rbfox3(52897)
rat ... Rbfox3(287847)

General description

RNA binding protein fox-1 homolog 3 (UniProt: Q8BIF2; also known as Fox-1 homolog C, Hexaribonucleotide-binding protein 3, Fox-3, Neuronal nuclei antigen, NeuN antigen) is encoded by the Rbfox3 (also known as D11Bwg0517e, Hrnbp3) gene (Gene ID: 52897) in murine species. NeuN is a neuronal nuclear protein widely recognized as a reliable marker for postmitotic neurons. It is expressed exclusively in the nervous system and localized predominantly in the nuclei and perinuclear cytoplasm of most mammalian neurons. NeuN expression has been reported as early as embryonic day 9.5 (E9.5) and by E12.5 it can be found in the developing ventral horns and is also detected in the developing dorsal horns as well as in the dorsal root ganglion. It is expressed from embryonic stage to adulthood. It can serve as a pre-mRNA alternative splicing regulator and regulates alternative splicing of RBFOX2 to enhance the production of mRNA species that are targeted for nonsense-mediated decay. NeuN knockout mice display significantly reduced brain weight, impaired neurofilament expression and decreased white matter volume. They show increased susceptibility to seizures and reduced anxiety-related behaviors compared with wild type littermates. NeuN exists in multiple isoforms, generated by alternative splicing, with molecular weights of 46 and 48 kDa. These isoforms exhibit differential subcellular localization, with the 48 kDa isoform predominating in the cytoplasm. NeuN is associated with low chromatin density regions within the nucleus and exhibits binding capabilities to both DNA and RNA, suggesting its regulatory role in neuronal gene expression and neurospecific alternative splicing. NeuN is hypothesized to play a role in maintaining the neuronal phenotype through its persistent expression during neuronal differentiation. However, certain neuron types, such as Purkinje cells, inferior olive neurons, and Cajal-Retzius cells, lack NeuN expression, implying alternative regulatory mechanisms in these populations. NeuN′s expression is also sensitive to neuronal injury or disease. For instance, axonal damage or ischemia can lead to a loss of NeuN immunoreactivity, which may reflect either neuronal death or a transient reduction in NeuN synthesis. Recent studies have linked NeuN to neurogenic tumors, aiding in differential diagnosis of neuronal and glial malignancies. The protein′s selective expression in neurons makes it a valuable tool for identifying differentiated neuronal cells in tumor samples. ABN90P is a Guinea Pig polyclonal version of the Anti-NeuN, clone A60 (MAB377), a highly characterized and cited mouse monoclonal antibody. (Ref.: Lin, YS., et al. (2018). PLOS One. 13(2); e0192355; Mao, S., et al. (2016). Front. Neuroanat. 13;10:54, Duan, W., et al., (2016), Mol Neurobiol. 53, 1637 1647).
~48 kDa observed

Immunogen

Epitope: N-terminus
GST-tagged recombinant protein fragment corresponding 97 amino acids from the N-terminal region of Mouse NeuN.

Application

Anti-NeuN is a Guinea Pig polyclonal antibody that detects NeuN. It targets an epitope within the N-terminal region.
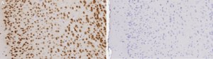
Immunohistochemistry (Paraffin) Analysis: A 1:1,000 dilution from a representative lot detected NeuN in human and mouse cerebral cortex, and mouse hippocampus tissue sections.

Western Blotting Analysis (WB): A 1:1,000 dilution from a representative lot detected NeuN in U-2 OS cell lysate.

Note: Actual optimal working dilutions must be determined by end user as specimens, and experimental conditions may vary with the end user.
Research Category
Neuroscience
Research Sub Category
Neuronal & Glial Markers

Biochem/physiol Actions

This antibody recognizes the N-terminus of NeuN.

Physical form

Antigen Affinity Purified
Purified guinea pig polyclonal antibody in buffer containing 0.1 M Tris-Glycine (pH 7.4), 150 mM NaCl with 0.05% sodium azide.

Preparation Note

Recommended storage: +2°C to +8°C.

Analysis Note

Control
Mouse E16 brain tissue lysate
Evaluated by Western Blotting in mouse E16 brain tissue lysate.

Western Blotting Analysis (WB): A 1:1,000 dilution from a representative lot detected NeuN in mouse E16 brain tissue lysate.

Other Notes

Concentration: Please refer to the Certificate of Analysis for the lot-specific concentration.

Disclaimer

Unless otherwise stated in our catalog or other company documentation accompanying the product(s), our products are intended for research use only and are not to be used for any other purpose, which includes but is not limited to, unauthorized commercial uses, in vitro diagnostic uses, ex vivo or in vivo therapeutic uses or any type of consumption or application to humans or animals.

Not finding the right product?  

Try our Product Selector Tool.

Storage Class

12 - Non Combustible Liquids

wgk_germany

WGK 1

flash_point_f

Not applicable

flash_point_c

Not applicable


Certificates of Analysis (COA)

Search for Certificates of Analysis (COA) by entering the products Lot/Batch Number. Lot and Batch Numbers can be found on a product’s label following the words ‘Lot’ or ‘Batch’.

Already Own This Product?

Find documentation for the products that you have recently purchased in the Document Library.

Visit the Document Library

Dianne E Lee et al.
Molecular imaging, 13 (2014-09-25)
The dopaminergic system is especially vulnerable to the effects of human immunodeficiency virus (HIV) infection, rendering dopaminergic deficits early surrogate markers of HIV-associated neuropathology. We quantified dopamine D2/3 receptors in young HIV-1 transgenic (Tg) (n  =  6) and age-matched control
Loïc J Chareyron et al.
Proceedings of the National Academy of Sciences of the United States of America, 113(50), 14420-14425 (2016-12-03)
A large population of immature neurons is present in the ventromedial portion of the adult primate amygdala, a region that receives substantial direct projections from the hippocampal formation. Here, we show the effects of neonatal (n = 8) and adult
Kirsty Sawicka et al.
eLife, 8 (2019-12-21)
Loss of the RNA binding protein FMRP causes Fragile X Syndrome (FXS), the most common cause of inherited intellectual disability, yet it is unknown how FMRP function varies across brain regions and cell types and how this contributes to disease
William Schreiber-Stainthorp et al.
Nature communications, 12(1), 2855-2855 (2021-05-19)
Ebola virus (EBOV) causes neurological symptoms yet its effects on the central nervous system (CNS) are not well-described. Here, we longitudinally assess the acute effects of EBOV on the brain, using quantitative MR-relaxometry, 18F-Fluorodeoxyglucose PET and immunohistochemistry in a monkey
Jun Nishiyama et al.
Neuron, 96(4), 755-768 (2017-10-24)
Precise genome editing via homology-directed repair (HDR) in targeted cells, particularly in vivo, provides an invaluable tool for biomedical research. However, HDR has been considered to be largely restricted to dividing cells, making it challenging to apply the technique in postmitotic

Our team of scientists has experience in all areas of research including Life Science, Material Science, Chemical Synthesis, Chromatography, Analytical and many others.

Contact Technical Service