Skip to Content
MilliporeSigma

ABN90

Sigma-Aldrich

Anti-NeuN Antibody

serum, from guinea pig

Sign Into View Organizational & Contract Pricing

Select a Size


About This Item

UNSPSC Code:
12352203
eCl@ss:
32160702
NACRES:
NA.41
Technical Service
Need help? Our team of experienced scientists is here for you.
Let Us Assist
Technical Service
Need help? Our team of experienced scientists is here for you.
Let Us Assist

biological source

guinea pig

Quality Level

antibody form

serum

antibody product type

primary antibodies

clone

polyclonal

species reactivity

rat, mouse

technique(s)

immunocytochemistry: suitable
immunohistochemistry: suitable (paraffin)
western blot: suitable

shipped in

wet ice

target post-translational modification

unmodified

Gene Information

mouse ... Rbfox3(52897)
rat ... Rbfox3(287847)

General description

ABN90 is a Guinea Pig polyclonal version of the Anti-NeuN, clone A60 (MAB377), a highly characterized and cited mouse monoclonal antibody that specifically recognizes the DNA-binding, neuron-specific protein NeuN, which is present in most CNS and PNS neuronal cell types of all vertebrates tested. NeuN protein distributions are apparently restricted to neuronal nuclei, perikarya and some proximal neuronal processes in both fetal and adult brain although, some neurons fail to be recognized by NeuN at all ages: INL retinal cells, Cajal-Retzius cells, Purkinje cells, inferior olivary and dentate nucleus neurons, and sympathetic ganglion cells are some examples. Immunohistochemically detectable NeuN protein first appears at developmental timepoints that correspond with the withdrawal of the neuron from the cell cycle and/or with the initiation of terminal differentiation of the neuron. Immunoreactivity appears around E9.5 in the mouse neural tube and is extensive throughout the developing nervous system by E12.5. Strong nuclear staining suggests a nuclear regulatory protein function; however, no evidence currently exists as to whether the NeuN protein antigen has a function in the distal cytoplasm or whether it is merely synthesized there before being transported back into the nucleus. No difference between protein isolated from purified nuclei and whole brain extract on immunoblots has been found.
~48 kDa observed

Application

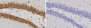
  • Immunohistochemistry (Paraffin) Analysis: A 1:5,000 dilution from a representative lot detected NeuN in mouse cerebral cortex and hippocampus brain tissue sections.
  • Immunocytochemistry Analysis: A 1:500 dilution from a representative lot detected NeuN in rat E18 cortical cells.
  • Note: Actual optimal working dilutions must be determined by end user as specimens, and experimental conditions may vary with the end user.
This guinea pig polyclonal Anti-NeuN, Cat. No. ABN90 is tested for use in Western Blotting, Immunocytochemistry and Immunohistochemistry (Paraffin), for the detection of NeuN.

Physical form

Guinea pig polyclonal serum containing 0.05% sodium azide.

Analysis Note

Evaluated by Western Blotting in Mouse E16 brain tissue lysate. Western Blotting Analysis: A 1:2,000 Dilution of this antibody detected NeuN in Mouse E16 brain tissue lysate.

Not finding the right product?  

Try our Product Selector Tool.

Storage Class

10 - Combustible liquids

wgk_germany

WGK 1


Certificates of Analysis (COA)

Search for Certificates of Analysis (COA) by entering the products Lot/Batch Number. Lot and Batch Numbers can be found on a product’s label following the words ‘Lot’ or ‘Batch’.

Already Own This Product?

Find documentation for the products that you have recently purchased in the Document Library.

Visit the Document Library

Baptiste Lacoste et al.
Neuron, 83(5), 1117-1130 (2014-08-27)
Neurovascular interactions are essential for proper brain function. While the effect of neural activity on cerebral blood flow has been extensively studied, whether or not neural activity influences vascular patterning remains elusive. Here, we demonstrate that neural activity promotes the
Christopher Sliwinski et al.
Journal of neurotrauma, 35(18), 2222-2238 (2018-05-01)
A large proportion of patients suffering from spinal cord injury (SCI) develop chronic central neuropathic pain. Previously, we and others have shown that sensorimotor training early after SCI can prevent the development of mechanical allodynia. To determine whether training initiated
Lijuan Wang et al.
Cellular and molecular neurobiology, 40(7), 1117-1131 (2020-01-29)
Chronic morphine-induced antinociceptive tolerance is a major unresolved issue in clinical practices, which is associated with microglia activation in the spinal cord. E3 ubiquitin ligase Pellino1 (Peli1) is known to be an important microglia-specific regulator. However, it is unclear whether
Bianca Patel et al.
Molecular metabolism, 43, 101123-101123 (2020-11-24)
The dorsal vagal complex (DVC) senses insulin and controls glucose homeostasis, feeding behaviour and body weight. Three-days of high-fat diet (HFD) in rats are sufficient to induce insulin resistance in the DVC and impair its ability to regulate feeding behaviour.
Wencheng Liu et al.
The Journal of neuroscience : the official journal of the Society for Neuroscience, 36(49), 12425-12435 (2016-12-09)
Passive immunization with anti-tau monoclonal antibodies has been shown by several laboratories to reduce age-dependent tau pathology and neurodegeneration in mutant tau transgenic mice. These studies have used repeated high weekly doses of various tau antibodies administered systemically for several

Our team of scientists has experience in all areas of research including Life Science, Material Science, Chemical Synthesis, Chromatography, Analytical and many others.

Contact Technical Service